A fogkő-eltávolítás csillogó, fehérebb mosolyt eredményez, ráadásul csökkenti a fogínygyulladás kockázatát. Cikkünkből megismerheti a gyors és fájdalommentes kezelés menetét, képekkel szemléltetjük az elérhető eredményeket és megválaszoljuk a témában felmerülő gyakori kérdések.
Mi az a fogkő-eltávolítás?
A fogkő-eltávolítás egy dentálhigiéniás kezelés, amelyet általában dentálhigiénikusok – de természetesen fogorvosok is – végeznek. (Nálunk, az Uniklinik fogászaton dentálhigiénikusok végzik, de vannak fogászatok, ahol ez a fogorvosok hatáskörébe tartozik.) A kezelés során a fogakon képződött elmeszesedett lepedéket távolítják el, hogy a fogkő következményeit és szövődményeit megelőzzék. De miért is olyan fontos eltávolítani a fogkövet a fogakról? Ahhoz, hogy ezt megtudjuk, először tekintsük át, hogy mi is az a fogkő.
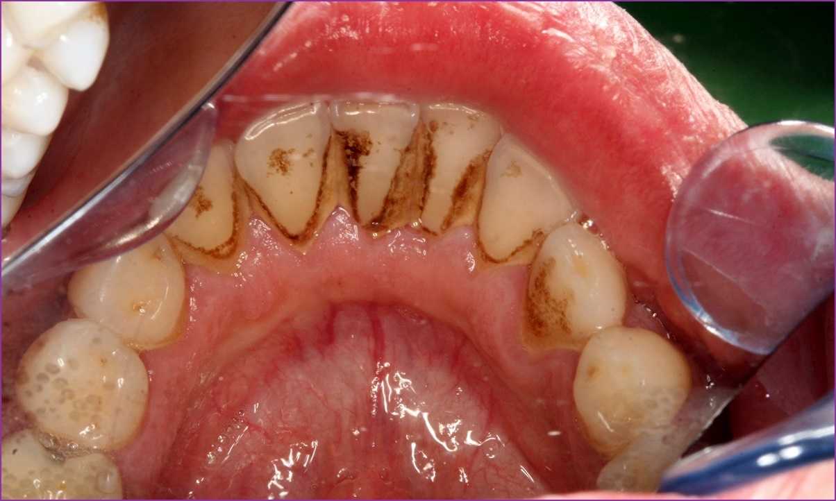
Mi az a fogkő?
A fogkő nem más, mint az elmeszesedett lepedék, ami olyan kemény, hogy házi módszerekkel és egyszerű fogmosással már nem lehet eltávolítani a fogakról. A fogkőképződés igen hamar, már nem sokkal az étkezés után elkezdődik a fogak felszínén.
Ha a lepedéket nem távolítjuk el helyes fogmosási technikával, akkor ez a vékony réteg dentális plakká alakul, majd a nyálból kioldódó ásványi anyagok hatására elmeszesedik. Ez az elmeszesedett lepedék a fogkő.
Hogyan zajlik a fogkő-eltávolítás?
A fogkő-eltávolítás menete igen egyszerű, de mégis sokan bizonytalanok abban, mi vár rájuk. Ezért röviden összefoglaltuk a fogkő-eltávolítás lépéseit.
A fogkő-eltávolítás lépései, menete
1. lépés: Fogtisztítás: a fogkő eltávolítása
A fogkő-eltávolítás első lépése a fogtisztítás, azaz a makacs fogkövek tényleges eltávolítása.
A megfelelő állapotot az úgynevezett ultrahangos fogtisztítással érjük el. Az ultrahangos rezgőmozgás könnyedén és kíméletesen választja le a fogkövet a zománcról, úgy, hogy a zománc közben egyáltalán nem sérül. A rezgések által légbuborékok képződnek, amelyektől a fogkövek leválnak és szétesnek. Az alapos fogtisztítással újra tiszta és sima fogfelszínt kapunk, ami elengedhetetlen lépés a helyes szájhigiénia kialakulásához.
