Ínygyulladás, ínyrecesszió, tasakok, fogágybetegség: bepillantás a parodontológiába
A parodontológiai problémák a lakosság 40-70%-át érinthetik. Vagyis könnyen megeshet, hogy Ön is érintett! Ezért mindenképpen érdemes megismerkednie azzal,
- mit takar a parodontológia,
- mi az ínybetegség és fogágybetegség lényege,
- mi okozza őket,
- miért olyan veszélyesek,
- milyen a fogágybetegség tipikus lefolyása,
- hogyan kezelhető az ínygyulladás és a fogágybetegség,
- mi a teendő, ha észleli magán az ínygyulladás és/vagy fogágybetegség tüneteit,
- mik azok az íny melletti tasakok,
- mi az ínyrecesszió, és milyen egy kötőszövet-átültetéssel járó műtét, amellyel sikeresen gyógyítani lehet,
- valamint hogyan előzheti meg a parodontológiai problémákat,
- és mik a leggyakoribb tévhitek ebben a témában.
Kezdjük az elején!
Mi a parodontológia?
A parodontológia a fogágy megbetegedéseivel foglalkozik. Mivel az íny a fogágy része, a fogínygyulladás is a parodontológia tárgya. A másik igen gyakori megbetegedés a fogágybetegség (közismertebb elnevezéssel a fogínysorvadás).
A parodontológiai beavatkozásokat fogmegtartó kezeléseknek nevezzük, mert céljuk a saját fog(ak) megmentése. Sajnos előfordulhat, hogy a károsodás olyan mértékű, hogy az érintett fogakat el kell távolítani, és fogpótlást kell alkalmazni. Ám ha idejekorán fordul szakemberhez, a folyamat bizonyos esetekben visszafordítható, de legalábbis megállítható.
Mi az ínygyulladás és a fogágybetegség közötti összefüggés?
A válasz egyszerű: az ínygyulladás, ha elhanyagoljuk, átterjed a fogágy többi szövetére, és létrejön a fogágybetegség. Mivel ilyenkor a csontszövet is érintve van, egy röntgenfelvételen is megfigyelhető a csontszövet pusztulása, szerkezeti változása.
Mi okozza a fogágybetegséget?
A fogágybetegség (fogágygyulladás) hátterében a fogakon megtapadó lepedék áll. Ez a vékony réteg ugyanis a baktériumok melegágya. A lepedékben lévő baktériumok bizonyos idő elteltével ínygyulladást okozhatnak. Ha nem kezeltetjük a kialakult ínygyulladást, az előbb-utóbb átterjedhet a fogágy többi szövetére is, és létrejön a fogágybetegség.
További rizikófaktor a dohányzás, a cukorbetegség, az okklúzális túlterhelés (pl. fogcsikorgatás).
A megelőzést elsősorban a helyes és rendszeres fogápolás jelenti, illetve a fogászat félévenkénti, évenkénti felkeresése. A rizikófaktorok fennállása esetén a kontrollokat semmiképpen se hanyagolja el!
Hogyan alakul ki a fogágybetegség?
A fogágybetegséget latinul parodontitisnek hívják. A hangzása nagyon hasonlít a parodontológiára – és ez nem véletlen. A parodontológia ugyanis a fogágy megbetegedéseivel foglalkozik, és ezek közül a leggyakoribb az, amelyet nemes egyszerűséggel fogágybetegségnek hívunk.
Ez valójában a fogágy gyulladásos állapotát jelenti, amelyet bizonyos baktériumok okoznak.
Hogyan kerülnek a fogágyba ezek a baktériumok?
Étkezések után a fogakon elkezd egy vékony réteg képződni, amelyet lepedéknek (újabban biofilmnek) hívunk. A lepedéket az ételmaradékoktól kezdve a nyálon át a baktériumokig sok minden alkotja, ezek közül a legveszélyesebbek a baktériumok. Sok fajtájuk hemzseg a lepedékben, egy részük a fogszuvasodásért felelős, mások meg a fogágybetegség elindítói.
Ez utóbbiak jellemzően először az ínyt támadják meg.
