Esettanulmányok

Vissza a többi tanulmányhoz /

Fogfehérítés és fémmentes koronák

Páciensünk egyre elégedetlenebb volt fogai színével. Végül úgy döntött, ideje a tettek mezejére lépnie. A fogfehérítés mellett azt javasoltuk neki, hogy régi koronáit cserélje le, többek között azért, mert a fogpótlások színén utólag már nem lehet igazítani. Így végül új, fémmentes koronákkal is megszépítettük mosolyát.

1

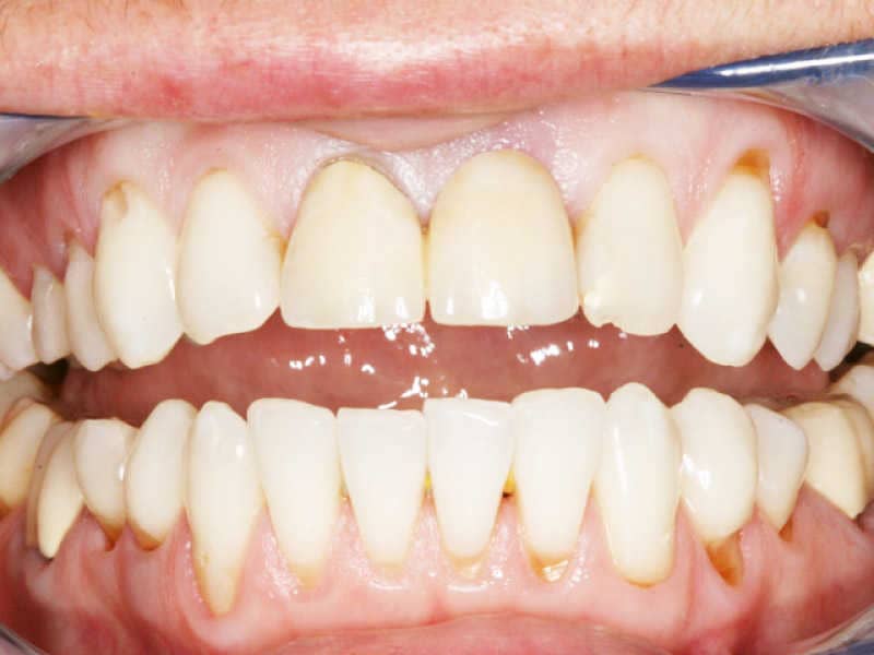
Páciensünk ilyen fogakkal kereste fel klinikánkat, fehérebb és szebb fogakra vágyva.

 páciensünk ilyen fogakkal kereste fel klinikánkat,
2

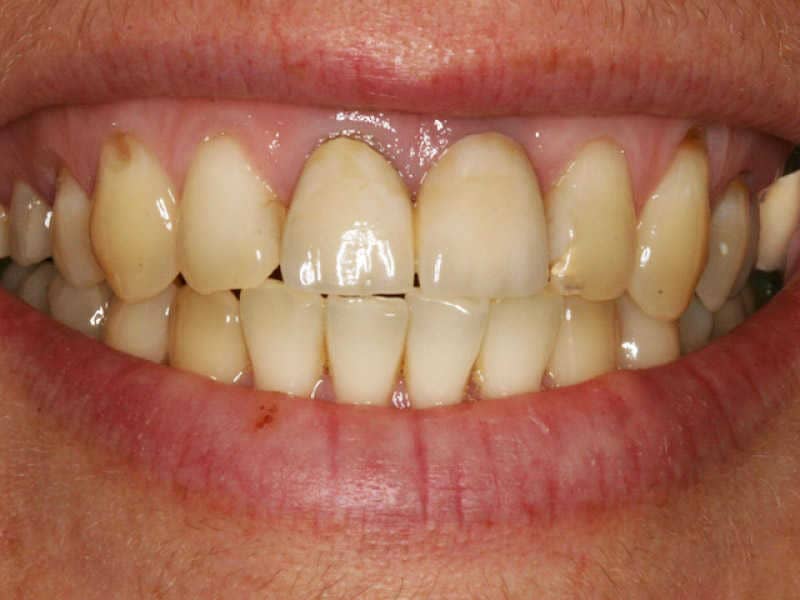
Fogfehérítés után, a régi koronák cseréje előtt

Fogfehérítés után, a régi koronák cseréje előtt
3

Páciensünk új, fehéren ragyogó, megújult mosolya

 páciensünk új, fehéren ragyogó, megújult mosolya