Esettanulmányok

Vissza a többi tanulmányhoz /

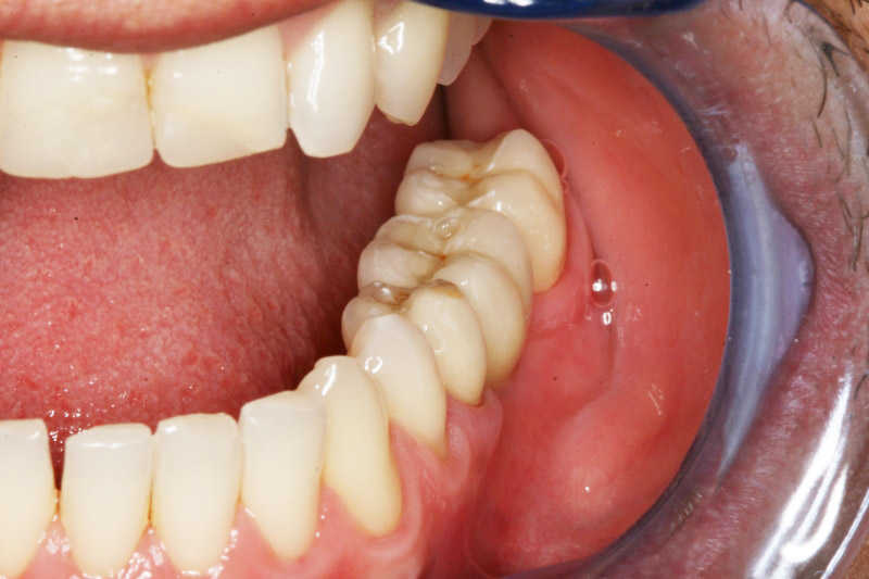
Hátsó fogpótlás implantátummal és cirkonkoronával

Hátsó fogpótlás implantátummal és cirkonkoronával.

1

A hiányzó bal alsó első nagyőrlőfog helyére NobelActive implantátumot ültettünk, és cirkon protetikai fejjel láttuk el.

 nobel implant implantátumot helyezünk a hiányzó fog helyére cirkon protetikai fejjel.
2

Az implantátumon és a saját fogakon rögzülő Procera cirkon híd

Az implantátumon és saját fogakon rögzülő procera cirkon híd.