Ínyrecesszió kezelése kötőszövet-átültetéssel
A fogíny visszahúzódása
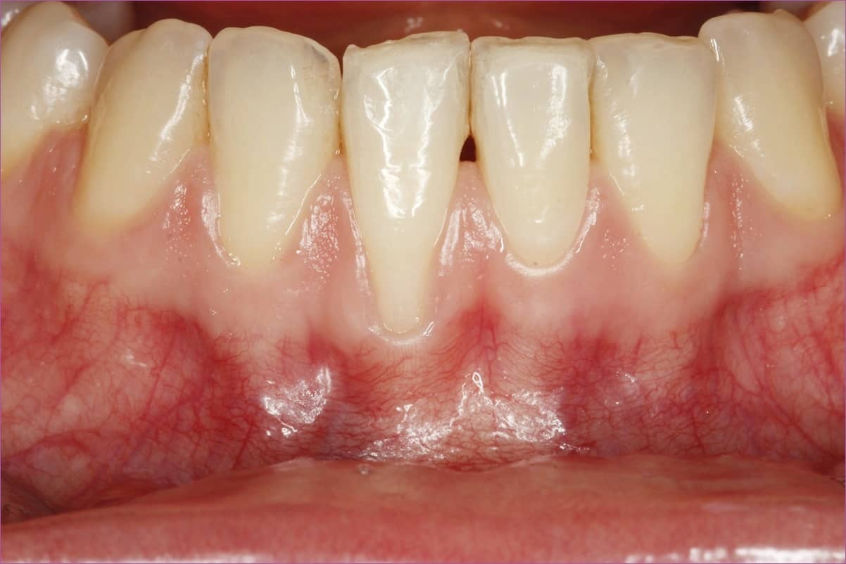
A fiatal hölgy azzal a panasszal érkezett dr. Orbán Kristóf parodontológuhoz, hogy a jobb alsó első metszőfogáról az íny visszahúzódott, a fog fogmosásnál, valamint hidegre-melegre érzékeny. Szájvizsgálat és radiológiai vizsgálat alapján a diagnózisa jobb alsó első kismetsző fognál Miller III. osztályba tartozó ínyrecesszió.
Hogyan lehet kezelni a lehúzódott fogínyt?
Ennél az esetnél például lehetőség van a visszahúzódott fogíny pótlására műtéti úton (ínyplasztika), habár nem garantálható 100%-os fedés, mint a Miller I-es és II-es ínyrecesszió esetén.
Az első lépések
A terápia első lépése a dentálhigiénés kezelés volt, méghozzá több alkalommal is, egybekötve szájhigiénés instruálással, motiválással. A lehúzódott fogíny sikeres kezelésére ugyanis csak teljesen gyulladásmentes szöveti környezet, valamint tökéletes szájhigiéné esetén lehet számítani. Ellenkező esetben a műtét sikertelen lesz, az átültetett kötőszövet elhal.
A műtét leírása
Amint sikerült elérni a gyulladásmentes állapotot, lehetőségünk volt megtervezni a műtétet. Az ínyrecesszió kezelésére ez esetben a szájpadlásból kivett íny átültetését javasoltuk, ugyanis a saját kötőszövet hosszú távon kiszámíthatóbb eredményt ad, mint különböző, legtöbbször állati eredetű ínypótló anyagok.
A műtét az Uniklinik fogászat kitűnően felszerelt műtőjében zajlott.
A beavatkozás helyi érzéstelenítésben történt, és nagyjából másfél órát vett igénybe. Az érzéstelenítés után a lehúzódott íny kezelése érdekében az ínyt speciális műszerekkel leválasztottuk és elemeltük a fognyakról, vagyis egy úgynevezett zsebet képeztünk. Ezt követően eltávolítottuk a szájpadlásból a kötőszövetet. A kivett kötőszövet helyére kollagénszivacsot helyeztünk, és a szivacsot varratokkal rögzítettük a zavartalan sebgyógyulás érdekében. A kötőszövetet ezután behelyeztük az ínyvisszahúzódáson átesett fog körüli íny alá, az előzetesen képzett zsebbe, majd varratokkal rögzítettük az ínyt a kívánt pozícióba.
