Fogtömés menete szakszerűen: a fogtömés anyagairól és típusairól
A fogtömés talán az egyik leggyakoribb kezelésfajta. Manapság már ritka az az ember, akinek 30-40 éves koráig egy foga se lenne betömve. A legtöbbször szuvasodás (köznapi elnevezéssel a lyukas fogak) miatt kell ezt a kezelést alkalmazni, ezért mind a szuvasodást, mind a fogtömést mint beavatkozást górcső alá vesszük.
Lesz szó:
- a szuvasodásról,
- arról, hogy azonos-e a szuvas és a lyukas fog,
- néhány meglepő tényről a szuvasodással kapcsolatban,
- a fogtömés menetéről,
- a fogtömés fajtáiról,
- arról, hogy kezelés után mire kell odafigyelni,
- valamint a leggyakoribb aggodalmakról és tévhitekről is.
A fogszuvasodás
A szuvas fog, avagy hétköznapi nyelven lyukas fog, sok ember életét megkeseríti. A szuvasodás kifejezés egyébként onnan ered, hogy régebben az emberek azt hitték, az odvas fához hasonlóan az emberek fogaiban is egy szúféle lény okozza a romlást.
A szuvasodásért felelő baktériumok szénhidrátokkal (többek között cukorral) táplálkoznak, és eközben savat termelnek. Ez a sav roncsolja szét a fogzománcot, amelyből fontos anyagok oldódnak ki. A sérült fogzománc ezután már nem képes megvédeni a fog belsejét. A szénhidrátokkal táplálkozó baktériumok így „bevonulnak” a fogba, és áldatlan tevékenységüket ott folytatják. A fog tovább károsodik, a ciklus bezárult.
A fenti képen jól megfigyelhető a foganyag hiánya. (Természetesen már a kezeléshez előkészített fogat láthat, amelyekből eltávolítottak minden károsodott foganyagot.)
A szuvasodás fázisai és ellenszerei
Amíg a szuvasodás csak a zománc külső rétegét érinti, fogmosással, speciális fluorpaszták használatával megállíthatja a folyamatot.
Amikor a károsodás eléri a dentint, már fogorvoshoz kell fordulni: a szakember rendszerint egy fogtöméssel orvosolja a problémát.
Amikor a szuvasodás eléri a fogbélt és fogbélgyulladást okoz, akkor jön a gyökérkezelés. A szuvasodás okozta gyulladás átterjedhet a csonthártyára, és szinte elviselhetetlen fájdalmat tud okozni. Tályog ugyancsak gyakran alakul ki a szuvasodás következtében, és sajnos ez az állapot is a kínok kínját okozhatja a pácienseknek.
A szuvasodás tehát roppant nagy kellemetlenségeket tud okozni, de szerencsére viszonylag egyszerűen megelőzhető. Alapos, jó technikával végrehajtott fogmosás és fogköztisztítás kell hozzá, és nem árt félévente, évente felkeresnie a fogászatot.
Egy kezdődő szuvasodás eleinte alig látható az avatatlan szemnek, és fájdalmat sem igen okoz. Ám a fogorvos a szájüregi vizsgálat alkalmával azonnal észreveszi, és elejét veszi a szuvasodás terjedésének. Ezért akkor is látogassa meg fogorvosát, ha nem érez fájdalmat, és szemre is mindent rendben talál a fogsorán!
Ugyanaz-e a szuvas és a lyukas fog?
A két kifejezés ugyanazt takarja. A fog anyagában roncsolódás következik be – mint az már fentebb is említettük -, aminek két oka van: a fogszuvasodást okozó baktériumok kártékony munkájának és az alacsony (savas) pH-érték miatt a zománcból kioldódó ásványi anyagok miatt.
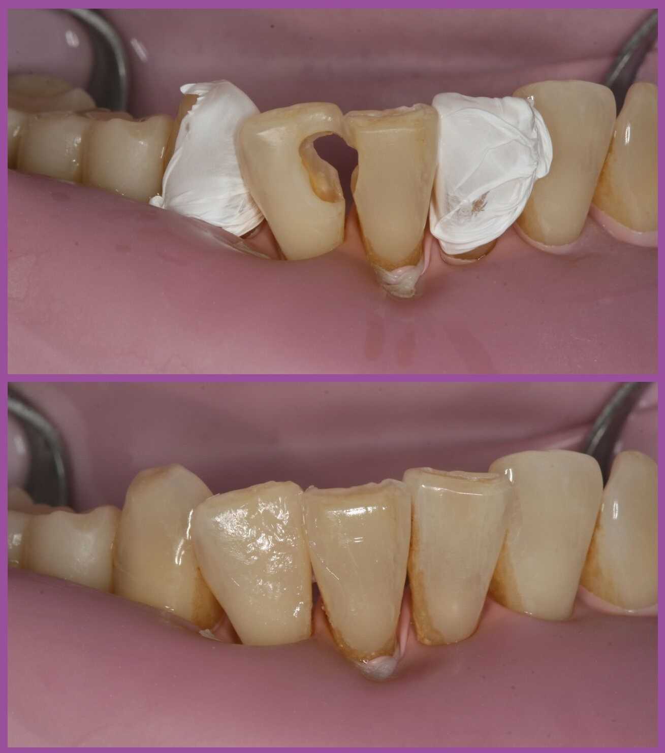
A fogtömés menete
Hogyan zajlik egy fogtömés?
