Esettanulmányok

Vissza a többi tanulmányhoz /

Egy hiányzó frontfog pótlása

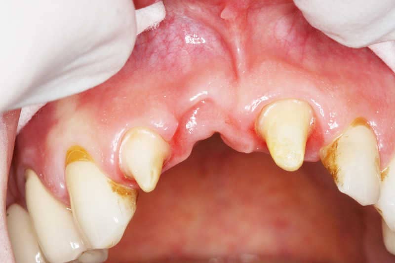
Fiatal férfipáciensünk fogágyciszta miatt veszítette el jobb felső nagymetszőjét. A hiányzó frontfogat háromtagú cirkonhíddal pótoltuk.

1

A hiányzó nagymetsző melletti két fogat előkészítettük, hogy rögzíteni tudjuk a háromtagú cirkonhidat.

A két szomszédos fogat előkészítettük, hogy rögzíteni tudjuk a háromtagú hidat
2

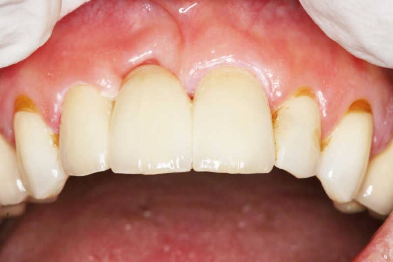
A cirkon-dioxid fémmentes híd esztétikailag is kifogástalan végeredményt ad.

 kifogástalan végeredmény.