A fogkő közel sem olyan ártalmatlan, mint gondolná!
Szakértőnk, Deák Annamária dentálhigiénikus elmondja Önnek, miért nem szabad legyintenie a fogain képződő fogkőre.
Két komoly betegség forrása
A fogkő elmeszesedett lepedék, amely igen ártalmas: számtalan kórokozó nyüzsög benne. Legveszélyesebbek a fogszuvasodást és ínygyulladást okozó okozó baktériumok. Azt nem is kell hosszan ecsetelni, miért rossz a fogszuvasodás. Ám az ínygyulladásról sokan nem tudják, milyen veszélyessé válhat!
Az ínygyulladás veszélyei
Sok ember csak legyint az ínygyulladásra: ez a duzzadt, kicsit érzékeny íny nem nagy ügy, fél lábon is kibírom! Márpedig az ínygyulladás könnyen átfordulhat fogágybetegséggé, ami a fogak kilazulásával, végső esetben pedig a fogak elvesztésével is járhat. Az is rossz hír, hogy az íny gyulladása nemigen múlik el magától. Erre csak akkor van esély, ha megszüntetjük a kiváltó okot, vagyis eltávolítjuk a fogkövet.
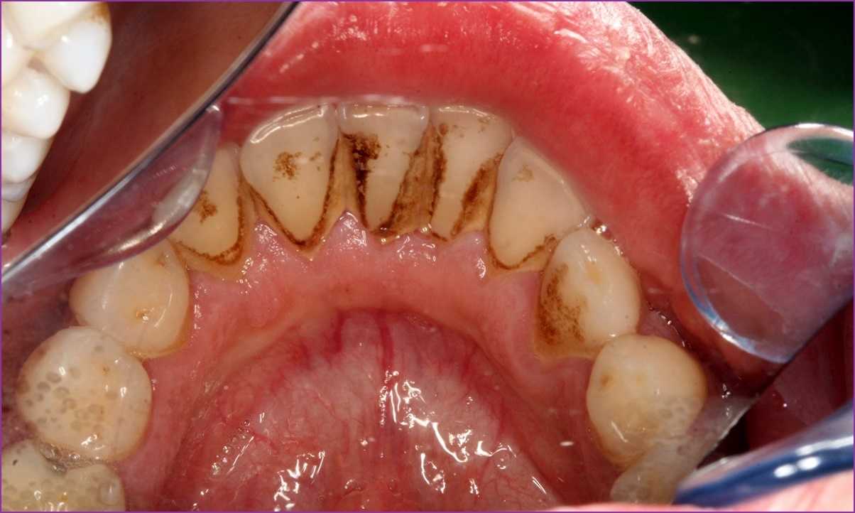
A fogkő nem szépíti meg a fogakat! Sőt…
A fogkő egyébként lehet világos színű, és ilyenkor szinte alig észrevehető. Ám sárga vagy barna foltokban is megjelenhet, ami már nem igazán esztétikus.
Szabaduljon meg tőle mihamarabb!
A fogkő tehát kiindulópontja a fogszuvasodásnak és az ínygyulladásnak, és nem is mutat jól a fogakon. Így hát minden ok megvan arra, hogy minél hamarabb megszabaduljon tőle!
A fogkő eltávolítását mi, dentálhigiénikusok végezzük. Házi módszerekkel nem tanácsos próbálkozni, mert komoly károkat okozhat fogsorában vagy az ínyében! Mi ezzel szemben biztonságosan, gyorsan eltávolítjuk a fogkövet. A kezelés többnyire egy ülésben elvégezhető, ám gyulladt, vérző íny esetén elképzelhető, hogy másodszor vagy akár harmadszor is fel kell keresnie a fogászatot.

