Esettanulmányok

Vissza a többi tanulmányhoz /

Fogeltávolítás utáni azonnali fogpótlás

Páciensünk a jobb felső kismetszője körül levő állandó gyulladás, fájdalom, vérzés és rossz esztétikum miatt fordult hozzánk. A szájvizsgálat és a röntgenfelvételeket követően megállapítottuk, hogy a gyökéren külső felszívódás jelei láthatóak. Emiatt sajnos a fogat el kellett távolítani, de ezt azonnali fogpótlás követte.

1

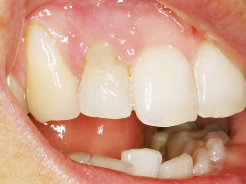
A szóban forgó kismetsző

A szóban forgó kismetsző
2

A fogeltávolítást követően azonnali implantáció történt. A Nobel Biocare implantátumcsaládba tartozó Nobel Active implantátum került beültetésre.

A fogeltávolítást követően azonnali implantáció történt
3

Az implantátum behelyezését követően az eltávolított fog koronarészének segítségével alakítottuk ki az ideiglenes koronát.

Az implantátum behelyezését követően az eltávolított fog koronarészének segítségével alakítottuk ki az ideiglenes koronát.
4

A páciens ezt az ideiglenes koronát viseli az implantátum becsontosodási ideje alatt, amely átlagosan 3 hónap.

A páciens ezt az ideiglenes koronát viseli az implantátum becsontosodási ideje alatt, amely átlagosan 3 hónap.