Állkapocsfájdalom ellen: tünetek, megoldások
Az állkapocsfájdalom gyakori panasz, amelynek hátterében különféle fogászati, ízületi, izomeredetű vagy fertőzéses okok állhatnak. A fájdalom lehet állandó vagy visszatérő, tompa vagy éles, és gyakran kisugárzik a fül, a nyak, a fej vagy az arc más területeire. A kiváltó tényezők az egyszerű izomfeszüléstől az állkapocsízületi gyulladáson és a bölcsességfogak előtörésén át a foghúzás utáni szövődményekig terjedhetnek. A pontos okok feltárása elengedhetetlen a hatékony kezeléshez.
Az állkapocsfájdalom okai és tünetei
1. Állkapocsízületi problémák
Az állkapocsízület (temporomandibularis ízület) gyulladása vagy funkciózavara az egyik leggyakoribb oka az állkapocsfájdalomnak. A probléma eredhet:
- Ízületi kopásból vagy gyulladásból (pl. artritisz)
- Az ízületi korong elmozdulásából
- Túlterhelésből – például fogcsikorgatás (bruxizmus) miatt
Jellemző tünetek:
- Állkapocsfájdalom rágáskor
- Fájdalom a fül előtti területen
- Kattogás, recsegés az állkapocs mozgatásakor