Ezt követi a homokfúvás, melyet egy olyan eszközzel végzünk, amely nagy nyomáson dolgozik, hogy a tisztítás maradéktalanul eltávolítsa a szennyeződéseket, a fogakon maradt lepedéket.
2. lépés: Polírozás: a fogak finom tisztítása
A fogkő-eltávolítás második lépése a letisztított fogak polírozása. Ezt polírozó pasztával és egy elektromos fogkeféhez hasonló fejjel végezzük. A fogkő-eltávolítás és a polírozás tehát csillogó, fehérebb mosolyt eredményez minden páciensünk számára!
Fogkő-eltávolítás: gyakori kérdések
Munkánk során számtalan érdekes és elgondolkodtató kérdéssel találkozunk, ezért most összegyűjtöttünk néhány gyakran felmerülő kérdést a fogkő-eltávolítással kapcsolatban.
Fáj a fogkő-eltávolítás?
Meglepő módon nagyon gyakran kérdezik pácienseink, hogy a fogkő-eltávolítás fájdalmas-e. Aggodalomra nincs különösebb ok, hiszen a fogkő-eltávolítás nem fájdalmas, különösen akkor nem, ha csak kevés mennyiségű fogkő rakódott le a fogakra. Ilyenkor az íny nem kerül gyulladásba, ezért nem lép fel különösebb fájdalom a fogkő leszedéskor. Ha nagyon aggódik a fájdalom miatt, megnyugtatjuk: ha kezelés közben érzékenységet tapasztal, bármikor kérheti az érzéstelenítő használatát!
Tehát azt tudjuk javasolni, hogy érdemes mielőbb megszabadulni a fogkőtől, még addig, amíg csak kevés van belőle. Így a kellemetlen érzést is elkerülhetjük, ami a nagyobb mennyiségű fogkő-eltávolításkor felmerülhet.
Természetesen fognyaki érzékenység esetén a kezelést érzéstelenítésben is elvégezzük.
Melyek a fogkő-eltávolítás előnyei?
A fogkő-eltávolítás előnyei a legkönnyebben úgy közelíthetők meg, hogy megnézzük, milyen következményeket és tüneteket okoz a fogkő. Szájüregünk higiéniájának érdekében kiemelten fontos, hogy elkerüljük ezeket a kellemetlen panaszokat, melyek megnehezíthetik mindennapjainkat:
- Szemmel látható, sárgás (feketés) elszíneződések, lerakódások,
- vörös, gyulladt íny,
- érzékeny íny és fogínyvérzés,
- kellemetlen lehelet.
Miért kell eltávolítani a fogkövet?
A fogkő nem szép látvány. Nagy mennyiségben pedig kifejezetten csúnya.
- A kellemetlen, rossz lehelet legfőbb okozója.
- A fogkőben nyüzsgő baktériumok ínygyulladást okoznak, hosszabb távon fogágybetegséghez vezetnek. Talaján kialakulhat fogszuvasodás is.
- Tehát a fogkő-eltávolítás előnyei között meg kell említenünk az ínygyulladás és a fogágybetegség megelőzését, a szebb, esztétikusabb fogakat és a rossz lehelet megszűnését.
Szabad-e fogkő-eltávolítás után enni?
Azt tanácsoljuk, hogy a fogkő-eltávolítás után legalább 3 óráig ne fogyasszon színező hatású ételeket. (Ezek könnyen felismerhetők arról, hogy élénk színekben pompáznak. Ilyen például a cékla, szeder, málna stb.)
Szabad-e fogkő-eltávolítás után inni?
A fogkő-eltávolítás után inni természetesen szabad, de csak és kizárólag szénsavmentes vizet. Másféle folyadékkal érdemes várni legalább 3 óráig, főleg a színező hatású italokkal. (Ilyen például a vörösbor, a kávé stb.)
Káros a fogkő-eltávolítás után kávét fogyasztani?
