Teljes szájrehabilitáció implantátumokkal és fémkerámia koronákkal
Középkorú nőpáciensünk azzal a panasszal kereste fel fogászatunkat, hogy meglévő fogai mozognak. A szájvizsgálat és a panoráma-röntgenfelvétel alapján egyértelművé vált, hogy a tünetek hátterében előrehaladott fogágybetegség áll.
A konzultáció során a hölgy elmondta, hogy évek óta vérzik az ínye, és kellemetlen szájszagra is panaszkodott. Azonban fájdalmai nem voltak. (Sajnos a fogágybetegségre hosszú ideig nem figyelmeztet semmilyen fájdalom, ezért sok páciensünket váratlanul éri a diagnózis.)
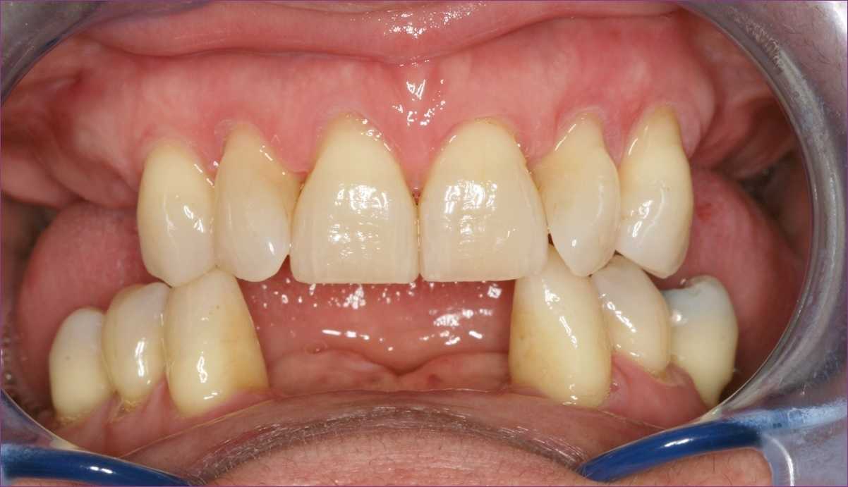
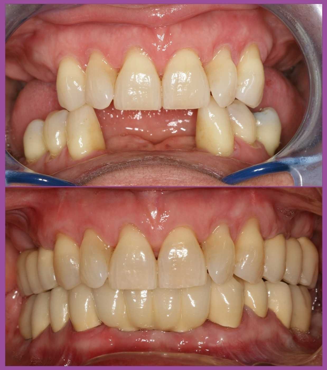
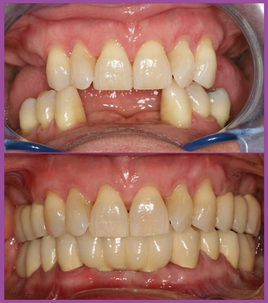
Sajnálatos módon számos fog ugyan épnek volt mondható, ám a nagyfokú csontpusztulás miatt el kellett távolítani őket.
A kezelési terv készítése során fontos szempont volt, hogy a páciens ne maradjon fog nélkül. A menthetetlen fogak eltávolítását megelőzően ideiglenes fogpótlásokat készítettünk a fogtechnikai labor segítségével, és a foghúzásokat követően ezeket egyből meg is kapta a páciens.
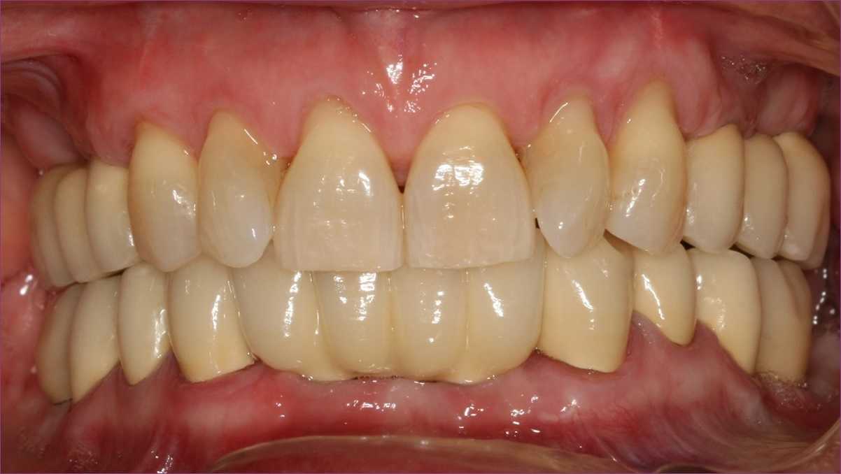
Miután sikerült a fogágypusztulást megállítani, és ezt az állapotot stabilizálni, megtörtént a foghiányok végleges pótlása implantátumok és fémkerámia fogpótlások segítségével. Ezalatt a pácienssel és a dentálhigiénikus kolléganővel közösen kialakítottunk egy olyan fogmosási rutint, amellyel a hölgy fenn tudja tartani a gyulladásmentes állapotot.
Páciensünk figyelmét felhívtuk arra, hogy fogágybetegségéből adódóan három havonta-félévente javasolt kontrollvizsgálatra járnia, hogy az új fogpótlásai időtállóak legyenek, és a betegség ne újuljon ki.
Páciensünk végtelenül elégedett volt a végeredménnyel, és azóta is rendszeresen látjuk az ellenőrzések során.


