Legfrissebb bejegyzésünk
Tények és tévhitek
Fogfájás csillapítása otthon: tippek és tudnivalók
A fogfájás csillapítása otthon is lehetséges, de messze nem biztos, hogy ez a legcélravezetőbb. Miért is van…
Tények és tévhitek
A csapos fog élettartama
Mikor lehet szükség gyökércsapra, és mit kell tudni ilyen esetekben a fogpótlás menetéről? Blogposztunkban körbejárjuk a csapos…
Tények és tévhitek
Ha a fog még a gyökérkezelés után is fáj, ki kell húzni?
A hagyományos gyökérkezelés sajnos nem mindig olyan hatékony, mint szeretnénk. Ezért időről időre megesik, hogy a kezelés…
Tények és tévhitek
A fognyaki kopás tünetei, kezelése és megelőzése
Mi a fognyaki kopás? A fognyaki kopás egy fogászati probléma. Fontos, hogy ne keverjük össze fognyak szuvasodásával…
Tények és tévhitek
Fogmosás: tippek és tévhitek
Fogaink egészségéért legtöbbet az egészséges táplálkozással és a helyes fogmosással tehetjük. Szinte mindenki mos fogat. Ez egy…
Tények és tévhitek
Kismama fogászat: mire figyeljünk terhesség alatt?
Sok kismama nincs tisztában vele, mennyire fontos a fogorvos terhesség alatt történő rendszeres látogatása. De nem véletlenül…
Tények és tévhitek
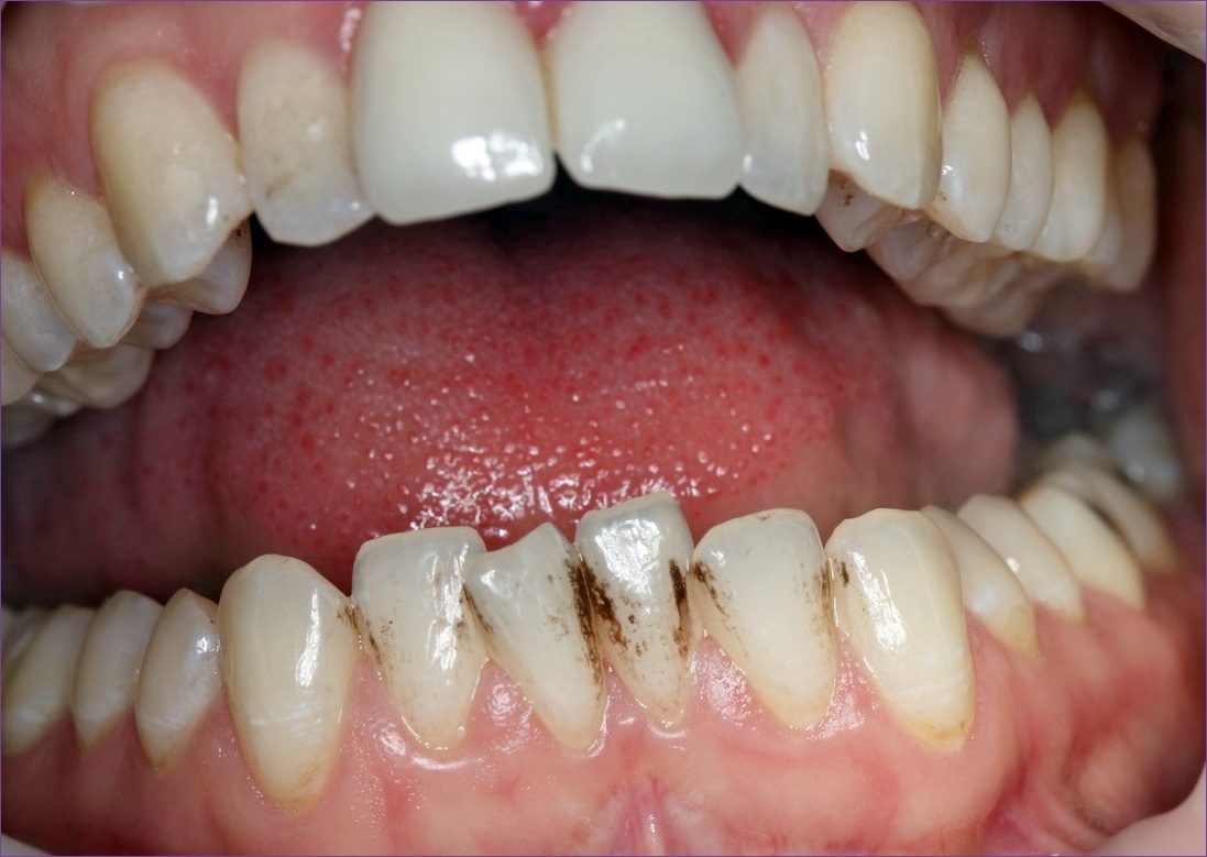
Valóban lehetséges házi módszerekkel eltávolítani a fogkövet?
A látszólag ártalmatlan fogkő olyan, mint az időzített bomba: ha nem távolítjuk el a fogakról, előbb-utóbb ínygyulladást,…
Tények és tévhitek
A páciens kiválaszthatja, hogy milyen típusú fogszabályozó készüléket viseljen?
A: „Fogszabályozásra van szükségem, és szeretném én kiválasztani a készüléket.” B: „Én láthatatlan készüléket szeretnék.” C:…
Kiemelt cikkek
A kezelésekről
Minden, amit a mikroszkópos gyökérkezelésről tudni szeretne
Népszerű cikkek
A kezelésekről
A gyökérkezelés okai, menete és ára