Ha fogmosással, fogköztisztítással nem távolítjuk el a lepedéket, a felszaporodó baktériumok „lecsúsznak” az ínybe, a fogak tövéhez. Itt tasakokat képezhetnek, és elkezdik áldatlan tevékenységüket. Az íny gyulladásba jön, majd a gyulladás átterjed a fogágy többi szövetére, jellemzően a csontszövetre.
Íme, máris kialakult a fogágybetegség!
A fogágybetegség lefolyása
A fogágybetegség kialakulása után jellemzően a következő folyamatok indulnak be.
A betegség első fázisában a gyulladás még csak az ínyre korlátozódik (ínygyulladás – gingivitis). Ebben az állapotban a betegség még visszafordítható egy egyszerű, ultrahangos fogkő-eltávolítással.
Kezelés nélkül a betegség átterjed a mélyebb szövetekre, vagyis a fogat körülvevő csontra és gyökérhártyarostokra, melyek lassan pusztulni kezdenek. A fog és íny közötti ínybarázda, mely egészséges állapotban legfeljebb 3 mm, mélyülni kezd, és létrejönnek az íny melletti tasakok.
Az ínytasakok otthoni tisztítása, tisztán tartása lehetetlen feladat, hiszen se fogkefével, se fogselyemmel, vagy fogköztisztító kefével nem lehet az íny alá ilyen mélységbe behatolni. A szájvíz használata sem jelent megoldást, mert nem képes befolyni az íny alatti területekre, illetve nem képes kioldani a fogkövet a tasakokból. Az íny melletti tasakokban egyre több ételmaradék halmozódik fel, mely fokozatosan alakul át fogkővé, így a baktériumok állandóan nagy számban képesek szaporodni a tasakokban.
A fogat körülvevő csont tovább pusztul, a tasakok mélyülnek, ahol még több baktérium szaporodik el. Így kialakul egy fokozatosan romló folyamat, egy ördögi kör, amelynek az a végeredménye, hogy a csont teljesen felszívódik a fogak körül. A fogak elkezdenek mozogni, majd végső állapotban maguktól kiesnek.
A fogágybetegség kezelése
Jó hír, hogy a fogágybetegség megállítható folyamat. A kikezelt, betegségen átesett fogakat akár életünk végéig meg lehet tartani gyulladásmentes állapotban.
Azonban jelenleg még nem tart ott az orvostudomány, hogy a betegséget vissza lehessen fordítani, vagyis az elpusztult csontot, gyökérhártya-rostrendszert, valamint az ínyt vissza lehessen építeni a fogakra. Ezért nagyon fontos a fogágybetegség korai felismerése és kezelése.
Némileg leegyszerűsítve 4 lépésre lehet lebontani a fogágybetegség kezelését. Természetesen nem mindig kerül sor műtétre vagy fogpótlásra, időnként viszont más elemei is lehetnek a beavatkozásnak. Mégis, szeretnénk, ha világos képet kapna arról, hogyan történik a fogágybetegségek kezelése.
A kezelést négy fázisra lehet osztani, amelyek különböző fogszakorvosok bevonását igénylik.
- I. Konzervatív fázis – fogszakorvos: dentálhigiénikus és parodontológus
- II. Sebészi fázis – fogszakorvos: parodontológus
- III. Helyreállító fázis – fogszakorvos: protetikus
- IV. Fenntartó fázis – fogszakorvos: dentálhigiénikus
I. Konzervatív fázis
Ennek a fázisnak az a célja, hogy a fogak körüli gyulladásos folyamatot teljesen megállítsuk. A kezelés első lépése egy hagyományos fogkő-eltávolítás. Ezt dentálhigiénikus végzi.
A fogkőleszedés hatására máris csökken az ínyszél gyulladása, így lehetőség van eltávolítani a tasakokban elhelyezkedő fogkövet és egyéb gyulladást kiváltó faktorokat. Ez utóbbi alatt az íny alatt található fogkövet és ételmaradékokat értjük. Az eljárás neve zárt kürettálás, melyet helyi érzéstelenítésben végzünk.
Amennyiben az összes fog körül van egy mély tasak (4 mm-nél mélyebb), ez legalább két kezelési alkalmat jelent. A baktériumokat sajnos nem lehet pusztán antibiotikum-terápiával kiirtani a tasakokból, mert miután megszűnik az antibiotikum hatása, a tasakokban lévő fogkőben és ételmaradékban ismét elszaporodnának a baktériumok, és a gyulladás azonnal visszatérne.
