Esettanulmányok

Vissza a többi tanulmányhoz /

Alsó és felső teljes esztétikai rehabilitáció Procera cirkonkoronákkal

Hölgypáciensünk a jobb alsó két implantátum beültetése után (NobelActive) alsó és felső Procera körhidat kapott. Ez a megoldás az esztétikai rehabilitáció mellett védi a fogakat a további szuvasodástól, illetve foglazulástól.

1

A magas pozíciót betöltő, igényes nőpáciensünk fogsorát esztétikai és funkcionális szempontból rendezni kellett. Kiindulási állapot: régi, elkopott, alászuvasodott tömésekkel és fogpótlásokkal teli fogsor.

 kiindulási állapot: régi, elkopott, alászuvasodott tömésekkel és fogpótlásokkal teli fogsor.
2

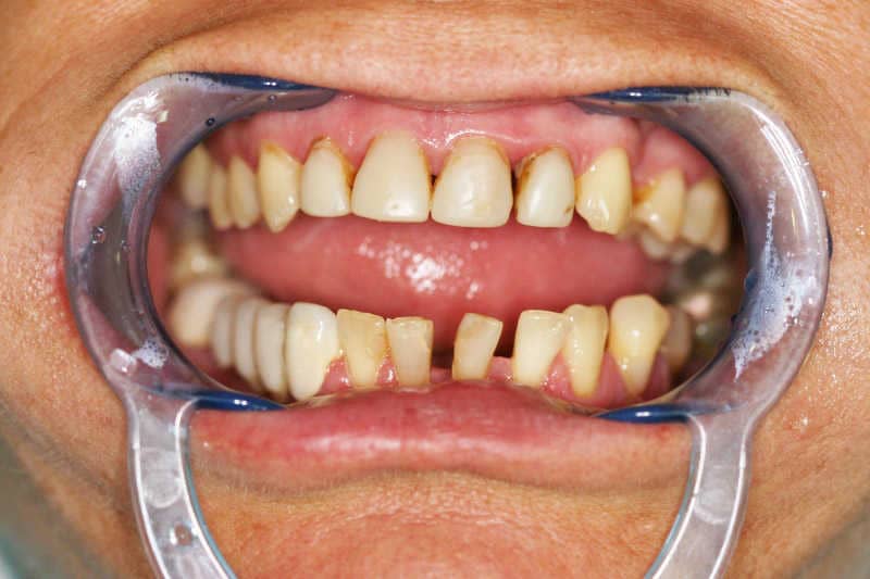
Már a közvetlenül a csiszolás után klinikánkon készült ideiglenes felső híd is végtelen örömmel töltötte el páciensünket.

 már a közvetlenül a csiszolás után klinikánkon készült ideiglenes felső híd is végtelen örömmel töltötte el páciensünket.
3

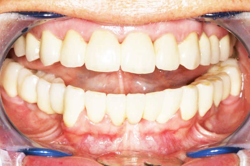
Rögzítettük a végleges felső Procera cirkonkoronákat. Jól megfigyelhető a lényeges esztétikai különbség az alsó és a felső fogsor között, a funkcionalitásról nem is beszélve!

 rögzítettük a végleges felső procera cirkonkoronákat.
4

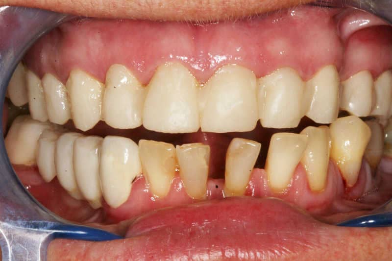
Az alsó fogsor rehabilitációjához két NobelActive implantátum behelyezését végeztük el a jobb oldalsó régióban. Fogeltávolításra nem volt szükség. A Procera cirkonkoronák itt is kielégítették a maximális esztétikai és fogászati igényeket.

Az alsó fogsor rehabilitációjához két nobelactive implantátum behelyezését végeztük el a jobb oldalsó régióban.
5

Páciensünk boldogan fogadta egészséges és megújult fogsorát.

 páciensünk boldogan fogadta egészséges és megújult fogsorát.