Tanuljunk fogorvosul!
A kezelések előtti tájékoztatás kulcsfontosságú
Fogászatunkon alapelv, hogy a páciensek minden kezelés előtt tájékoztatást kapjanak a kezelésről és az azt követő teendőkről, legyen az egy sima fogtömés vagy egy – pláne! – egy komolyabb beavatkozás, például implantáció.
Az információk között azonban fel-felbukkanhatnak kevésbé közismert kifejezések, amelyekkel nem mindenki van tisztában. Tanuljunk hát meg egy kicsit „fogorvosul”, vagyis ismerkedjünk meg néhány fogászati kifejezéssel!
Depurálás
Az ultrahangos fogkő-eltávolítás vagy depurálás az egyik leggyakoribb beavatkozásnak számít. Pácienseinket arra biztatjuk, hogy rendszeresen jelenjenek meg a féléves, éves fogászati ellenőrzéseken akkor is, ha nincs semmilyen fogászati panaszuk. Számos probléma ugyanis alattomosan jelentkezik: a kezdeti időszakban nincsenek kifejezett tünetek, fájdalom nem jelentkezik, elváltozásokat nem lát a páciens. Ám a fogorvos észreveszi a káros folyamatok elindulását, és idejében megállítja őket.
A fogkőképződés még csak nem is tűnik olyan vészes jelenségnek. Ám hiszi vagy sem, a fogászati problémák tekintélyes hányada a fogkőre vezethető vissza! A fogkőben elszaporodó baktériumok okolhatók ugyanis az ínygyulladások és fogszuvasodások zöméért. A fogkő emellett a rossz leheletért is felelős lehet, no és esztétikailag sem ideális.
Fontos tehát, hogy a depurálásra, vagyis a fogkő eltávolítására rendszeresen sor kerüljön.
Endodontus
Az endodontus az endodoncia szakértője. Ez még nem magyarázza meg a kifejezést, ám ha eláruljuk, hogy az endodoncia a fogbél és a foggyökér körüli szövetek megbetegedéseinek megelőzésével és gyógyításával foglalkozik, akkor máris jobban körvonalazódik, milyen szakemberről lehet szó.
Mivel az endodoncia tipikus kezelésfajtája a gyökérkezelés, az endodontus olyan fogorvos, aki a gyökérkezelésekre specializálódott. A gyökérkezeléseket újabban két nagy csoportra lehet osztani: van a hagyományos, szabad szemmel végzett gyökérkezelés, és a mikroszkóppal végzett kezelés (képünk egy ilyen kezelésbe enged bepillantást).
Fogászatunkon több tapasztalt endodontus foglalkozik mikroszkópos gyökérkezelésekkel. A nagyításban végzett beavatkozások olyan sikeresek, hogy sokszor olyankor is képesek meggyógyítani – és ezáltal a kihúzástól megmenteni – az érintett fogat, amelyiken a hagyományos gyökérkezelés nem tudott segíteni.
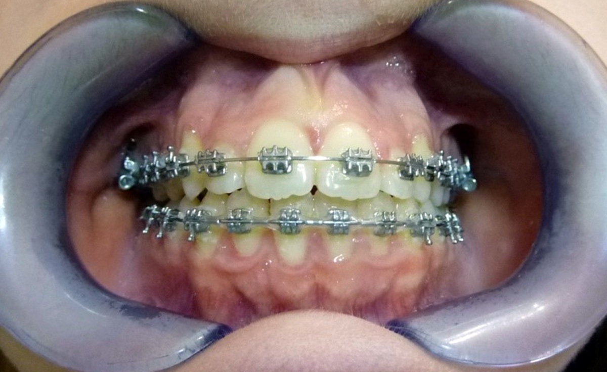
Bracket
A bracketek azok a kis fém-, porcelán vagy műanyag kapcsok, amelyekkel a rögzített készülékek épülnek fel.
Ma már nemcsak a bracketek anyagát választhatjuk meg, hanem a színüket is! A tinik például szívesen döntenek a vidám színek mellett.
Parodontitis
Már a szó hangzásából sejthető, hogy valamilyen kóros folyamatot jelöl. Valóban, a parodontitis a fogágy szöveteinek gyulladásos állapotát jelenti, köznapibb nevén a fogágybetegséget.
Első hallásra nem tűnik végzetes kórnak, ám sokkal veszélyesebb, mint gondolná: a csontszövet pusztulásával járó folyamat eredményeképpen ugyanis a fogak előbb kilazulnak, majd kihullanak – hiszen nincs mi tartsa őket!
A fogágybetegség az esetek zömében egyszerű ínygyulladással kezdődik. Ebben a stádiumban nagyon könnyű védekezni ellene: többnyire egy dentálhigiénés kezelésen, közelebbről depuráláson, avagy fogkő-eltávolításon kell átesnie. A dentálhigiénikus szakember ilyenkor néhány jó tanáccsal is szolgál arról, milyen trükkökkel szüntetheti meg vagy legalábbis lassíthatja le a fogkőképződést. Ha elmulasztja kezeltetni az ínygyulladást, a gyulladásos folyamatok könnyen átterjedhetnek a fogágy szöveteire – és máris kész a baj. A parodontitis kezelése nem egyszerű, és a károsodás gyakran már nem visszafordítható, mint az ínygyulladás esetében.
Vannak olyan kifejezések, szavak, amelyeket gyakran hall a rendelőben, de bizonytalan a jelentésükben? Írja meg nekünk, és szíves-örömest segítünk kibogozni, mi áll a rejtélyes szavak mögött!