Továbbá ebben a fázisban kerül sor a pácienssel közösen a megfelelő, hatékony otthoni fogmosás megbeszélése. Ez kulcsfontosságú lépés, mert ha otthon nem sikerül tisztán tartani a rendelőben kitisztított íny alatti területeket, a kezelés nem lesz hatékony, és a gyulladás visszatér.
A zárt kürettálást követően minimum 6-8 hétnek kell eltelnie, hogy a fogágy szövetei gyulladásmentes állapotba kerüljenek. A zárt kürettálás során az íny 1-2 mm-t visszább húzódik, valamint a tasak mélyén a rostok visszatapadnak a fog felszínére, így megfelelő szájhigiéné mellett nagyjából 3 mm-t zsugorodnak a tasakok, melyről parodontális státuszfelvétellel bizonyosodunk meg.
II. Sebészi fázis
Amennyiben kiinduláskor nagyon mélyek voltak az íny melletti tasakok, és a konzervatív fázist követő 6-8 hetes gyógyulás leteltével maradtak még mély, szaknyelven reziduális tasakok a fogak körül, akkor a tasakokat műtéti úton kell megszüntetni. Ha ezt nem tesszük meg, akkor az ételmaradványok lassan felhalmozódnak a tasakokban (melyek a kezelésnek köszönhetően gyulladásmentes állapotban vannak), és a baktériumok ismét elszaporodnak, a gyulladás visszatér.
Egy parodontális műtéti kezelés során helyi érzéstelenítés alatt 3-4 fog körül óvatosan leválasztjuk az ínyt a fogakról, hogy hozzá tudjunk férni a fogat körülvevő csonthoz. Speciális eszközökkel eltávolítjuk a korábbi gyulladás során keletkezett sarjszövetet, az esetlegesen fogakon maradt fogkövet, valamint amennyiben a csontpusztulás típusa engedi, regeneratív anyag segítségével visszaépítjük az elpusztult szöveteket. A műtét végeztével varratokkal rögzítjük az ínyt. A varratokat 10-14 nap elteltével távolítjuk el.
A parodontális műtéteknek 3-6 hónap a gyógyulási idejük, vagyis ennyi idő alatt szűnnek meg teljes mértékben a tasakok. Ebben a periódusban néhány alkalommal kontrollvizsgálatra hívjuk be a pácienst.
III. Helyreállító fázis
Ebben a szakaszban már nincsenek a fogak körül tasakok, a fogak stabilak, és nem kell attól tartani, hogy erő hatására (vagyis harapáskor, rágáskor) kiesnének. Ekkor lehet lecserélni az ideiglenes pótlásokat végleges pótlásokra, mert csak azon fogakra kerülhet pótlás, melyek teljesen gyulladásmentes és tasaktalan állapotban vannak.
IV. Fenntartó fázis
Ha egyszer valakinél kialakult fogágybetegség a fogai körül, a betegségre való hajlam egy életen keresztül megmarad. Ezért nagyon fontos, hogy a hosszadalmas kezeléssorozattal elért eredményt fenntartsuk. A tökéletes otthoni fogápolás ennek elengedhetetlen része, valamint az időszakos kontrollvizsgálatok, melynek során fogkő-eltávolítást és polírozást végzünk.
Az első időszakban 3 havonta rendeljük vissza a pácienseket kontrollra, majd tökéletes szájhigiéné esetén a kontrollvizsgálatok kitolódnak 6-12 hónapra.
A páciensnek tudnia kell, hogy milyen az, amikor a fogai körül található íny egészséges, és milyen az, amikor enyhe, kezdeti gyulladás alakul ki. Nagyon fontos tudatosítani, hogy a kezdeti ínygyulladást egy gyors és egyszerű fogkő-eltávolítással meg lehet szüntetni, és így nem alakulnak ki ismét tasakok.
Ellenben ha a páciens elhanyagolja a fogait, és megvárja, hogy a gyulladás elérje a kikezelt fogágyat, és ismét létrejönnek mély tasakok, akkor a kezeléssorozatot gyakorlatilag elölről lehet kezdeni. A kontrollidőpontok nem azt jelentik, hogy – példának okáért – csak 6 hónap múlva lehet visszajönni. Ha a páciens érzi, hogy valami nincs rendben az ínyével, vagy látja, hogy a fogain megjelenik a fogkő, akkor hamarabb vissza kell jönni a rendelőbe, hogy kezelhessük a kialakult problémát.