A kezelés általában érzéstelenítésben zajlik, így az eljárás fájdalommentes.
- A szakszerű ellátás során a lyukas (szuvas) fogból eltávolítunk minden, a szuvasodás által érintett foganyagot, hogy ezáltal a bajt okozó baktériumoktól is megszabadítsák a fogat.
- A kialakult üreget speciális anyagokkal készítjük elő (alábélelők, ragasztóanyagok).
- Erre jön a tömőanyag (vagy a fog nagyobb hiánya esetén az inlay).
- A jelenleg használatos tömések fotopolimerizációs eljárásokkal készülnek, vagyis a tömőanyag megszilárdulásához egy külön erre a célra szolgáló lámpa használatára is szükség van.
- Végül kialakítjuk a fogtömés felszínét, és beállítjuk a kényelmes harapási magasságot.
Esztétikus tömések, inlay-ek, onlay-ek elkészítése, beragasztása utáni teendők
A fogtömés után, illetve az inlay-ek, onlay-ek rögzítését követően hideg-, melegérzékenység, esetleg ráharapási érzékenység jelentkezhet. Ezen tünetek akár hetekig is megmaradhatnak, de aggodalomra semmi ok! Az esetek döntő többségében az érzékenység fokozatosan csökken, majd eltűnik.
A helyes fogköztisztítás (fogselyem, superfloss, interdentális fogkefe) elengedhetetlen feltétele a tömések, inlay-ek élettartamának jelentős növeléséhez! A fogtömés után a fogorvosa minden bizonnyal beszélni fog arról, hogyan tartsa tisztán a kezelt fogakat (no meg a többit is, természetesen): ezeket a jó tanácsokat feltétlenül fogadja meg!
Fogtömés után mikor lehet enni?
A fogtömés után, az érzéstelenítés hatásának teljes megszűnéséig kérjük, ne egyen, csak igyon! Ez tulajdonképpen azt jelenti, hogy amíg zsibbadást érez a szájában, addig tartózkodjon az evéstől.
A fogtömés az UV-fényre kötő kompozit miatt azonnal megszilárdul, a fogtömés késznek tekinthető. Tehát nem kell arra várni huzamosabb ideig, hogy a megszilárduljon és használható legyen. A félreértés a korábbi amalgámtömések alkalmazásából adódhat, ugyanis azoknak volt egy bizonyos kötési ideje.
Viszont a fogtömés után addig ne étkezzünk, amíg el nem múlik az érzéstelenítő hatása! Ez általában 2-4 óra lehet. Ezzel elkerülhetjük a kellemetlen baleseteket. Természetesen, ha nem volt érzéstelenítés, ezt nem feltétlenül kell betartanunk.
A fogtömés anyaga
Milyen fajtái vannak a fogtömésnek?
Amalgám fogtömés
Az amalgám egy régebben használt, igen népszerű tömésfajta, amely egy higany+többfajta fém kombinációjából áll, és jellegzetes fémszíne van. Ez a fajta tömés idővel repedéseket idézhet elő a fogban, ezért sok fogorvos javasolja cseréjüket egy modernebb tömésre.
Amalgámtömés cseréje láthatatlan tömésre
Egy ilyen fogtöméscsere eredményét láthatja a fenti képen is.
Cementek
Ezek a tömések nagyon szilárd alapot képeznek a fogban, de önmagukban nem szokták alkalmazni őket. Jellemzően ideiglenes tömésként használatosak.
Kompozittömés (láthatatlan tömés)
A modern tömések generációját az jellemzi, hogy igen jó minőségű és magas esztétikájú. A kompozittömések jól alakíthatók, így szinte teljesen visszaállítható a fog eredeti anatómiája és esztétikája. A modern tömések szinte „belesimulnak” a fogba, hétköznapibb kifejezéssel láthatatlan tömésként is emlegetjük őket.
