A mikroszkópos gyökérkezelés újabb diadala
A fogmegtartó kezelések lényege
Mint minden orvosi beavatkozásnak, sajnos a gyökérkezelésnek is lehetnek olyan szövődményei, melyek veszélyeztetik egy-egy fog megtartását, holott a kezelést éppen azért kezdi meg minden orvos, hogy az adott fogat megmentse. Egy jól sikerült esetben ezzel nemcsak a foghúzás kellemetlen procedúrájától kíméljük meg a pácienst, hanem a foghiány pótlását célzó későbbi beavatkozásoktól is.
Ez egyben válasz arra a gyakori kérdésre, hogy érdemes-e belevágni a gyökérkezelésbe. Ha arra gondolunk, hogy az eltávolított fogat bizony pótolni is kell, akkor az átélt procedúra kellemetlenségeit, idejét és az anyagiakat is tekintve jobb a fogmegtartó kezelés mellett dönteni, mint a foghúzás mellett.
Néha a kezelés nem bonyodalommentes
Időnként sajnos előfordul, hogy a legjobb szándék ellenére probléma merül fel kezelés közben. Az alábbi esetleírásban egy ilyen bonyodalmat és egy fog megmentését szeretnénk bemutatni.
A hagyományos gyökérkezelés egyik hátulütője: a bent rekedt fragmentumok
Fiatal páciensünk azzal kereste fel a mikroszkópos gyökérkezelés szakértőjét, dr. Kovács Kittit, hogy egy megkezdett gyökérkezelését nem tudják befejezni, mert sajnos a foggyökércsatornába beletört egy gyökérkezelő eszköz. Ez az effajta beavatkozások egyik ritka velejárója: nem számít műhibának, a legnagyobb gondosság mellett is előfordul.
A hölgy örömmel hallotta, hogy hála a mikroszkópos endodonciának, jó eséllyel orvosolható a problémája: így a bajba került fogat meg lehet menteni a kihúzástól. Az érintett jobb felső ötös fogról a páciens már egy kis fogfelvétellel érkezett (lásd fentebb).
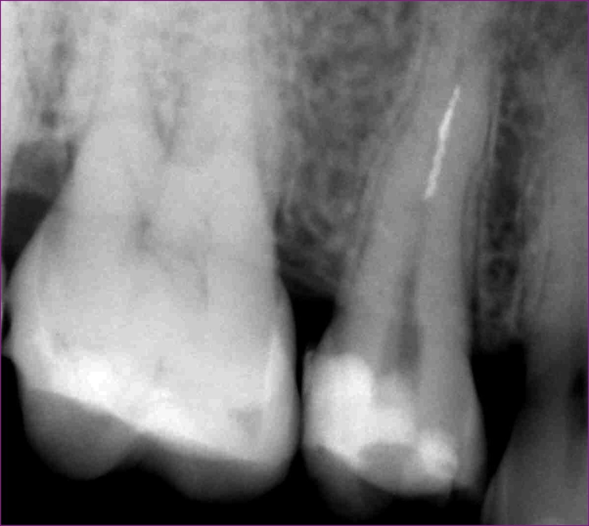
Egy nem szokványos foggyökércsatorna
A gyökérkezelés menetében az első lépés a diagnózis, amely többek között az érintett fog(ak)ról készített röntgenfelvételen alapul. A röntgen megtekintésekor szakértőnknek feltűnt, hogy valószínűleg nem egy, hanem két betört fragmentumról van szó. Ezek a fogak gyakran két csatornával rendelkeznek, illetve ebben az esetben egy érdekes variációval: a két csatornának közös vége van. Ilyenkor az egymás felé ívelő gyökércsatornák meglehetősen görbék lehetnek – tipikus helyei a tűtöréseknek.
A röntgenfelvétel igazolta a gyanút
Először a szájpadlás felőli gyökércsatornában tártuk fel a tűt. Óvatosan, a megfelelő technikát alkalmazva sikerült eltávolítani a nagyjából 4 mm-es darabot. Ilyenkor készítünk egy kontrollröntgent, hogy lássuk, valóban nem maradt bent semmi az eltávolított tűből. Ekkor vált biztossá dr. Kovács Kitti gyanúja: van még egy műszer a fogban.
Mindkét fragmentumot sikerült eltávolítani
Mivel az eddig kezelt csatornában gond nélkül végig lehetett haladni, egyértelmű volt, hogy a másik darabka a másik csatornában található. Kis kutakodás után ezt is sikeresen megtaláltuk, és eltávolítottuk. igazolásképpen készült egy újabb kontrollröntgen.
Az eddig leírt kezelések összesen két alkalmat vettek igénybe, hiszen ez egy időigényes, precíz beavatkozás, hogy a lehető legtöbb saját foganyagot tartsuk meg kezelés közben. A modern fogászati eljárások ún. minimál invazívak, ami azt jelenti, hogy igyekszünk minél kevésbé megterhelni a szervezetet, és csak annyi foganyagot távolítunk el, amennyit feltétlenül szükséges.
A gyökérkezelés menetében az átöblítések voltak soron
A következő alkalommal alaposan átfertőtlenítettük a csatornákat. Itt már láttuk is, hogy tényleg közös utolsó szakasszal rendelkeznek.
Protokoll szerint ismét röntgenfelvétel következett, mellyel ellenőriztük a kiválasztott későbbi gyökértömő pálcika méretét.
A végleges gyökértömés
Kis korrekció, és egy ismételt fertőtlenítési protokoll után pedig elkészítettük a gyökértömést. A kezelés még egy alkalmat vett igénybe, az ún. üvegszálas csapos megerősítést ekkor helyeztük a fogba. Ez nem kötelező lépés a gyökérkezelések menetében, ám ezúttal volt szükség rá. A csapos megerősítés ugyanis egyfajta belső merevítésül szolgál, védi a maradék foganyagot a későbbi törésektől, illetve viseli a koronát, ami pár hét után készül majd a fogra.
A gyökértömést követően páciensünk szinte teljesen tünetmentes volt. A gyökérkezelések után megszokott, pici érzékenységen kívül fájdalmai, panaszai nem voltak. Végtelenül örült annak, hogy elkerülhette a foghúzást, és megkönnyebbült, mert a mikroszkópos gyökérkezelés egyáltalán nem bizonyult félelmetesnek. Sőt, bevallotta, hogy a fekvő helyzetben végzett kezelések során mindig kellemesen ellazult, már-már elszundikált!
Izgatottan várjuk az első, 3 hónap múlva esedékes kontroll időpontját, ahol majd láthatjuk a gyökércsúcson elhelyezkedő gyulladás gyógyulását is.




