Mosoly megújítás állkapocs ízületi problémák orvoslásával

Mosoly Megújítás állkapocs ízületi Problémák Orvoslásával

Mivel keresett meg bennünket a páciens?

75 éves páciensünk azzal a panasszal keresete fel fogászatunkat, hogy nagyfokú fogkopás következtében állkapocsízületi panaszai alakultak ki és ezért szeretné funkcionálisan és esztétikailag helyrehozni a fogait. Jobb oldali TMJ kattogásról, jobb oldali erős fülzúgásról és rágóizomfájdalmakról panaszkodott.

 

Diagnózis és javasolt kezelés:

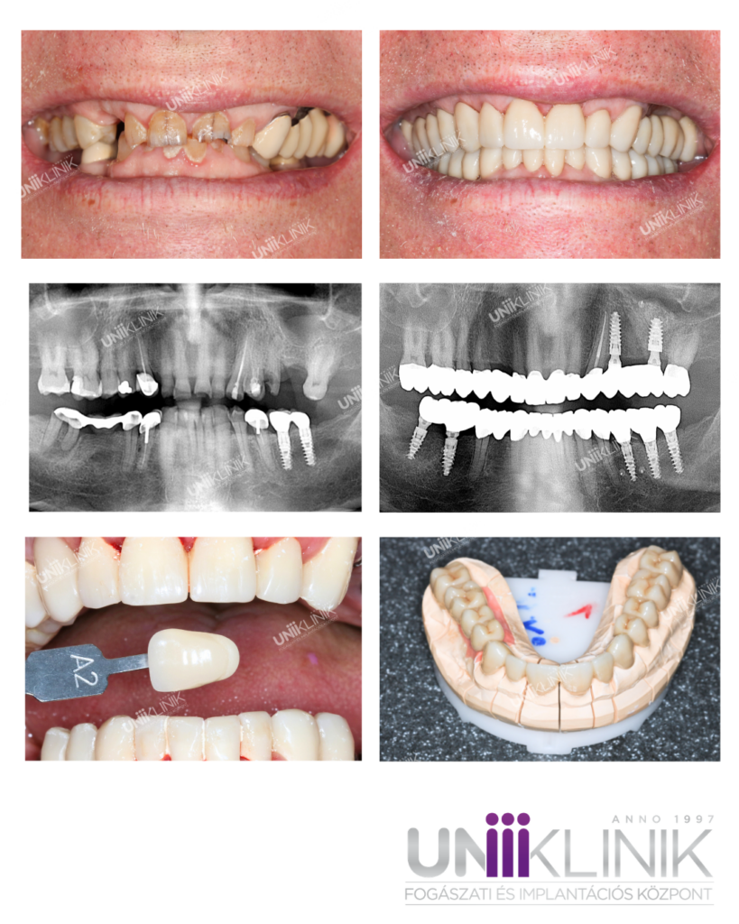
Dr. Sápi Béla konzerváló fogászat és fogpótlástan szakorvosa fogászatunk gnatológusa (állkapocs ízületi problémákkal foglalkozó ágazat specialistája) első körben Arcus Digma mozgáselemzéssel létrehozott, maximálisan individualizált PMMA, hosszútávú ideiglenes pótlást javasolt páciensünknek az állkapocs ízületi problémák orvoslására.

Dr. Jancsecz Péter fog- és szájbetegségek szakorvosa, dentoalveolaris szájsebész szakorvos páciensünkkel való konzultáció, panoráma röntgen és CT felvétel alapján a foghiányokra Alpha Bio implantátumok behelyezését valamint bal felső állcsontba csontpótlást javasolt.

 

Hogyan zajlott a beavatkozás? 

Maximálisan individualizált PMMA, hosszútávú ideiglenes pótlást páciensünk 6 hónapig hordta. Ez idő alatt TMD panaszai teljesen megszűntek, fülzúgása elmúlt. Közben a foghiányai helyére implantátumok kerültek behelyezésre, a végleges pótlást ezekre, illetve a saját fogaira cirkónium-dioxidból készítettük el. Páciensünk legnagyobb megelégedésére funkcionálisan és esztétikailag is számára tökéletes megoldás született.