Korona felhelyezése utáni fájdalom – mi lehet az oka?
A koronától azt várjuk, hogy megszabadítson a fájdalomtól, de előfordul, hogy a fájdalom tartósan fennáll. Melyek lehetnek a lehetséges okok és megoldások?
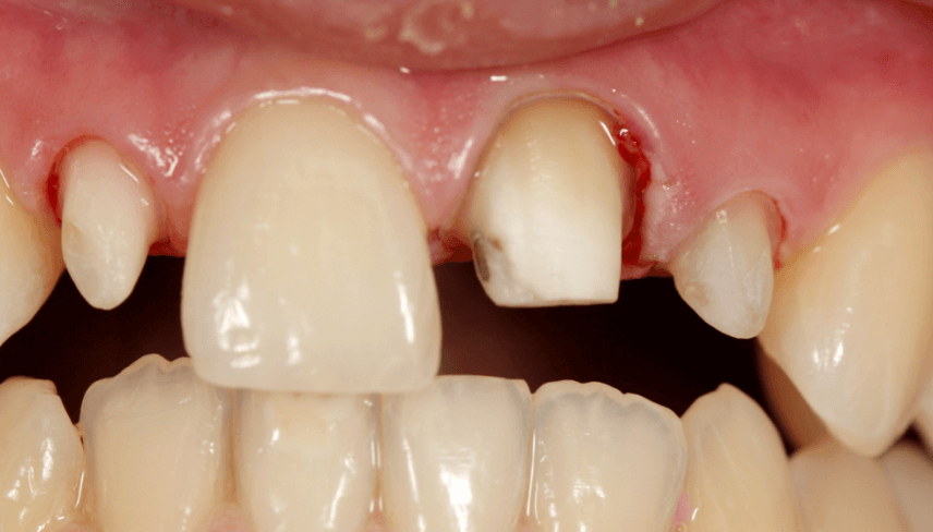
A korona a hagyományos, fix fogpótlások közé tartozik. A nagy kiterjedésű szuvasodással vagy töméssel rendelkező fogakat, trauma által nagymértékben sérült fogakat illetve zománc vagy dentin fejlődési rendellenességben szenvedő fogakat szükséges koronázni. Természetesen valamennyi saját ép fogrészre szükség van. Erre rögzítjük a koronát, amelyet így a saját fogunk tart. Nézzük meg, milyen lépésekből áll a koronával történő fogpótlás a klinikánkon!
A fogkorona-készítés menete az Unikliniknél
1. Konzultáció
Az állapotfelmérés után a fogorvos elmondja, milyen eljárást javasol és miért. Elmagyarázza, hogyan zajlik a kezelés.
2. Felvétel-képalkotó eljárás
Sima röntgen vagy panorámaröntgen elkészítése mindenképpen javasolt, sőt, CT-felvétel is szóba jöhet. Mindenképpen fontos felmérni, hogy a meglévő fogakat mennyire lehet felhasználni a hagyományos koronához vagy hídhoz. Ezeket a felvételi eljárásokat az Uniklinik tőszomszédságában található saját röntgen- és CT-laborunkban végezzük, vagyis a páciensnek nem kell egy távoli röntgenlabort felkeresnie.
3. Fogkorona előkészítése, lenyomatvétel
Attól függően, hogy koronát, hidat vagy fix, illetve kivehető pótlást kell alkalmazni, változhat a kezelés első fázisa. Korona és híd esetében a fog(ak) előkészítése – csiszolás -, a lenyomat- és harapásvétel és az ideiglenes korona/híd behelyezése ilyenkor történik, helyi érzéstelenítésben. A fogszín meghatározása is ekkor történik.
4. Próba
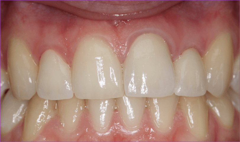
Többnyire egy bő hét alatt elkészül a korona vagy a híd, bár ez több időt is igénybe vehet. Mikor ez az idő letelt, jöhet a próba. Ha a korona vagy a híd tökéletesen illeszkedik, és a színe is megfelel a meglévő fogakénak, a fogtechnikusnak még egy-két napra szüksége lehet a véglegesítésre. Ha ez megvan, a koronát vagy hidat a helyére rögzítjük.
