Megelőzés

Megelőzés

A hidegre való érzékenység A hidegre való érzékenység

Már attól is megsajdul a foga, ha ránéz egy finom jeges italra vagy nyalánkságra? A fogérzékenység kellemetlen…

Megelőzés

Miért fontos a fogköztisztítás?  miért fontos a fogköztisztítás?

Sokan csak kiegészítő műveletként gondolnak a fogköztisztításra, amelyet elég hetente egyszer-kétszer vagy még ritkábban végezni. Milyen gyakran…

Megelőzés

Az utazó fogkeféről  utazó fogkefe

Utazni élvezet! A bepakolás ugyan már nem szokott ekkora örömet szerezni, de ezt az áldozatot azért mindenki…

Megelőzés

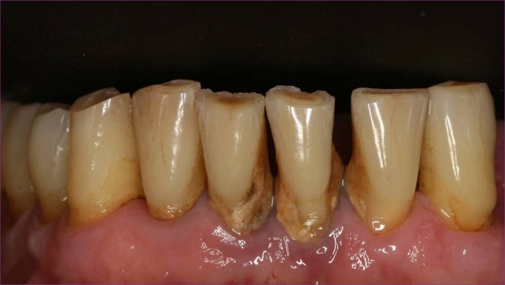
A fogkő ártalmai A fogkő ártalmai

Sokan nem érzékelik nagy problémának, ha fogkő jelenik meg a fogukon.  „Nem túl szép, de majd erősebben…

Megelőzés

Az ínyzuhanyról  inyzuhany

Mire jó az ínyzuhany? Ezt az eszközt alapvetően két okból érdemes használni. 1. A lepedék eltávolítása  Az…

Megelőzés

Mikor ajánlatos naponta szájvizet használni?  soós tünde

Tapasztalt dentálhigiénikusunk, Soós Tünde elmondja Önnek!. Túl gyakran ne használjunk szájvizet! Nemrég beszéltem már arról, hogy miért…

Megelőzés

A szájvizek használatáról  gál beatrix

Gál Beatrix dentálhigiénikusunk felhívja a figyelmet a szájvizek gyakori használatából eredő hátrányokra. A szájvizekben rejlő veszély Mi dentálhigiénikusok…

Megelőzés

A legjobb újévi fogadalmak A legjobb újévi fogadalmak

Fogorvosként természetesen a fogak és az íny egészségért tett fogadalmakat pártoljuk! Ezért mi a legszívesebben az alábbi…

Kiemelt cikkek

Népszerű cikkek