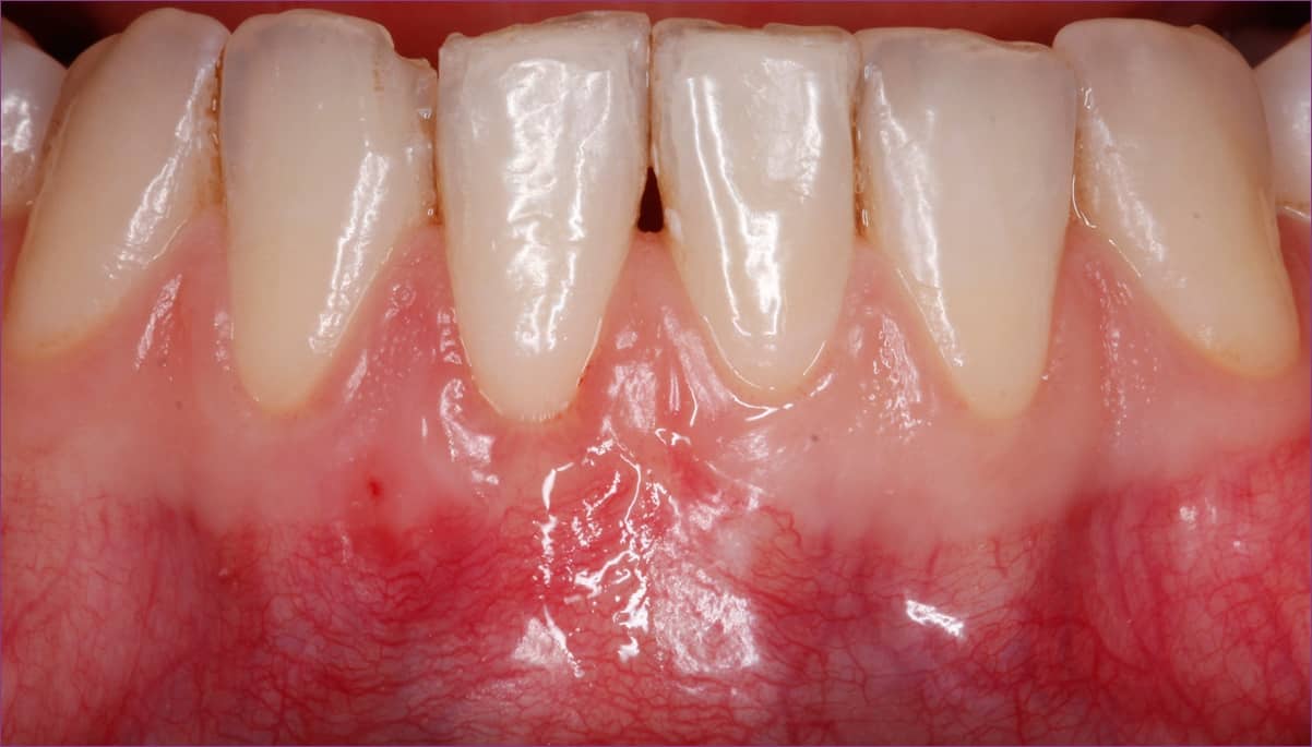
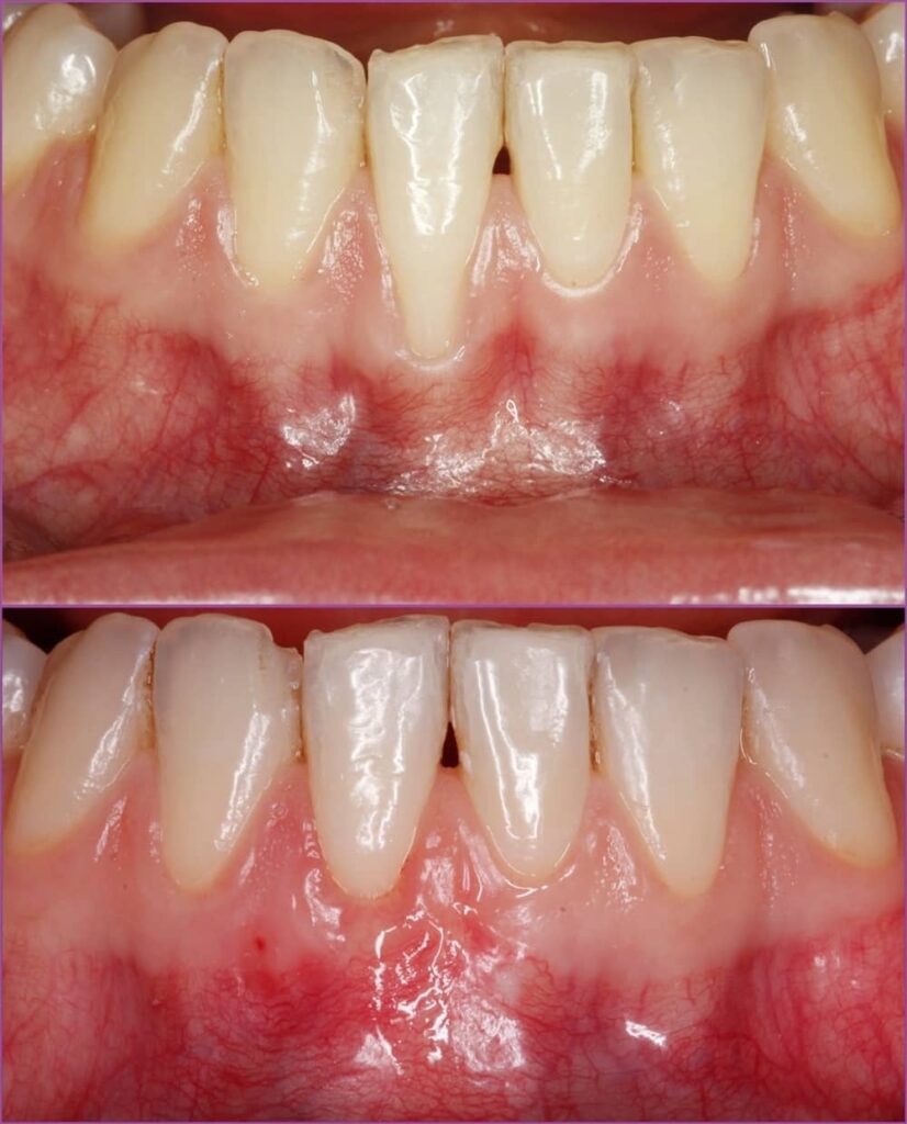
Az ínyrecesszió műtéti kezelése utáni gyógyulás
A műtéti beavatkozás után a gyógyulás eseménytelenül zajlott. A varratokat 2 héttel műtét után lehet eltávolítani, ez alatt az idő alatt a pácienst 3 alkalommal hívtuk vissza kontrollra.
A műtét sikerességét az első 2 hét gyógyulási idő nagymértékben befolyásolja, amennyiben ez alatt az idő alatt bármilyen ártalom éri a műtéti területet, az átültetett kötőszövet elhalhat és felszívódhat.
Ezért 2 héten keresztül nem szabad fogat mosni a műtéti területen, valamint tilos harapni-rágni a frontfogakkal. Helyette a hátsó őrlőfogakat kell használni étkezésnél. Kerülni kell az alsó ajak mozgatását, vagyis 2 hétig nem szabad túlzottan artikulálva beszélni.
Páciensünk maximálisan együttműködő volt
Páciensünk nem riadt vissza a nehézségektől, és szigorúan betartotta az instrukciókat.
Így hát nem csoda, hogy sikerült az ínyt közel tökéletes pozícióba visszaépíteni és a fognyaki érzékenység is nagymértékben javult. A hölgy rendkívül elégedett volt az elért eredménnyel.