- Nehezített vagy korlátozott szájnyitás, szájzár
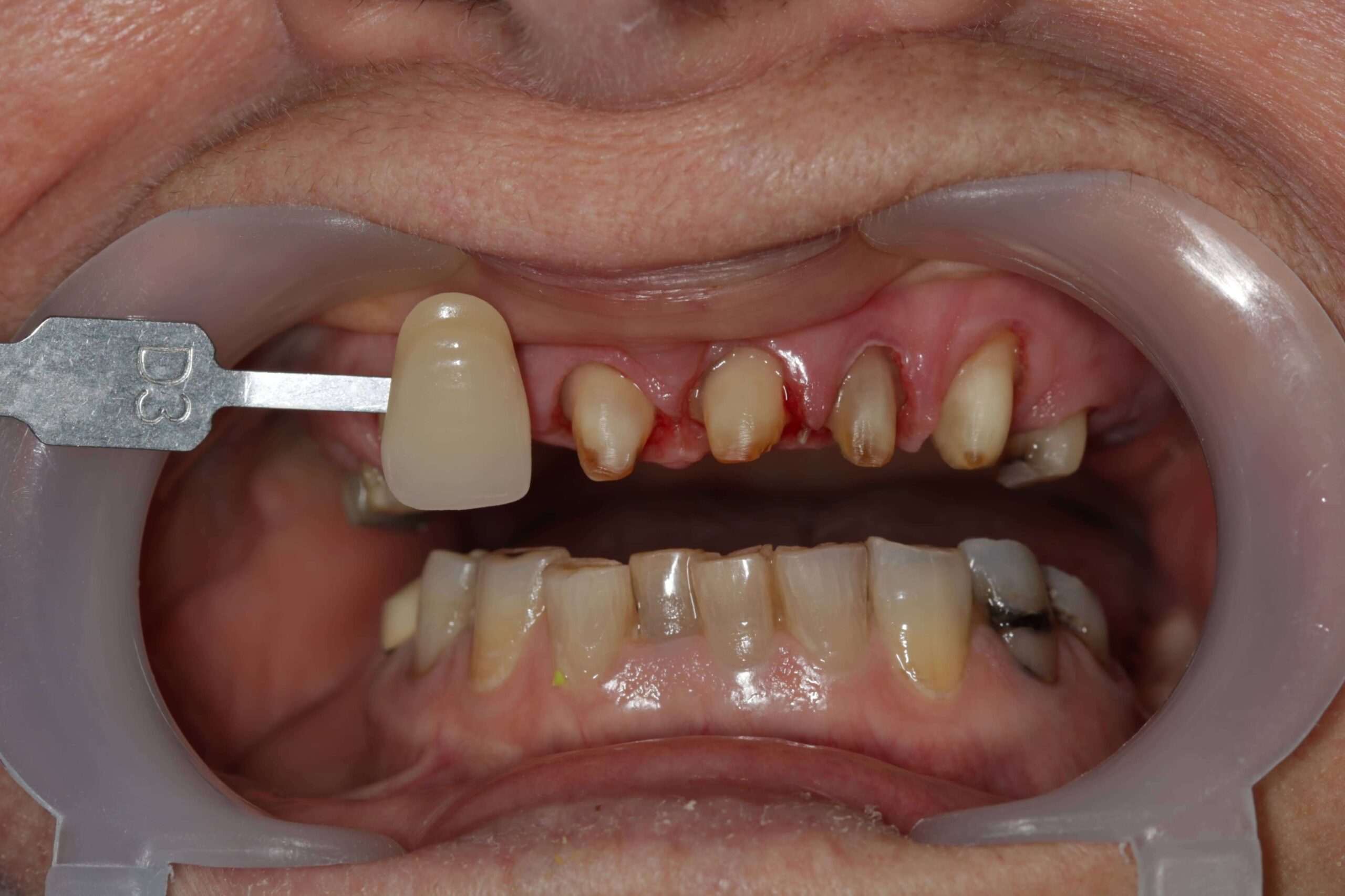
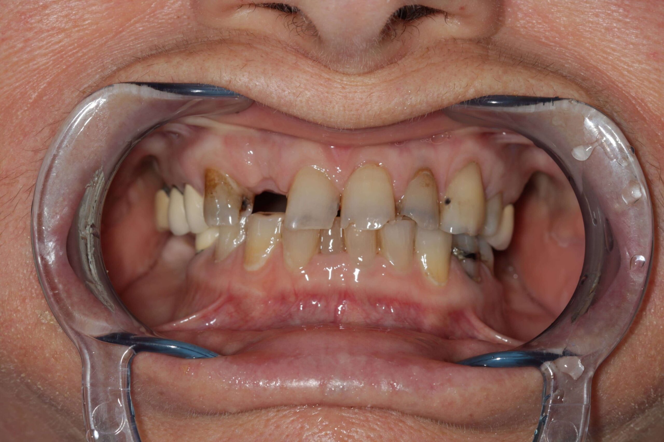
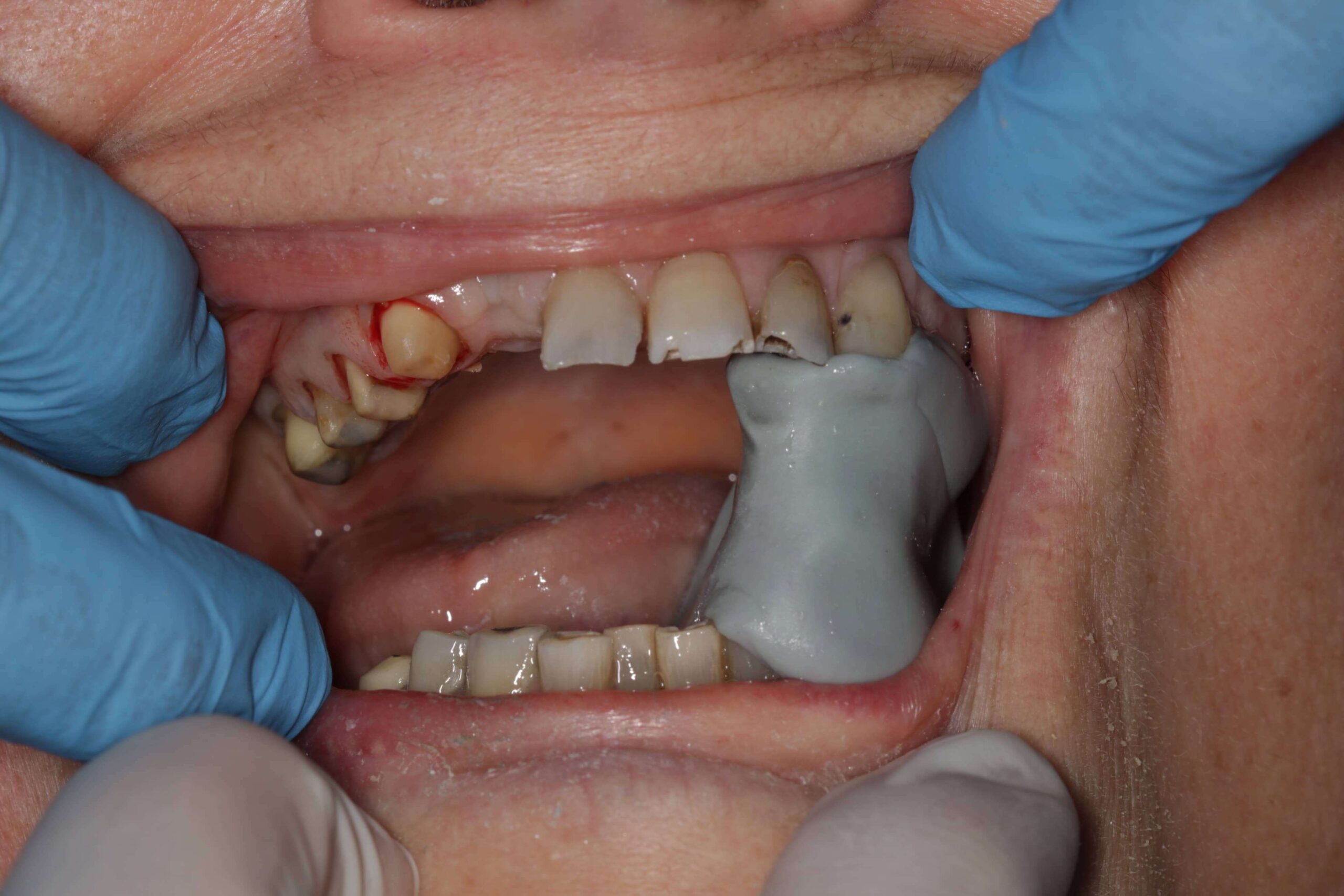
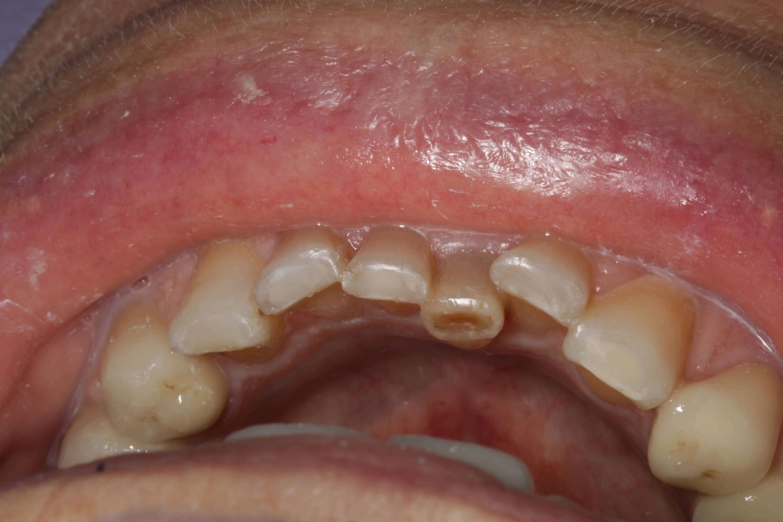
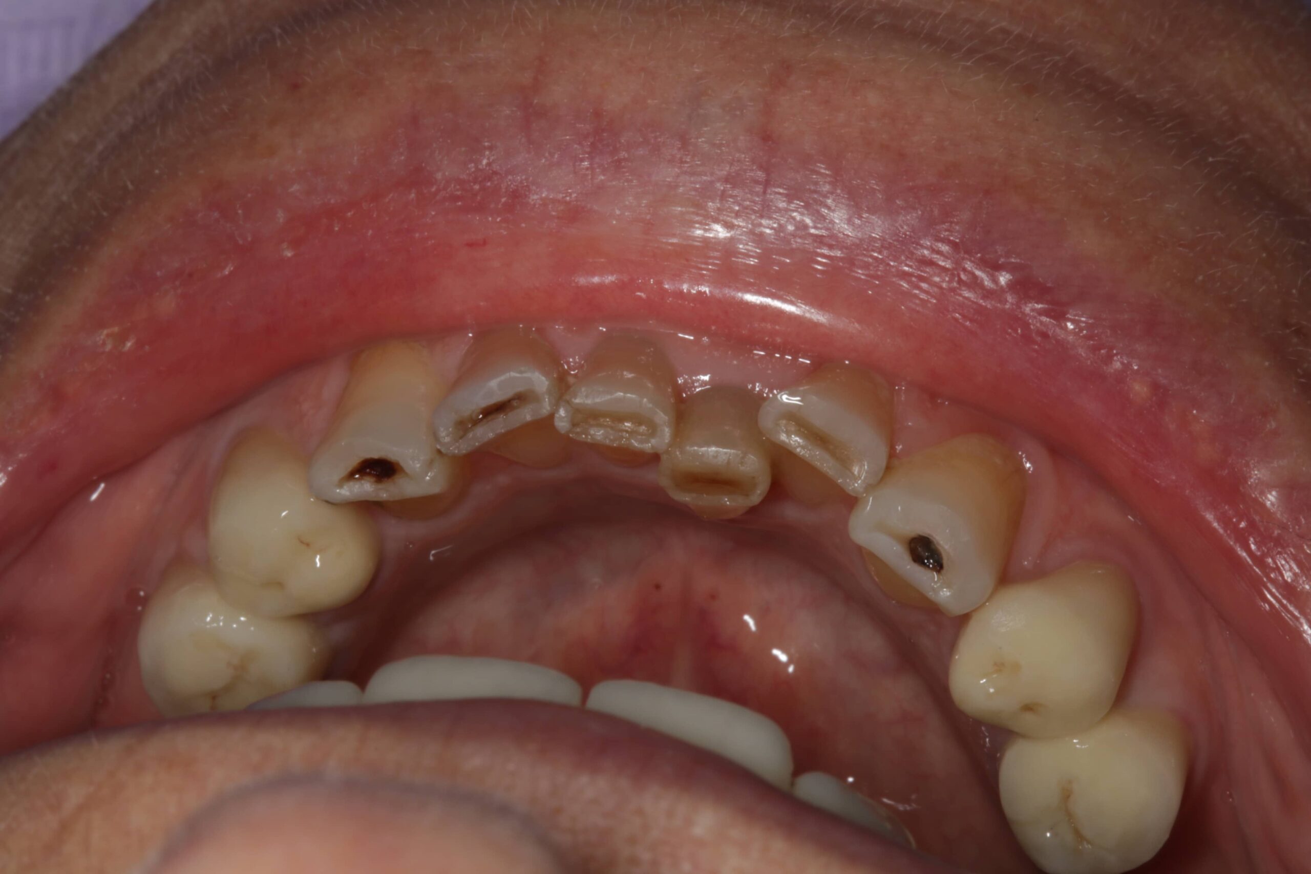
2. Fogászati eredetű fájdalmak
A fogak és az állkapocs közeli kapcsolatban állnak egymással, így számos fogászati probléma válthat ki állkapocsfájdalmat:
- Fogfájás: például gyökércsatorna-gyulladás vagy tályog
- Foghúzás utáni szövődmények: gyulladás, fertőzés, száraz fogmeder
- Bölcsességfog: különösen az előtörés során vagy a ferdén nőtt bölcsességfogak nyomása esetén alakulhat ki állkapocscsont fájdalom
- Nem megfelelően kialakított fogpótlások: rosszul illeszkedő koronák, hidak vagy kivehető pótlások hosszú távon megváltoztathatják a harapási viszonyokat, túlterhelhetik az állkapocsízületet, és funkcionális egyensúlyzavart idézhetnek elő. Ez gyakran vezet feszüléshez, rágás közbeni fájdalomhoz vagy ízületi kattogáshoz.
