A részleges és teljes fogtisztítás
Mi a különbség a kettő között?
A hétköznapi ember számára mindkettő a fogkőleszedést jelenti. A dentálhigiénikus számára azonban sokrétűbb feladatot takar. Ám az igaz, hogy mind a részleges, mind a teljes fogtisztítás azt a célt szolgálja, hogy a fogak felszínéről maradéktalanul eltávolítsuk a fogkövet és egyéb szennyező anyagokat.
A fogtisztítás menete
A depurálás során, azaz a fogkő eltávolításakor ultrahangos depulátorral leszedjük a fogkő íny alatti és íny feletti részét. Ezután következik a polírozás, hogy a maradék lerakódásoktól és a fogak elszíneződését okozó anyagoktól is megszabadítsuk a fogakat. Ilyenkor a fogak minden felületét végigpolírozzuk a különböző polírozó eszközökkel.
Részleges fogtisztításra akkor kerül sor, ha a professzionális fogtisztítást egy ülésben nem lehet elvégezni. Ez főként olyankor fordulhat elő, amikor a fogkő mennyisége és kiterjedése igen jelentős.
Az okok között szerepelhet az is, hogy a páciens ínye annyira be van gyulladva (többnyire éppen a nagy kiterjedésű fogkő miatt), hogy a szakorvos nem tudja a teljes fogtisztítást elvégezni az érzékeny és vérzékeny íny miatt.
Ilyenkor a fogtisztítást több ülésben végezzük el. 2 ülés az esetek többségében elég szokott lenni, de ritkán több alkalomra is szükség lehet.
A fogtisztítás szükségessége
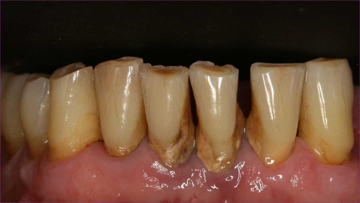
A fogkő eltávolítása nagyon fontos, mivel a fogkő okolható a fogszuvasodások zöméért, és az ínygyulladásnak is fő kiváltó oka. Továbbá a kellemetlen lehelet forrása, és – mint a képen is látható – látványnak sem vonzó.
Ezenkívül számos kezelés előfeltétele a professzionális fogtisztítás. Ilyen a fogfehérítés, a fogszabályozás, a fogpótlások, hogy csak a legfontosabbakat említsük. A fogpótlások esetén azért van erre szükség, hogy a pótlások (a korona, híd stb.) színét a páciens saját fogszínéhez igazítsuk – márpedig az elszíneződött, fogkővel borított fogak nem szolgálnak etalonként a megújult vagy új fogakhoz!

