A felső állkapocs rehabilitációja
A kiindulási állapot
Páciensünk felső állcsontja teljes rehabilitációra szorult. A bal oldalon a kis-és nagyőrlői hiányoztak, a jobb oldalon viszont ún. sorközi foghiányai voltak (ilyenkor fogak határolják elölről és hátulról is a foghiányt). A fogak esztétikáján rontott a fogkő, az elszíneződött régi tömések és a kezdődő saverózió miatti egyenetlen fogélek.
A kezelés legfontosabb lépései
A rehabilitáció során először egy professzionális dentálhigiénés kezeléssel megtisztítottuk az ép saját fogakat, vagyis eltávolítottuk az összes fogkövet, elszíneződést mind a felső, mind az alsó fogakról.
A fogkő eltávolítása otthon nem lehetséges, a különféle házi módszerekkel legfeljebb lassítani lehet a fogkőképződést. (Ez azonban a rendszeres és helyes technikájú fogápolással ugyanúgy elérhető.) Ha a fogkő-eltávolítással otthon kísérletezünk, annak a fogaink vagy ínyünk épsége láthatja kárát. Ezért szoktuk felhívni a figyelmet arra, hogy a fogkő-eltávolításra semmiképpen se otthon, hanem a fogászat rendelőjében kerüljön sor.
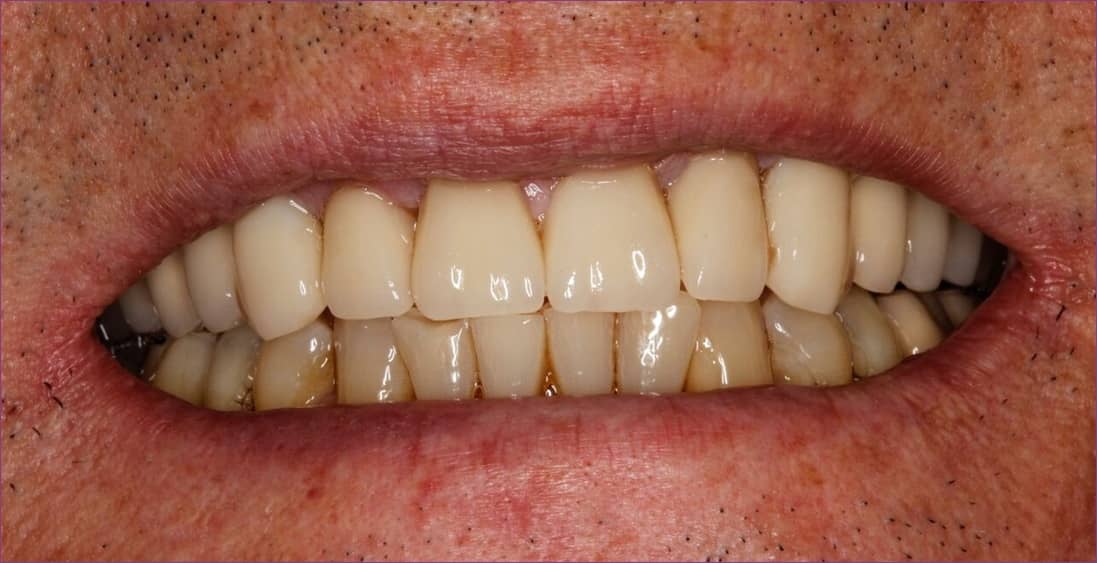
A felső állcsont bal oldali őrlőrégiójában implantátumokra rögzített fogászati híddal pótoltuk a hiányzó fogakat.
Egy ilyen típusú hidat figyelhet meg a fenti képen. Két beültetett implantátum tartja a felépítményt, vagyis a fogászati hidat. Hagyományos híd esetén a saját fogak tartják a hiányt áthidaló pótlást.
A jobb oldalon saját fogakon elhorgonyzott hídpótlást kapott a páciens. Az elülső fogakra (frontrégió) az elérhető legmagasabb esztétikájú préskerámia (eMax) szólókoronákat rögzítettünk.
A páciens instruálása
A páciens a kezelések alatt hasznos instrukciókat kapott az újonnan készült pótlások tisztán tartására.
Ez rendkívül fontos része az egész kezelésnek a végeredmény hosszú távú fenntarthatósága szempontjából. Hiába újul meg a fogsor, ha a helytelen fogápolás miatt az új pótlások körül vagy (fogászati hidakról lévén szó) alatt újraképződik a dentális plakk, amely hosszú távon újbóli fogkőképződést vagy fogszuvasodást okoz, ezáltal ínygyulladáshoz (a fogaknál és az implantátumoknál), illetve a hidak pillérjeként szolgáló fogak romlásához vezet.
A fogászati híd tisztítása nem ördöngösség, és a kezelőorvos, illetve a dentálhigiénikus is készséggel megmutatja a szükséges eszközöket és azok használatát. Az a pár perc, amit a fogászati hidak tisztítására szán minden egyes nap, szépen megtérül a pótlás tartós használatában.
Ha nem biztos benne, hogyan kell tisztán tartani a fogászati hidat, konzultáljon kezelőorvosával vagy dentálhigiénikusával!
Fogászati kontrollok
A fogászati kezelések rendkívül fontos része az utánkövetés, vagyis a fogászati ellenőrzések. Páciensünk rendszeresen (félévente!) jár fogorvosi kontrollra és professzionális dentálhigiénés kezelésre.
A megbeszélt és elsajátított fogmosási módszereket alkalmazva a kezelések végeredményeként kapott pótlásai hosszú távon esztétikailag és funkcionálisan is kifogástalanok, páciensünk legnagyobb örömére és megelégedettségére.