3. Gyulladásos és fertőzéses állapotok
- Állkapocsgyulladás vagy alsó állcsontgyulladás (osteomyelitis): bakteriális fertőzés, amely csontfájdalmat, duzzanatot és akár lázat is okozhat
- Nyirokcsomó-gyulladás: gyakran megfázás vagy fogászati fertőzés kapcsán jelentkezik állkapocs alatti fájdalom formájában
- Arcüreg- és fülgyulladás, megfázás, COVID-19: ezek az állapotok gyakran kisugárzó fájdalmat okoznak az állkapocsban
4. Izomfeszülés és funkcionális zavarok
- Bruxizmus (fogcsikorgatás): éjszakai vagy nappali fogszorítás túlterheli a rágóizmokat
- Állkapocsizom-fájdalom: izomfeszülés következménye lehet stressz, helytelen testtartás vagy egyoldalú rágás miatt
- Myofascialis fájdalom szindróma: izomcsomók és fájdalmas triggerpontok jelenléte az arc és nyak izmaiban
Az állkapocs működésének vizsgálatával külön tudományterület foglalkozik: ezt nevezzük gnatológiának. A gnatológia a rágószerv működésének és zavarainak – így az állkapocsfájdalomnak, ízületi kattogásnak, fogcsikorgatásnak vagy harapási eltéréseknek – komplex vizsgálataira specializálódott. A gnatológiai szemlélet a fogászati diagnosztikában egyre nagyobb szerepet kap, mivel nem csupán a fogak állapotát, hanem a rágóizmok, az állkapocsízület és az okklúzió (harapási viszonyok) összhangját is vizsgálja.
Ennek segítségével pontosabban feltérképezhetők azok az ok-okozati összefüggések, amelyek a fogazat, az állkapocsízület és az izmok közötti diszharmóniából eredő panaszokat – például a feszülő, kisugárzó állkapocsfájdalmat rágáskor vagy a fülnél jelentkező nyomást – okozzák.
Az állkapocsfájdalom kezelése
Az állkapocsfájdalom kezelése mindig az okok pontos meghatározásán alapul. Egyes esetekben elegendő lehet az otthoni tehermentesítés, máskor fogászati, gnatológiai vagy szájsebészeti beavatkozás válik szükségessé.
Fogászati kezelés
- Fogtályog, szuvas fog, gyulladás vagy foghúzás utáni komplikáció esetén antibiotikumos kezelés, gyökérkezelés vagy sebészi beavatkozás lehet szükséges
- Bölcsességfog okozta fájdalom esetén gyakran javasolt az érintett fog eltávolítása
Gyulladáscsökkentő kezelés
- A nem-szteroid gyulladáscsökkentők (NSAID-ok), például az ibuprofen vagy a naproxen hatékonyan enyhíthetik az állkapocsízületi gyulladást
- Súlyosabb vagy elhúzódó esetekben reumatológiai kivizsgálás és célzott gyógyszeres kezelés válhat szükségessé
Fizikoterápia, manuálterápia
- A rágóizmok lazítása, triggerpont masszázs
- Állkapocs ízületi torna, amely segíti a normál mozgástartomány visszaállítását
- Tartáshibák korrigálása (pl. előrehelyezett fejtartás, hanyag ülés)
Éjszakai harapásemelő sín
- A fogcsikorgatás és az állkapocs túlterhelésének megelőzésére a fogorvos harapásemelő sínt készíthet, amely éjszaka védi az ízületet és a fogakat
Gyakori, hogy az állkapocsfájdalmat nem egyetlen ok, hanem több együttes tényező váltja ki. A gnatológiai vizsgálat ilyenkor segíthet feltárni a harapási eltéréseket, az állkapocs eltolódásainak vagy az ízület túlterhelésének hátterét. A gnatológiai diagnosztika során különféle funkcionális tesztek, rágóizom-analízis, artikulációs vizsgálatok és állkapocsmozgás-elemzés történik, amelynek alapján a kezelési terv sokkal célzottabbá válik.