5. Kontroll
Bár szigorúan nem szükséges, szeretjük látni, hogyan működik a fogpótlás. Általában beragasztás után egy héttel, de legkésőbb akkor, amikor a páciens amúgy is eljön a félévente javasolt fogászati ellenőrzésre, megvizsgáljuk az újonnan kapott fogpótlását is.
Az ideiglenes korona meddig tart?
Gyakori kérdés, hogy az ideiglenes korona mennyire tartós. Ezek a fogpótlások – ahogy a nevük is mutatja – ideiglenes használatra készülnek. Az a funkciójuk, hogy a végleges korona elkészültéig védjék a lecsiszolt fogat. Ennek megfelelően nem is zárnak olyan pontosan, mint a végleges koronák, könnyebben alájuk kerülhet az ételmaradék, így nagy a fogszuvasodás veszélye. Arra ugyanakkor tökéletesek, hogy amíg a végleges fogpótlás el nem készül, védjék a fogat. Ez általában néhány hetet jelent, de ritka esetben előfordulhat, hogy ennél hosszabb a várakozás. Több hónapos időtartamnál már megfontolandó valamilyen tartósabb megoldás alkalmazása is.
Koronák fajtái az Unikliniknél
Többféle korona is elérhető klinikánkon, a fogpótlás jellegének és a páciens igényeinek megfelelően. A hagyományosnak mondható fémkerámia-korona és cirkonkorona mellett speciális, PROCERA-technológiával készülő koronával is a pácienseink rendelkezésére állunk.
- Porcelán leplezésű kobalt-króm korona vagy hídtag (2 év garanciával)
- PROCERA korona és híd cirkónium vázra (5 év garanciával)
- Porcelán leplezésű cirkónium korona (2 év garanciával)
- Emax fémmentes préskerámia korona
- Aranykerámia korona
Milyen a jó fogkorona? Melyik a legjobb fogkorona? A válasz minden páciens, minden fogsor esetében más és más. A fenti linkeken bővebb leírást olvashat az egyes koronák jellemzőiről, és az árakról is tájékozódhat. Az ideális megoldás kiválasztásához pedig konzultáljon valamelyik fogorvosunkkal!
A korona felrakása fájdalmas?
A korona felragasztása a fájdalommentes kezelések közé tartozik – a felhelyezés után ugyanakkor tapasztalhatunk érzékenységet. Úgy érezhetjük, hogy feszül a koronával borított fog, vagy annak környéke, illetve a hideg és a meleg ételekre, italokra is érzékeny lehet. Ez az érzékenység azonban az esetek többségében átmeneti, rendszerint pár nap alatt elmúlik.
Korona alatti ínygyulladás
A fogkoronák készülhetnek hagyományos vagy vállas csiszolással. Míg az utóbbinál a fogcsonkban kialakításra kerül hely a korona szélének, a hagyományos csiszolásánál a korona széle nem simul a fognyakra, minimális lépcső található. A korona elálló széle bizonyos esetekben fogínygyulladást okozhat.
A gyulladt fogíny sajnos a korona alatt is számos problémát okozhat. Szerencsére a legtöbb esetben a hagyományos csiszolás átalakítható vállasra. Ha ez nem segít, új koronát kell készíteni.
Gennyes fog a korona alatt
A fog gennyes gyulladása sajnos egy korona alatt is kialakulhat. Amikor a baktériumok behatolnak a szövetbe, a test védekezik a támadás ellen. Az elpusztuló baktériumok, valamint az elhalt szövetek összessége a genny.
A korona alatt a fog, illetve az íny úgy is megbetegedhet, hogy a páciens nem vagy alig érez fájdalmat. A fogszuvasodás, az ínygyulladás vagy a fogágybetegség következtében azonban egy-kettőre megtelepedhetnek a káros mikrobák akár a mélyebb csontszövetekben is, miközben a beteg ebből (szinte) semmit sem érzékel. A fog és az így között, illetve a korona szélénél esetlegesen feltörő genny sokkal komolyabb betegséget jelezhet, mint gondolnánk. Ezért az első tünetek észlelésekor forduljunk orvoshoz! Ha a korona alatt romlik a fog, nagyon fontos, hogy minél előbb cselekedjünk.
