Esettanulmányok

Vissza a többi tanulmányhoz /

Frontfogak borítása fémmentes cirkon-dioxid koronákkal

Fiatal, csinos nőpáciensünk előnytelen színű és esztétikájú frontfogainak borításához fémmentes cirkon-dioxid koronákat javasoltunk.

1

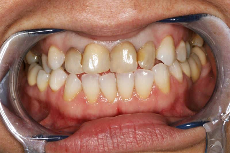
A kiindulási állapot: a gyerekkorban tetraciklin tartalmú antibiotikum szedése miatt elszíneződtek a metszőfogak.

 kiindulási állapot, elszíneződött fogak
2

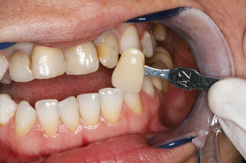
Körültekintő fogszín-meghatározás

Fogszín meghatározás
3

A lecsiszolt fogak gipszmintája

A lecsiszolt fogak gipszmintája
4

A beragasztott cirkon-dioxid koronák

A beragasztott cirkon dioxid koronák
5

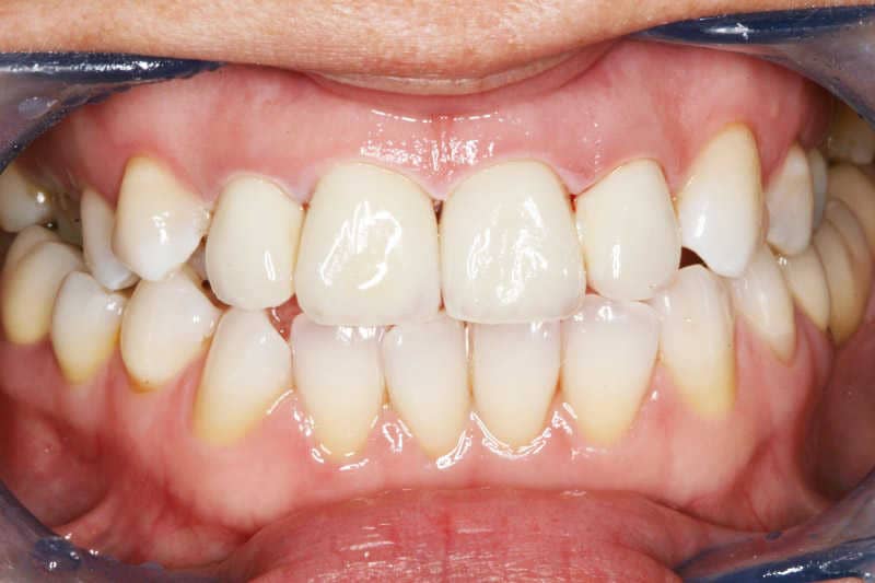
Az elégedett páciens mosolya

A páciens elégedett mosolya