A krónikus fejfájás hátterében fogászati panasz is állhat
Sőt, nemcsak a fejfájás, hanem a nyak és az állkapocs-ízületek panaszait is okozhatják fogászati problémák. Erre azonban nemigen gondolnak az emberek, ezért inkább a háziorvosukat, a reumatológiát vagy a többi szakrendelést keresik fel.
Arra, hogy a tünetek forrása valamilyen fogászati probléma, csak akkor derül fény, amikor a kezelés után egyszer csak megszűnnek vagy rohamosan enyhülni kezdenek az addig rendszeresen jelentkező és a hétköznapi életet megkeserítő fájdalmak.
Így történt ez dr. Sápi Béla kollégánk egyik páciensével is.
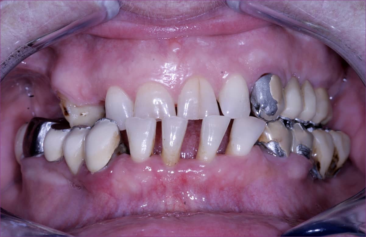
Dr. Sápi Béla fogorvost, a konzerváló fogászat és fogpótlástan szakorvosát azért kereste fel az idős hölgy, mert elégedetlen volt pár évtizede készült fogpótlásaival. (Mint később kiderült, páciensünk régóta szenvedett különböző krónikus fájdalmaktól, többek között fejfájástól is.)
Valóban, túlzás nélkül állíthatjuk, hogy a pótlások megértek a cserére, mi több, komoly rehabilitációra volt szükség.
A szakorvos a helyreállító kezelés során egy speciális szerkezet, a Protar 5 típusú egyéni artikulátor segítségével elemezte a páciens harapását, hogy az elkészült pótlásokkal a hölgy állkapocsízülete számára megteremtse az optimális körülményeket. (A képen a berendezés körül a megfelelő pozícióban – propulsio, leteropulsio – rögzített harapási sablonok láthatók.)
A felső állcsontra finommechanikai (Preci-Vertix) és öntött kapocs elhorgonyzású kombinált fogpótlás készült.
Az alsó állcsontra pedig cilindrokónuszos-teleszkóp elhorgonyzású fogpótlás lett a megoldás, az alábbi kép az SB5 primer teleszkópok beragasztása utáni állapotot mutatja.
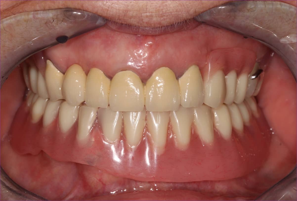
Végül a kezeléssorozat végén átadásra kerültek a fogpótlások. Az összkép a megérkezési állapottal összehasonlítva drámai változásokat mutat.
Ám a legnagyobb meglepetés mégsem ez volt a páciens számára!
A kezelés után ugyanis az idős hölgy krónikus fájdalmai enyhülni kezdtek, majd az évek óta fennálló fej- és nyakfájása teljesen megszűnt, az ízületi panaszokkal egyetemben.
Nem csoda, hogy ilyen elégedett a mosolya, hiszen a megújult fogsora mellé „grátiszként” még a krónikus fájdalmai is elmúltak…
Íme, egy újabb bizonyíték arra, hogy a test egyéb szerveiben, részeiben fennálló panaszok sokszor fogászati problémákra vezethetők vissza!
Az esettanulmány megjelent a Fogorvosi Szemlében is, a teljes cikk a közreműködők nevével, a kezelés helyszínével és a részletes leírással együtt itt található.






