Tévhit, hogy fogkő csak ott lehet, ahol el van színeződve a fog!
Sutka Anita dentálhigiénikus gyorsan eloszlatja ezt a tévhitet!
A fogkővel kapcsolatban számos tévhit él az emberekben. Az egyik ilyen hiedelem, hogy ha nem látunk a fogakon sárgás-barnás elszíneződést, akkor nincs is fogkövünk.
Sajnos a helyzet nem ilyen egyszerű. A fogkő ugyanis valóban nagyon „leugorhat” a fogakról, főleg, ha dohányzunk, sokat kávézunk, szeretjük a vörösbort, a piros bogyós gyümölcsöket – vagyis mindazt, ami elszínezheti a fogakat, és a fogkövön is nyomot hagy.
Ám van, amikor nem is olyan könnyű felfedezni a fogkövet! A három leggyakoribb ilyen eset a következő.
A fogak belső felülete
Jellemző, hogy az alsó frontfogak belső felületén keletkezik fogkő. A tükör előtt mosolyogva ezt nem szokták rögtön felfedezni a pácienseink. Sokszor igencsak meglepődnek, amikor megvizsgáljuk a fogakat, és elmondjuk, hogy fogkövet látunk.
Fehér fogkő
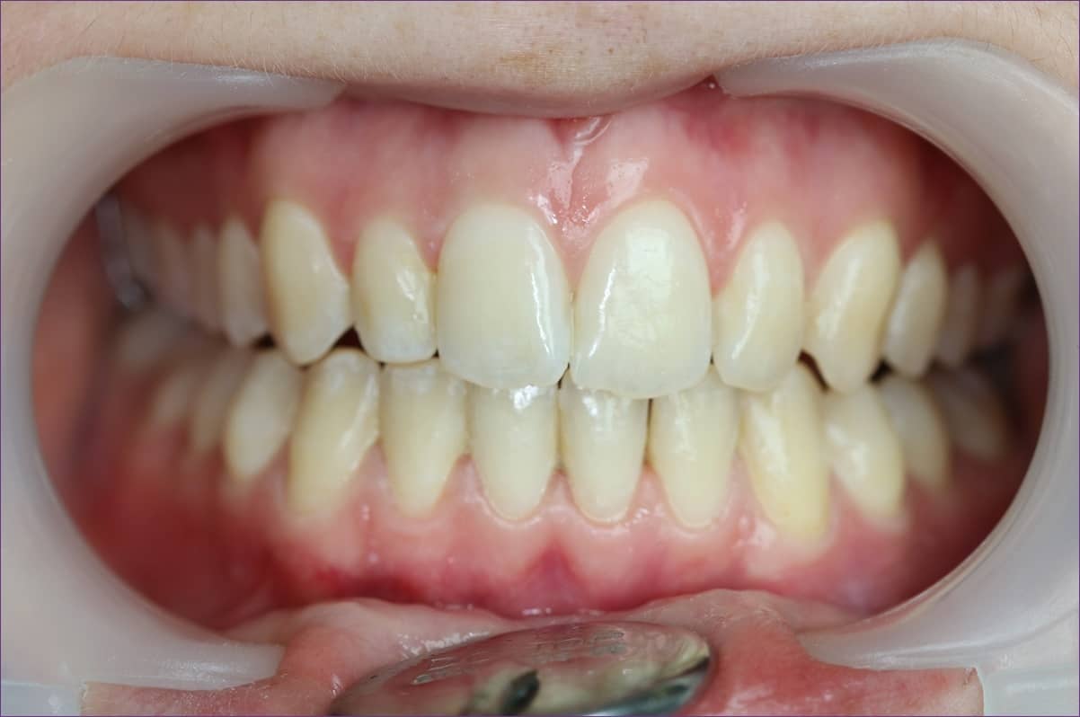
Aztán itt egy másik tény: létezik fehér színű fogkő is. Ez nem mindig szembetűnő, sőt, annyira beleolvadhat a saját fogaink színébe, hogy nem is vesszük észre.
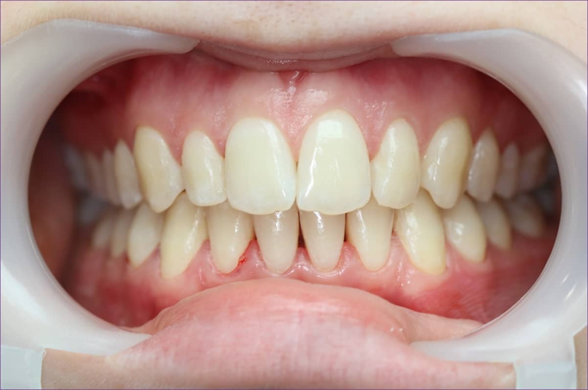
Első ránézésre ezeken a fogakon mintha nem is lenne fogkő. Ám a látszat csal, ami akkor válik nyilvánvalóvá, ha megnézzük ugyanezt a fogsort egy depurálás (ultrahangos fogkő-eltávolítás) után.
Jól látszik, hogy a frontfogak közötti területek átjárhatóbbá váltak – mert eltűnt onnan a fogkő.
Íny alatti fogkő
A harmadik megfontolandó dolog, hogy az emberek többsége csak az íny feletti fogkővel számol, pedig az íny alatti fogkő romboló munkája talán még ijesztőbb következményekkel járhat – fogágybetegség, fogak kilazulása, kiesése -, mint az íny feletti változaté.
Teendők
A fogkő nagyon ártalmas jelenség, ezért nem érdemes hátradőlni, ha első pillantásra nem látja nyomát a fogain. Azt javasoljuk, hogy félévente, évente jelenjen meg egy fogászati ellenőrzésen még akkor is, ha nincs semmilyen tünete, panasza. A fogorvos ugyanis nem fog átsiklani a fogak belső felén megjelenő, a fehér színű vagy az íny alatti fogkő felett! Ha fogkövet észlel fogain, egy dentálhigiénikus kollégához fogja irányítani, aki gyorsan és szakszerűen eltávolítja az íny feletti fogkövet. Az íny alatti fogkőről pedig egy parodontológus kolléga fog „gondoskodni”.