Állkapocsfájdalom ellen – otthoni megoldások
1. Állkapocstorna és izomerősítés
A célzott állkapocserősítő gyakorlatok segítenek csökkenteni az izomfeszülést és javítják az ízületi működést. Fontos, hogy a gyakorlatokat mindig fájdalommentes tartományban végezze a páciens.
Példák:
- Nyelv szájpadláson tartása közben lassú szájnyitás
- Állkapocs előre és oldalirányú mozgatása ellenállással szemben
- Körkörös állkapocsmozgatás, miközben a vállak lazák maradnak
2. Helyes testtartás és életmódváltás
- Ergonomikus munkakörnyezet
- Rendszeres nyak- és vállnyújtás
- Stresszcsökkentő technikák (relaxáció, meditáció)
3. Borogatás és fájdalomcsillapítás
- Meleg borogatás izomfeszülésre, hideg borogatás gyulladásra
- Rövid távon vény nélkül kapható fájdalomcsillapító is segíthet
Gyakori kérdések és válaszok állkapocsfájdalom esetén
Miért fáj az állkapcsom a fülemnél?
Gyakori oka az állkapocsízületi diszfunkció, de fülgyulladás vagy előtörésben lévő bölcsességfog is kiválthatja.
Mennyi ideig normális az állkapocsfájdalom foghúzás után?
A fájdalom 2-3 napig természetes lehet, de ha 5-7 napon túl fennáll, vagy fokozódik, mindenképpen indokolt a kontrollvizsgálat.
Az állkapocsfájdalmat okozhatja megfázás vagy COVID is?
Igen, különösen, ha a fül, az orrmelléküregek vagy a nyirokcsomók is érintettek. Ilyenkor a fájdalom általában az állkapocs alatti területre sugárzik ki.
Mi az az alsó állcsontgyulladás?
Bakteriális eredetű fertőzés, amely a mandibulát (azaz az állkapocscsontot) érinti. Tünetei közé tartozik a fájdalom, a duzzanat, a láz és az általános rossz közérzet.
Segít az állkapocs ízületi torna kattogó állkapocs esetén?
Rendszeres és helyesen végzett tornával a kattogás és a fájdalom enyhíthető, és a mozgástartomány is javítható.
Segítünk az állkapocsfájdalom ellen!
Az állkapocsfájdalom nem csupán kellemetlen tünet, hanem gyakran valamilyen komolyabb állapot figyelmeztető jele. Legyen szó állkapocs ízületi gyulladásról, fogászati problémáról, fertőzésről vagy izomeredetű feszültségről, a panaszokat nem érdemes elhanyagolni. A szakszerű diagnózis és a célzott kezelés – legyen az fogászati beavatkozás, fizioterápia vagy állkapocstorna – jelentősen javíthatja a páciens életminőségét.
Amennyiben fájdalmat, kattogást, feszülést vagy rágási nehézséget tapasztal, érdemes mihamarabb szakértő segítséget kérni. Az Uniklinik Fogászat és Implantációs Központban tapasztalt szakorvosaink komplex szemlélettel – beleértve a gnatológiai diagnosztikát is – állnak rendelkezésére a kiváltó okok feltárásában és a személyre szabott megoldások kidolgozásában.
Keressen bennünket telefonon, vagy kérjen konzultációt bejelentkezési űrlapunkon, hogy a lehető legjobb és legprofibb kezelést nyújthassuk Önnek.


