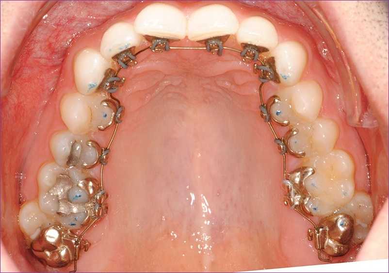
Láthatatlan fogszabályozás: a belső fogívre rögzített készülék
A láthatatlan fogszabályozás sok ember vágya. Ma már kétféle készüléktípus is alkalmazható erre a célra.
Az egyik a képen látható, a belső ívre rögzített készülék.
Ennek hatásmechanizmusa, kinézete tulajdonképpen megegyezik a hagyományos fogszabályozóéval – csak éppen a fogak belső felületén található. Előnye természetesen az, hogy nem látható. A hátránya az, hogy – főleg eleinte – problémákat okozhat a hangképzésben. Ez különösen igaz a felső fogsorra illesztett készülékre. Sokan megemlítik, hogy nehéz megszokniuk a viselését, bár tapasztalataink szerint egy hét után megszűnik a zavaró érzés.
Ezt a típusú készüléket nem egyszerű tisztán tartani – ám ez valójában minden rögzített készülékre igaz. Nagyon fontos, hogy minden étkezés után fogat mosson, és ellenőrizze, hogy a készülék alá nem szorult egyetlen ételdarabka sem.
A másik lehetőség az átlátszó fólia (Clear Aligner műanyag sín).
Ez utóbbinak több előnye is van a belső fogívre rögzített készülékkel szemben: jóval olcsóbb, kényelmesebb használni és egyszerűbb a fogak tisztán tartása – mivel evéshez és fogmosáshoz levehető. Hátránya az, hogy nem minden fogszabályozási problémára alkalmazható: jellemzően a frontrégió kisebb korrekcióira ajánljuk.