Tudta, hogy az ínygyulladás a világ 6. leggyakoribb betegsége?
A megduzzadt, érzékeny, fogmosáskor-harapáskor gyakran vérző íny nem tűnik olyan rémisztőnek, hogy azonnal tárcsázzuk a fogorvosunk számát. Pedig a viszonylag enyhe tünetek később akár a fogak elvesztéséhez is vezethetnek, és számos kutatás szerint az íny gyulladása növelheti a szívbetegség és koraszülés kialakulásának kockázatát.
A Nemzetközi és Amerikai Fogászati Kutatási Társaságok közzétették tanulmányukat, amelyben 20 év nemzetközi adatait elemezték különböző korcsoportokra és nemekre lebontva.
37 ország 291 ezer lakosának adatai azt mutatták, hogy az ínygyulladás a világ 6. leggyakoribb betegsége. Ezenkívül kimutatták, hogy a kor előrehaladtával egyre gyakoribb, bár azon talán Ön is meglepődik, hogy leggyakrabban nem a 70, hanem a 38 éveseknél alakul ki!
(Forrás: itt)
3 nem feltétlenül ismert tény az ínygyulladásról
1, Nem fertőző
A nem fertőző betegségek között azonban az egyik leggyakoribb, ha nem a leggyakoribb betegség nemcsak Magyarországon, hanem világviszonylatban is. Bár az ínygyulladás nem fertőző, ez nem jelenti azt, hogy bátran kölcsönadhatja fogkeféjét másnak – a szájüregben található baktériumokat ugyanis a fogkefével egyik ember könnyedén átadhatja a másiknak. Ezek a kórokozók pedig, mint arra már rámutattunk, számos fogászati problémát okozhatnak.
2, Nem fájdalmas
Az egészen súlyos stádiumtól eltekintve az ínygyulladás nem jár fájdalommal. Sajnos ez az egyik oka annak, hogy olyannyira elterjedt: az emberi természet már csak olyan, hogy ha nem fáj valami, nem rohanunk vele szakemberhez. Ön ne essen ebbe a hibába! Ha ínye pirosabb, duzzadtabb, érzékenyebb a szokásosnál, esetleg időnként vérzik is, keresse fel a fogászatot!
3, Magától nem múlik el
Ez volt a rossz hír. A jó hír az, hogy ha időben felkeresi fogorvosát, az ínygyulladás jó eséllyel meggyógyítható, sőt, a károsodás mértéke visszafordítható. Ehhez legtöbbször elég egy dentálhigiéniai kezelés. Van azonban még egy rossz hírünk: ha a gyulladás továbbterjed a fogágy egyéb szöveteire, például a csontszövetre, a gyógyítás már nem tud ilyen jó eredményt produkálni. Ne várja meg, míg az ínygyulladásból fogágybetegség lesz!
Honnan tudhatja, hogy Önnek ínygyulladása vagy éppen fogágybetegsége van?
Ha ínye pirosabb, duzzadtabb, érzékenyebb a szokásosnál, esetleg hajlamos vérezni is, akkor Önnek ínygyulladása van. Ha egy vagy több foga látszólag ok nélkül kilazult, mozog, akkor nagyon valószínű, hogy Ön fogágybetegségben szenved.
Mi a teendő, ha az ínygyulladás vagy fogágybetegség tüneteit észleli magán?
Sajnos sem az ínygyulladás, sem a fogágybetegség sem múlik el magától, így csak az tanácsolható, hogy keresse fel kezelőorvosát, ideális esetben egy parodontológust.
Az ínygyulladást legtöbbször a fogkő eltávolításával meg lehet gyógyítani, és a folyamatot vissza lehet fordítani.
A fogágybetegség (fogágygyulladás) keményebb dió. Előfordulhat, hogy a fogágy szöveteinek károsodását már nem lehet visszafordítani, de szerencsére az ellenkezőjére is akad példa. Mindenesetre minél hamarabb látja parodontológus szakember, annál nagyobb az esélye a gyógyulásnak!
