Esettanulmányok

Vissza a többi tanulmányhoz /

Miért ajánljuk a fémmentes (cirkónium) koronákat? (2. eset)

A végeredmény magáért beszél: a szép és tartós fogpótlás gyakorlatilag megújította a páciensünk mosolyát.

1

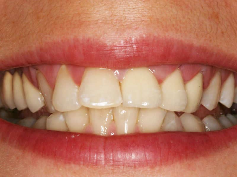
Érkezés elszineződött gyökérkezelt fogakkal

érkezés elszineződött gyökérkezelt fogakkal
2

Az új fémmentes (cirkónium) koronák

Az új fémmentes (cirkónium) koronák