A korona alatt kialakuló betegségeket más tünetek is jelezhetik. Ilyen például ha a korona alatt büdös, kellemetlen szagot, ízt tapasztalunk. Ez a gennyes gyulladás mellett árulkodhat fokozott fogkőképződésről, fogágybetegségről, fogszuvasodásról is. A korona alatt kialakuló különféle betegségek megelőzése érdekében ajánlott minimum évente egyszer ellenőrző vizsgálatot végeztetni a kezelőorvosunkkal.
A korona alatti fájdalom további lehetséges okai
Ritkán, de előfordul, hogy a korona felrakásánál említett, azt követően jelentkező átmeneti fájdalom a korona felhelyezése után is tartósan fennmarad. Előfordulhat, hogy a csiszolt fog felületén megnyíló mikroszkopikus idegcsatornák nyitott végződései nem regenerálódnak elég gyorsan. Ezeket alapesetben a fogzománc védi, ám a csiszolt felületen a zománc már nem tudja ellátni ezt a funkcióját. Tehát a korona alatti fájdalom egyik oka lehet, hogy ezek az idegcsatornák nem gyógyulnak kellő ütemben. A gyorsabb gyógyulást elősegíthetjük szenzitív fogkrém használatával, amely lezárja a korona záródási vonalán túl, az íny szélénél nyitva maradt idegcsatornákat.
A korona alatti fájdalmat fogszuvasodás is okozhatja. Ez főleg akkor fenyeget, ha a rossz szájhigiéné miatt a szájüregben, nyálban elszaporodó baktériumok a korona és az ínyszél között be tudnak hatolni a fogba, megbetegítve azt.
Ha a korona alatt fáj a fog, az is elképzelhető, hogy a fogbél gyulladása a fájdalom oka. Az előkészítés, csiszolás, esetleges tömés meglehetősen nagy stresszt jelent a fog számára. Bár a ma elérhető modern eszközök és eljárások mellett nagyon ritka, mégis előfordulhat, hogy a csiszolás után enyhe foggyulladás alakul ki. Ez rendszerint nem jár intenzív fájdalommal, viszont a fogat rendkívül érzékennyé teszi (például a hidegre, melegre).
Ha ez okozza a fogfájást a korona alatt, sok esetben magától elmúlik, ahogy a szervezet legyőzi a gyulladást. A folyamatot gyorsíthatjuk, segíthetjük gyulladáscsökkentő gyógyszerekkel – erről azonban mindig konzultáljunk a fogorvosunkkal. Amennyiben a fájdalom a korona felhelyezése után tartós, szükségessé válhat a gyökérkezelés. Jó hír, hogy ezt akár a korona alatt is el lehet végezni.
Gyökérkezelés korona alatt
Ha a gyökérkezelés a korona felhelyezése előtt történt, érdemes megfontolni, hogy a fogat koronával védjük. A gyökérkezelt fog ugyanis törékenyebb, a korona megvédheti az esetleges töréstől.
Ha a koronával védett fog nem gyökérkezelt, de tartós fájdalom jelentkezik, ennek oka lehet a fogbél gyulladása. Ebben az esetben a gyökérkezelés lehet a megoldás. Szerencsére ez a kezelés sok esetben a korona átfúrásával is kivitelezhető, anélkül, hogy a koronát el kellene távolítani.
Amennyiben a korona alatti gyökérkezelt fog fáj, és ez a fájdalom nem múlik el, újabb vizsgálatokra lehet szükség. Ezekkel kapcsolatban konzultáljunk a kezelőorvosunkkal, aki a lehetséges fogászati beavatkozásokról is tájékoztatni fog bennünket.
Magas fogkorona, kényelmetlen korona
A magas korona több probléma forrása is lehet, amelyek jelentősen ronthatják a páciens életminőségét. Ha az alsó és a felső fogsor nem érintkezik optimálisan, a harapás sem lesz szabályos, ráharapási érzékenység is jelentkezhet némelyik fog esetében. Egyes fogak aránytalanul nagy terhelésnek lehetnek kitéve, ami fogbélgyulladást okozhat. A magas korona és a szabálytalan harapás elősegítheti, hogy a korona széle és az íny között rés alakuljon ki, vagy a meglévő hézag növekedjen, ez pedig a fog megbetegedéséhez vezethet.Szerencsére az esetek többségében a korona újrapozicionálásával megoldható a probléma, hogy minden páciensünk elégedett legyen a végeredménnyel.