A fogkő-eltávolítás utáni kávéfogyasztásra ugyanazt tudjuk javasolni, mint általában az italoknál. Legalább 3 óráig mondjon le erről az italról, hiszen a kávé erősen színező hatású. Nem érdemes egy ital kedvéért kockáztatni fogaink újonnan nyert szép színét – különösen, ha csak néhány órát kell kibírnunk nélküle.
Káros a fogkő-eltávolítás után cigarettázni?
A cigaretta is színező hatású, így a cigarettázást nemcsak a fogkő-eltávolítás után érdemes kerülni, ha szép, fehér fogakat szeretnénk, de egészségünkre gyakorolt káros hatása miatt egyáltalán nem javasoljuk a cigaretta használatát.
A fogkő-eltávolítás milyen gyakran szükséges?
A dentálhigiénés kezelés esedékességét számos tényező befolyásolhatja, ilyenek lehetnek például az étrend, a fog és szájápolási szokások. A legtöbb felnőtt személy számára javasolt fogkő-eltávolítás 6-12 havonta, mivel ennyi idő is elegendő lehet a jelentős mértékű fogkőképződéshez.
A fogkő-eltávolítás polírozással együtt történik?
Igen, a fogkő-eltávolítás polírozással együtt történik a legjobb eredmény érdekében.
A fogkő magától leesik idővel?
Gyakori tévhit, hogy a fogkő magától leesik idővel. Valójában a fogfelületre lerakódott elmeszesedett lepedék makacs és kizárólag szakszerű kezeléssel szabadulhat meg tőle.
Fogkő-eltávolítás után ínygyulladás jelentkezett, mi a teendő?
Bár nagyon ritkán fordul elő, de egyes esetekben a fogkő-eltávolítás után ínygyulladás jelentkezhet. Ezt általában a fogtő környékén megjelenő fájdalom és piros szín jelzi. Amennyiben gyulladást tapasztalt, forduljon fogorvosainkhoz, akik a megfelelő kezelésben részesítik.
Hány éves kortól szükséges a rendszeres fogkőlevétel?
Egyes gyermekeknél egészen fiatal korban, akár már 4-5 évesen is megjelenhet a fogkő. A rendszeres fogkőlevétel megkezdésére általában 6-8 éves kortól van szükség.
Jelentkezik a fogkő-eltávolítás után fájdalom?
Nem, a fogkő-eltávolítás után fájdalom a páciensek többségénél nem jelentkezik. Átmeneti enyhe érzékenység bizonyos esetekben jelentkezhet, ez azonban rövid időn belül megszűnik.
Lehetséges a fogkő-eltávolítás házilag? Melyek az otthoni fogkő-eltávolítás veszélyei?
Szigorúan tilos a fogkő-eltávolítás házilag, hiszen súlyos és akár visszafordíthatatlan károkat okozhat a fogazatban és az ínyben. Az otthoni fogkő-eltávolítás helyett, minden esetben kérje egészségügyi szakember segítségét a kezeléshez.
Mennyibe kerül a fogkőleszedés?
A fogkőleszedés ára klinikánkét jelentősen változhat. Tekintse meg aktuális árainkat!
Normális, ha a fogkő-eltávolítás után érzékeny az íny?
Igen, átmeneti fokozott érzékenység jelentkezhet a kezelés után, amely rövid időn belül teljesen megszűnik.
Mennyi a fogkő-eltávolítás ideje?
A fogkő-eltávolítás ideje körülbelül 20-30 perc, azonban igazán súlyos esetben a kezelés akár 40-50 perc is lehet. Tovább növelheti a fogkőleszedés idejét az, ha a páciensen fix retainer vagy fogszabályzó található. Ilyenkor a fogközi terület nehezebben hozzáférhető és az orvos számára több idő lehet szükséges.
Uniklinik: fogkő-eltávolítás Budapest területén
Az Uniklinik fogászat Budapesten felszereltségben és szaktudásban világszínvonalat képvisel. Legyen szó fogkő-eltávolításról, fogszabályozásról, fogpótlásról vagy bármilyen egyéb kezelésről, forduljon bizalommal szakértő csapatunkhoz!

