Fogszabályozás és esztétikai helyreállítás moulding technikával

Fogszabályozás és Esztétikai Helyreállítás Moulding Technikával

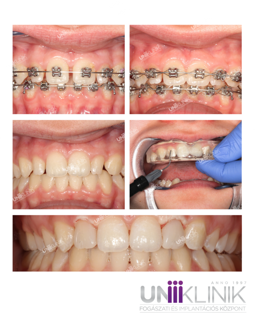
Mivel keresett meg bennünket a páciens?

18 éves páciensünk felső réses frontrégióját és mélyharapását szerette volna rendezni.

 Diagnózis és javasolt kezelés:

Panoráma és teleröntgen készítése után dr. Suszták Adrienn fogszabályozó szakorvos fém rögzített fogszabályozó készüléket javasolt.  Felső kismetsző fogainak esztétikai korrekciójára dr. Balogh Brigitta konzerváló fogászat és fogpótlástan szakorvosa injection moulding technikára készített tervet.

 Hogyan zajlott a beavatkozás?

Dr. Balogh Brigitta a több mint egy éves fogszabályozó kezelésének befejeztével a felső kismetszők korrekcióját végezte el, gyakorlatilag a fog preparálása nélkül. Ehhez az ún. injection moulding technikát alkalmazta.

Átlátszó szilikonsínen keresztül történt a fogak feltöltése fényrekötő tömőanyaggal, amellyel helyreállította a megfelelő fogformát és zárta a rést a fogak között.