Esettanulmányok

Vissza a többi tanulmányhoz /

Hátsó fogakon rögzülő, teljes szájpadlást beborító pótlás cseréje

Legszebb férfikorban lévő előadóművész páciensünk a korábban hordott, hátsó fogakon rögzülő, teljes szájpadlását beborító pótlásának cseréjére kért bennünket.

1

A két felső 4-es helyére behelyezett NobelActive implantátumok

A két felső 4 es helyére behelyezett nobelactive implantátumok
2

Egy-egy rejtett patent-felépítmény (Locator) segítségével masszívan rögzül az így már redukált felső fogsor - ami már nem kell, hogy befedje a szájpadlást!

Egy egy rejtett patent felépítmény (locator) segítségével masszívan rögzül az így már redukált felső fogsor
3

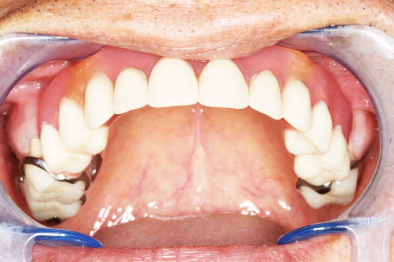
A fogpótlás a szájba helyezve

A fogpótlás a szájba helyezve
4

Elégedett páciensünk boldog mosolya

Elégedett páciensünk boldog mosolya