Gyermek-fogszabályozás 9 éves kortól

 gyermek fogszabályozás 9 éves kortól

Gyermek-fogszabályozás 9 éves kortól


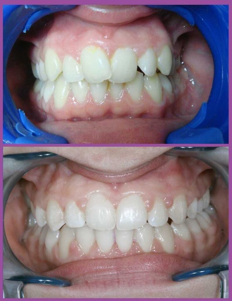
Mivel keresett meg bennünket a páciens?

A páciens 9 éves korában kereste fel rendelőnket a szüleivel együtt.  

Diagnózis és javasolt kezelés

A klinikai vizsgálat és a lenyomatok elemzése felsőállcsont-szűkületet és keresztharapást (22 fog) mutattak.   

Hogyan zajlott a beavatkozás?

Az előkezelést egy Trainer típusú szilikon sín hordásával kezdtük az állcsont növekedésének stimulálásához, illetve a helyes állcsontviszonyok megteremtéséhez, továbbá a metszőfogak helyes tengelyének a korrekciójához. 

Kis páciensünk 10,5 évesen megkapta a metszőfogakra, később a többi fogra is a rögzített készüléket. Később intermaxilláris gumikat használt a megfelelő állcsonthelyzet és harapási helyzet eléréséhez. Az elért eredményeinek köszönhetően már a logopédiai kezelés is hatékonyabban célt ért, így megszüntethető volt a nyelvlökéses nyelés.

Nekem sosem volt bajom a fogorvoshoz járással, vagy ilyesmi, mert mindig azt mondták szép a fogam, nem kell semmit csinálni vele. Ennek ellenére az alsó fogsoromra szerttem volna fogszabályzót, amit dr. Opyakin Viktor csinált meg, kezelt nagyon szakszerűen és kedvesen végzett el.

Anna (33)

Dr. Opyakin Viktor rendbe tette a kusza fogsorom, és bátran lehetett tőle kérdezni, segítőkész és kedves volt mindig.

Jázmin (28)

Évek óta az Uniklinikhez járok, minden fogtömésemet/gyökérkezelésemet náluk csináltattam, és a napokban szedték le a porcelán fogszabályzómat (dr. Opyakin Viktor). Alig látszódott, és másfél év alatt teljesen kiegyenesedett a fogsorom. Az egész személyzet kivétel nélkül nagyon kedves, udvarias és professzionális.

Lilla (25)

Kapcsolódó cikkek

Fogszabályozás egymásra csúszott metszőfogak miatt

Fogszabályozás egymásra csúszott metszőfogak miatt

Elolvasom
Dr opyakin viktor 2022

Egy jó hír a fogszabályozást fontolgatóknak

Elolvasom
Dr suszták adrienn

Minden, amit tudni szeretne a fogszabályozásról

Elolvasom