Esettanulmányok

Vissza a többi tanulmányhoz /

Frontfog pótlása csiszolás nélkül

Frontfog pótlása csiszolás nélkül, NobelReplace implantátummal és cirkonkoronával.

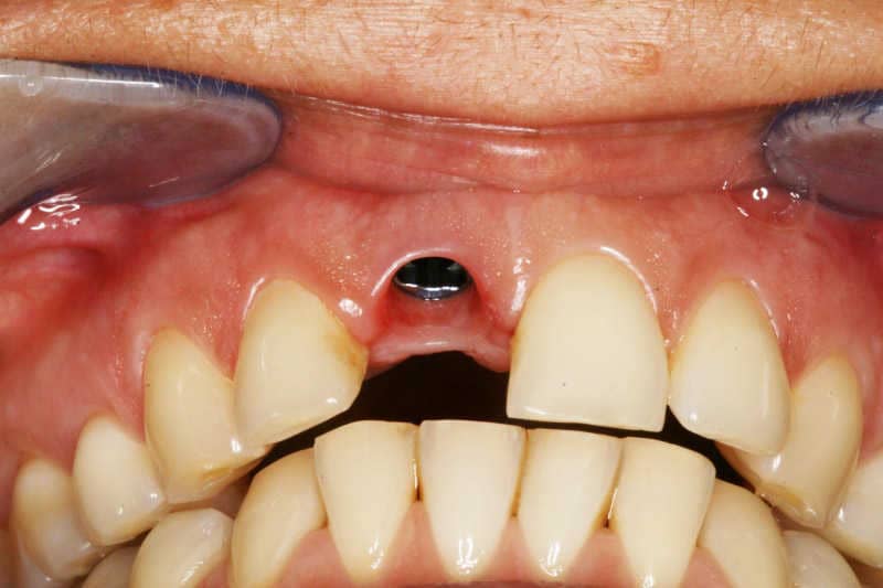
1

Csinos, fiatal nőpáciensünk jobb felső nagymetszőjének hiányát pótoltuk NobelReplace implantátummal.

 páciensünk nagymetsző fogának hiányát nobel replace implantátummal pótoljuk
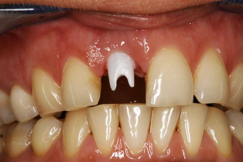
2

Az ínyből már kiemelkedő cirkon protetikai fej

Az ínyből kiemelkedő cirkon protetikai fej
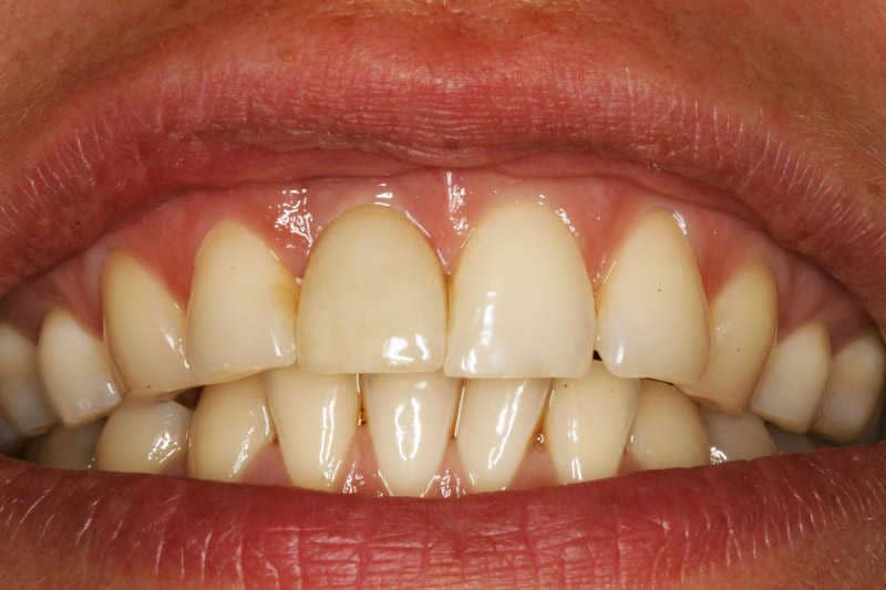
3

Íme a szép végeredmény, vagyis a fémmentes cirkonium-dioxid korona. Alkalmazásával elkerülhető volt a szomszédos fogak csiszolása a fogpótlás során.

 szép fémmentes cirkonium dioxid korona, a szomszédos fogak csiszolása nélkül