Betétek
Az inlay, más szóval betét, tulajdonképpen a fogtechnikus által készített, ragasztott tömés. Akkor kerül sor az alkalmazására, amikor például a szuvasodás nagyon kiterjedt, a fog több felszínét is érinti, vagy a szuvasodás kiterjed több fogra is. A betét hatalmas előnye, hogy a fog épen maradt része megmenthető, a fogat nem kell kihúzni. A betétet a fog hiányzó részének alakjára készítik – ez a fázis egy fogtechnikai laborban zajlik -, és így kipótoljuk a fognak a szuvasodás miatt elvesztett részét.
Akár úgy is fogalmazhatunk, hogy a betét átmenet a korona vagy híd és a hagyományos fogtömés között.
Az inlay anyaga lehet kerámia, arany vagy gradia (műgyanta).
A kezelés menete ugyanaz, mint egy korona vagy híd készítésekor. A fogról lenyomat készül, amelynek alapján a technikusok elkészítik a megfelelő formájú és anyagú inlay-t. Amíg a betét készül, a páciens ideiglenes tömést kap. A beragasztáskor az ideiglenes tömést eltávolítjuk, és helyére kerül a tartós inlay.
Mi a láthatatlan fogtömés?
A mai modern fogászat fő célkitűzései a fájdalommentesség, a sikeres és tartós végeredmény, a minimál invazív kezelések és végül, de nem utolsósorban az esztétikai szemlélet. Ez utóbbi azt jelenti, hogy egy fogtömésnek nem pusztán jó minőségűnek és tartósnak kell lennie, hanem esztétikusnak is.
Ennek minimális követelménye az, hogy például a feltűnő amalgámtömések helyett fogszínű töméseket alkalmazzanak a fogorvosok, amelyek nem hívják fel magukra a figyelmet, valahányszor a páciens egy nagyot nevet.
Ennek továbbfejlesztett változata a láthatatlan fogtömés, amely olyan szépen belesimul a fogba, hogy még a szakértő szemnek is nehézséget okoz a felfedezése.
A láthatatlan fogtömés akkor „tűnik el”, ha a fogorvos minél jobban helyreállítja a fog anatómiáját. A modern kompozittöméseket úgy építi fel, hogy az kövesse a fog szerkezetét és eredeti formáját. A tömés színét természetesen a páciens fogszínéhez igazítják, így a végeredmény pontosan olyan lesz, mint az eredeti saját fog.
A leggyakoribb aggodalmak a fogtömés során
„Ki fog esni a tömés!”
A szakszerűen elhelyezett tömés nem fog kiesni! Ám ez a tény akkor igaz, ha Ön betartja a kezelőorvosa utasításait. A nem megfelelő fogápolási szokások oda vezethetnek, hogy a tömött fog egy másik helyen ismét szuvasodásnak indul, és a végén a fog annyira károsodik, hogy nemcsak a tömés esik ki, de maga a fog is letöredezik.
Még egy ide kapcsolódó megjegyzés: az ideiglenes tömések (amelyek több beavatkozás során készülhetnek, például korona, inlay, gyökérkezelés stb.) közel sem annyira strapabíróak, mint a végleges tömések. Ezért óvatosan rágjon az érintett foggal, amíg a végleges tömés bele nem kerül! Kerülje a kemény ételeket, a fogsort „összeragasztó” ételeket, mint amilyen a karamella vagy a rágó.
„Fájni fog a kezelés!”
A korszerű érzéstelenítési módszereknek köszönhetően a fogtömés teljesen fájdalommentes kezelés. Egy kis utóérzékenység előfordulhat, de jellemzően 4-6 hét alatt az is megszűnik.
„Nem bírom a fúró hangját!”
Manapság sokkal halkabbak a fogorvos által használt eszközök, például a fúrók is. Ha mégis zavarja Önt a zúgó hang, ossza meg aggodalmát a kezelőorvossal! Így ő tekintettel lesz Önre, és vagy több részletben végzi el a műveletet, vagy megpróbálja a figyelmét elvonni a zajról.
A leggyakoribb tévhitek a fogtömésekkel kapcsolatban
„A rágógumizás kicuppanthatja a tömést a helyéről.”
A szakszerűen elhelyezett tömés nem mozdul ki a helyéről!
A rágógumizást nem ellenzik a fogorvosok, mert erősíti az állkapcsot és a rágózás közben termelődő nyál segít a fogakra tapadt lepedék eltávolításában. Ám arra fel szokták hívni a figyelmet, hogy a túlzásba vitt rágózás kikoptathatja a rágóízületet.
Az viszont, hogy a rágógumi kiszedheti a tömést a helyéről, nem igaz. Legalábbis a szakszerűen, pontosan elvégzett fogtömés esetében semmiképpen sem.
„A szuvas fogakat örökölni lehet.”
