Esettanulmányok

Vissza a többi tanulmányhoz /

Hagyományos fém- és kerámiapótlások cseréje, valamint fogfehérítés

A páciensünk nem igazán esztétikus fogsorának megszépítéséhez a hagyományos fém- és kerámiapótlások cseréjére, valamint fogfehérítésre volt szükség.

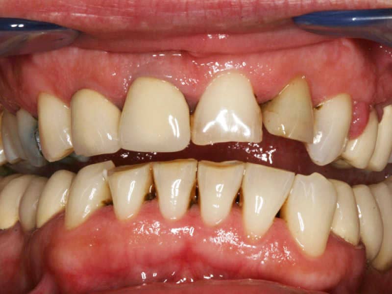
1

Érkezési állapot

érkezési állapot
2

Fogfehérítés utáni, rendelőnkben készült, új, felső, hagyományos fémkerámia pótlás

Fogfehérítés utáni, rendelőnkben készült, új, felső, hagyományos fémkerámia pótlás