Harc a fogkő ellen
3 rossz stratégia a fogkő ellen
- „Fogkő elleni fogkrémet használok, tehát nálam nem okozhat problémát a fogkő” – mondja egyik páciensünk.
- „Én mindennap legalább 1 percig forgatom a számban a szájvizet, nálam nem alakulhat ki fogkő” – érvel egy másik páciens.
- „Ha fogkövet látnék a fogamon, azonnal leszedném” – hangzik egy harmadik páciens szájából.
Mindhárom stratégia helytelen, ám ezekben a vélekedésekben van egy közös vonás, ami mindenképpen dicsérendő. Ezek az emberek ugyanis tudják, hogy a fogkő ártalmas jelenség, és szeretnének tenni valamit ellene.
Ám sajnos nem úgy, ahogy célravezető lenne.
Dentálhigiénikus szakértőnk, Deák Annamária elmondja Önnek, miért és hogyan érdemes felvenni a harcot a fogkő ellen.
Miért kell küzdenünk a fogkő ellen?
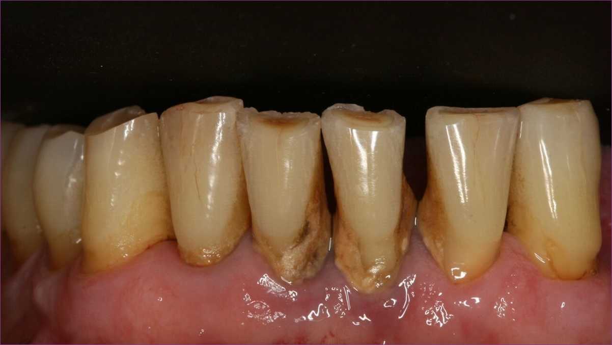
A fogkő elmeszesedett lepedék, amely melegágya a kórokozóknak, többek között a fogszuvasodásért vagy az ínygyulladásért felelős baktériumoknak. Ráadásul a kellemetlen lehelet forrása is. Ha nem vesz tudomást a fogkőről, előbb vagy utóbb valamilyen fogászati problémával kell szembenéznie.
Végül, a sárgásbarna vagy feketés színű fogkő sokszor igen csúnya is, ápolatlan benyomást kelt.
Miért nem jók a felsorolt stratégiák?
1, A fogkő elleni készítmények nem túl hatásosak. Ha csak rájuk hagyatkozik, az legtöbbször nem elég a fogkőképződés megakadályozására.
2, A szájvizes öblögetés nem ér fel egy mechanikai hatással, ráadásul a fogközökből csak kismértékben tudja eltávolítani a lepedéket.
3, Ha már kialakult a fogkő, otthoni módszerekkel nem lehet biztonsággal eltávolítani.
Mi a jó stratégia?
A fogkő, mint már említettem, a lepedékből alakul ki. Ezért arra kell törekednünk, hogy minél gyorsabban és minél hatékonyabban eltávolítsuk a fogainkról a lepedéket. Étkezések után akár 20 perccel már megindulhat a lepedékképződés, úgyhogy nem érdemes sokáig várnia! Evés-ivás után körülbelül fél órával mosson fogat, mégpedig alaposan és helyes technikával! A fogközökről se feledkezzen el. Ha szereti a szájvizet, öblögessen a szertartás végén szájvízzel, de ne vigye túlzásba! Mi, dentálhigiénikusok azt szoktuk tanácsolni, hogy bőven elegendő hetente egyszer-kétszer szájvizet használni.
Ha pedig már kialakult a fogkő, ne halogassa sokáig a rendelő felkeresését!
Az otthoni módszerek sokszor károsíthatják a fogakat és az ínyt, nem érdemes kísérletezni. Több kárt okozhat vele, mint hasznot. Dentálhigiénikus csapatunk ezzel szemben fájdalommentesen, gyorsan és szakszerűen megszabadítja a fogkőtől, és közben egy-két hasznos tippet is adunk Önnek, hogy késleltetni tudja a fogkő újbóli megjelenését.


