Esettanulmányok

Vissza a többi tanulmányhoz /

Alsó és felső teljes foghiány pótlása

A 62 éves hölgypáciensnek csak az alsó állkapocs elülső részében volt beültetésre alkalmas csontmennyiség.

1

A hölgy teljes alsó és felső fogsora hiányzott, amikor felkereste klinikánkat. Mivel felül a teljes, alul pedig az oldalsó csontállomány volt alkalmatlan implantációra, egy overdenture megoldás mellett döntöttünk

Alsó és felső hiányzó fogsor. implantációra alkalmatlan, ezért overdenture megoldás mellett döntöttünk.
2

Az alsó fogpótlás implantátumokon rögzülő, ínyre felfekvő része

Az alsó fogpótlás implantátumokon rögzülő ínyre felfekvő része.
3

3 db NobelBiocare implantátumot ültettünk be az alsó fronttájékra. 3 hónap csontosodást követően egy csavarokkal elhorgonyzott, aranyötvözetből elkészített stéget és rajta rejtett finommechanikai rögzítőelemekkel („rejtett patentokkal”) kapaszkodó fémlemezes kivehető pótlást készítettünk.

 három implantátumot ültettünk a front tájékra.
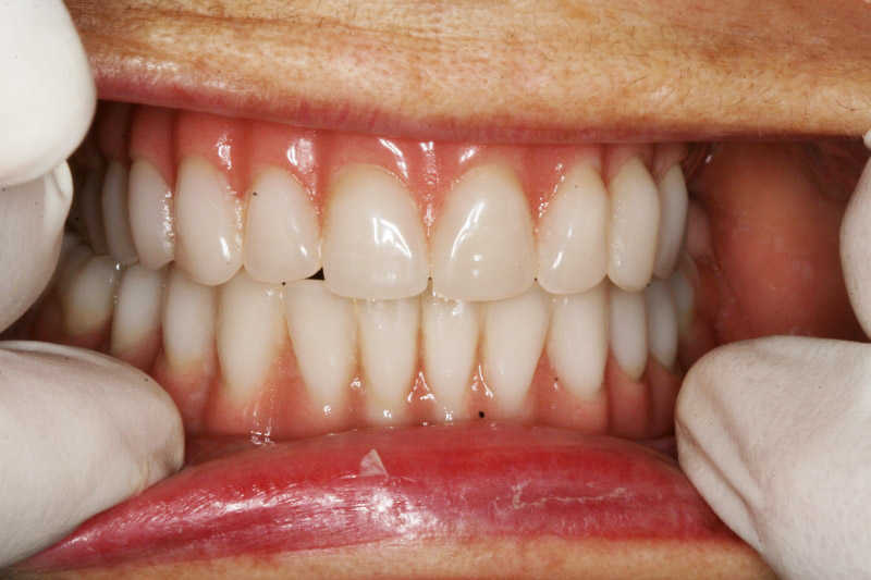
4

Ez a pótlás mind esztétikai, mind funkcionális szempontból felveszi a versenyt a teljesen fix porcelánleplezésű hidakkal. Felül egy műanyag alaplemezű, kivehető fogsort készítettünk. A műfogak alul-felül Ivoclar gyártmányúak (made in Liechtenstein).

Ez a pótlás esztétikai és funkcionális szempontból is felveszi a versenyt a teljesen fix porcelánleplezésű hidakkal.