Ha fogkövet észlel fogain, forduljon fogorvoshoz!
Mi a fogkő, és miért érdemes minél hamarabb megszabadulnia tőle?
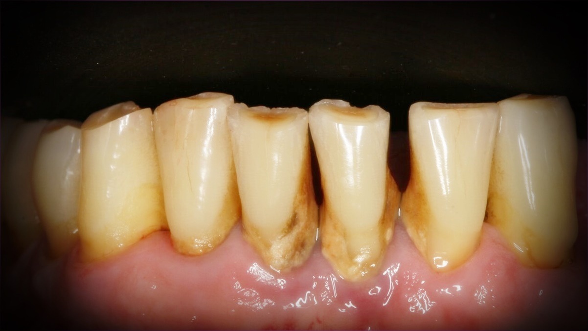
A fogkő elmeszesedett lepedék (plakk), amelyben előszeretettel telepednek le a különféle kórokozók, többek között a fogszuvasodásért felelős baktériumok. A fogkő okolható az ínygyulladások zöméért is, valamint a kellemetlen szájszagért. Nem beszélve arról, hogy a barnás vagy sárgás színű fogkő egyszerűen csúnya.
Miért kell szakemberhez fordulnia?
Míg a lepedéket könnyedén el tudja távolítani a fogairól – tulajdonképpen a fogmosás épp ezt a célt szolgálja –, addig a fogkövet már csak szakember tudja eltávolítani. A szakember ez esetben nem is a fogorvost jelenti, hanem a dentálhigiénikust. Ez azonban ne zavarja meg Önt: ha az időpontkérésnél jelzi, hogy fogkő-eltávolítást szeretne, munkatársaink automatikusan egy dentálhigiénikus szakkollégához fogják irányítani.
Kérjük, ne próbálkozzon otthoni módszerekkel – ezek többsége igencsak nagy kárt tud okozni a fogzománcban vagy károsíthatják az ínyt!