Gyakran halljuk-olvassuk ezt a tévhitet, és ezért gyorsan ki kell jelentenünk, hogy szuvas fogakat nem lehet örökölni.
Olyan tulajdonságokat lehet örökölni, amelyek befolyással lehetnek a szuvasodási folyamatra. Ilyen a fogzománc vastagsága, a nyál összetétele vagy a fogsor kuszasága. Az egymásra torlódott fogakat ugyanis nem könnyű tisztán tartani, ennek pedig az lehet a következménye, hogy a lepedékből fogkő, a fogkőben megtelepedett baktériumok miatt pedig szuvasodás alakul ki.
A fogak romlását elsősorban a cukorban, szénhidrátban gazdag étrend és a helytelen fogápolás kombinációja indítja el. Önmagában a cukor még nem okoz fogszuvasodást: ha naponta kétszer, cirka fél órával az étkezés után ügyesen fogat mos, a cukor nem tud kárt tenni a fogakban. A probléma abból fakad, hogy sokan elhanyagolják a fogmosást, vagy helytelen technikával mosnak fogat, így a lepedék egy része a fogakon marad. A lepedékről pedig már írtuk, hogy elmeszesedve fogkő válik belőle, amely sok kárt okoz fogainkban, többek között a szuvasodás melegágya. Ezért is rendkívül fontos a rendszeres fogkő-eltávolítás!
A lényeg tehát, hogy mindenki tiszta lappal, vagyis steril szájflórával születik. Ön sokat tehet azért, hogy ne alakuljon ki fogszuvasodása, akármilyen kedvezőtlen adottságokat örökölt is!
„A tejfogak tömése nem szükséges, hiszen azok előbb-utóbb úgyis kiesnek.”
Vagy ez nem igaz?
A tejfogakat ugyanúgy megtámadhatja a szuvasodás, mint a maradó fogakat. A fogorvos csak akkor dönt úgy, hogy nem látja el a szuvas fogat, ha úgy ítéli meg, a tejfog napokon belül kiesik, illetve ha a tejfog oly mértékben sérült, hogy a tömésnek nincs kapaszkodó felszíne és kiesne. Ellenkező esetben ugyanúgy betömi a károsodott fogat, mint egy maradó fogat.
Az ok igen egyszerű: a szuvasodás, ha nem kezelik, továbbterjed. Előbb-utóbb fájdalmat okoz – a közhiedelemmel ellentétben a tejfog esetén is. A másik fontos érv, hogy amíg lehet, meg kell őrizni a tejfogakat, mert a maradó fogak szempontjából helyfenntartó szerepük van.
A sajgó tejfogat tehát feltétlenül meg kell mutatni a fogorvosnak!
„A fogakra nézve az a legkárosabb, ha sok cukrot eszünk.”
Először is két dolgot szeretnénk leszögezni. Az egyik, hogy ha étkezés, cukrosüdítő-fogyasztás után bő fél órával alaposan, a helyes technikát alkalmazva fogat mosunk, akkor a cukor nem tud kárt tenni a fogainkban.
Másodszor, ha ezt elmulasztjuk, a cukor igenis káros a fogakra nézve, és minél többet fogyasztunk belőle, annál károsabb.
De!
Ennél még károsabb az, ha kevesebb cukros ételt-italt fogyasztunk, ám gyakran. Sőt, az a legrosszabb, ha a cukros étel ráadásul sokáig érintkezik a fogakkal. Vagyis aki nem eszik cukros ételt, „csak” egy nyalókát, ám azt 2-3 óráig forgatja a szájában, az idő nagy részében a fogához szorítva a tömény cukorból készült nyalánkságot, az több kárt okoz a fogainak, mint aki megeszik egy fél tortát az ebéd megkoronázásaképpen – és ez a művelet 10 perc alatt lezajlik.
A tortával ugyan több cukor jutott a szervezetbe (és ártalmas hatása sajnos a szervezet többi részében érvényesülni is fog), de a nyalóka összességében többet árt a fogaknak.
Mi a tanulság?
A legfontosabb, hogy a cukros élelmiszerek, italok után se feledkezzen meg a fogmosásról! Amit még érdemes észben tartania az az, hogy lehetőleg ne órákig eszegesse vagy kortyolgassa az édes falatokat, kortyokat, hanem észszerű időn belül fogyassza el őket.
Fogtömés Budapesten
Reméljük sikerült érthetően összefoglalnunk minden információt a fogtömésekkel kapcsolatban. Ha további kérdése lenne vagy segítségre van szüksége, keressen minket elérhetőségeink egyikén vagy foglalon időpontot online.
A fogtömés árak a linkre kattintva érthetők el!








