Esettanulmányok

Vissza a többi tanulmányhoz /

Foghiány rendezése fémmentes cirkonkoronákkal és -hidakkal

Rendkívül vonzó, középkorú nőpáciensünk szerette volna, ha igényes és tetszetős megoldást találunk foghiányára, illetve nem igazán esztétikus fogászati státuszára. Fémmentes cirkonkoronákat és -hidakat alkalmaztunk, amelyek pontosan azt nyújtják, amit páciensünk elvárt.

1

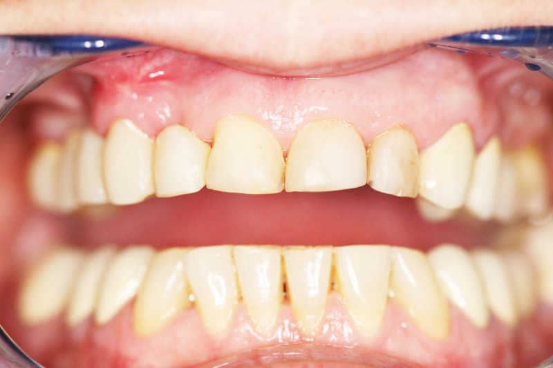
Kiindulási állapot: tömött, gyökérkezelt, elkopott fogak

 tömött, gyökér kezelt, elkopott fogak.
2

A végeredménnyel páciensünk maximálisan elégedett volt!

A végeredménnyel maximálisan elégedett páciensünk.