Fogpótlás nanokristályokkal?
Nanokristályokkal megerősített fogpótlással kísérleteznek a tudósok, hogy a természetes fogaktól szinte megkülönböztethetetlen anyag legyen elérhető a fogászatokon.
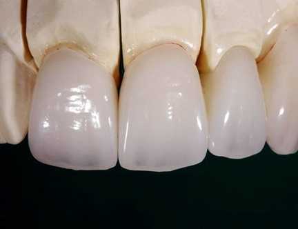
A jénai Friedrich Schiller Egyetem egyik professzorának vezetésével kutatás indult azzal a céllal, hogy a fogakhoz eddig legjobban hasonlító üvegkerámia anyagát jobbra tudják váltani. Az esztétikum mellett ugyanis szintén rendkívül fontos az anyag szilárdsága. Az üvegkerámia pedig még abban is hasonlít a fogra, hogy idővel elkopik, és aránylag könnyen törik.
A kutatócsapat egy nanokristályos szerkezettel rukkolt elő, amely minden kritériumnak megfelel: áttetszősége és struktúrája szinte megkülönböztethetetlenné teszi az igazi fogtól, a ma használt üvegkerámiákhoz képest viszont ötször jobban bírja a strapát.
Bár a végső engedélyeztetéshez még jó néhány kísérletre szükség van, az új anyag minden bizonnyal hamarosan a fogtechnikusok kincsévé, ezáltal közkinccsé válik.
(forrás: itt)