Mik azok a tasakok, és miért foglalkozik velük a parodontológia?
Az íny melletti tasakok az íny és a fogak között alakulnak ki, többnyire ételmaradékok, lepedék, szuvasodás vagy egyéb okokból felszaporodott baktériumok és gyulladásos szövetszaporulat töltik ki.
Ebből a leírásból már sejthető, hogy nem igazán egészséges képződményről van szó. Ez igen enyhe kifejezés, ugyanis a tasakok komoly fertőzések forrásai lehetnek. Nemcsak az íny jöhet gyulladásba, de a fogak alatti-körülötti csontszövet is, ebben az esetben már fogágybetegségről beszélhetünk. A gyulladásba jött csontszövet elkezd pusztulni, és egyre kevésbé lesz képes megtartani a fogakat.
Mivel a parodontológus foglalkozik a fogágy megbetegedéseivel, a fenti kérdésünkre már meg is kaptuk a választ!
Honnan tudhatja, hogy Önnek van-e íny melletti tasakja?
Vizsgálja meg az ínyét! Ha egy vagy több foga körül duzzadtabb, pirosabb az íny a megszokottnál, és oldalirányban kidudorodik egy vagy több helyen, akkor nagy valószínűséggel ínygyulladás miatt kialakult tasak(ok)ról van szó. Ha felmerül Önben ez a gyanú, ne piszkálja, nyomogassa az ínyét, hanem keresse fel fogorvosát, ideális esetben egy parodontológust!
A tasakok megszüntetésére különböző kezelések vannak (zárt kürett, nyitott kürett stb. – ezekről fentebb már történt említés). A beavatkozások szükségességéről és a kezelések menetéről a fogorvosa részletesen tájékoztatni fogja. A cél mindig az, hogy csak 3 mm-esnél nem mélyebb tasakok maradjanak.
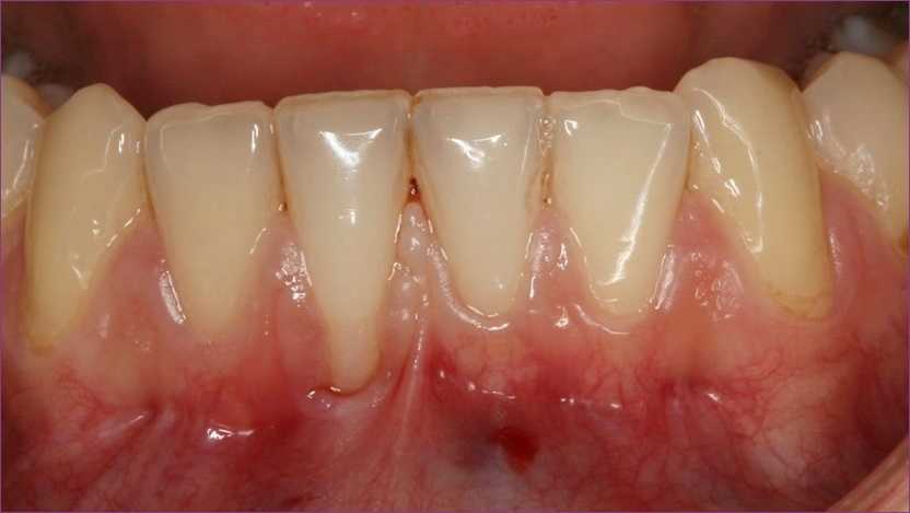
Az ínyrecesszió, vagyis az íny visszahúzódása
Hogyan alakul ki az ínyrecesszió?
Az ínyvisszahúzódás (ínyrecesszió) két okból jöhet létre.
Az első lehetséges ok a nem megfelelő szájhigiéné miatt kialakuló ínygyulladás és az idővel kialakuló fogágybetegség. Ebben az esetben a fogakat körülvevő rögzítőrendszer elpusztul, vagyis a csont felszívódik, és az íny visszahúzódik. Ilyenkor a fogak között elhelyezkedő ínypapillák is eltűnnek, rések alakulnak ki a fogak között. Sajnos jelenleg még nincsen arra lehetőség, hogy a gyulladás miatt elpusztult csontot és ínyt visszaépítsük a fogakra.
Az ínyrecesszió kialakulásának másik oka a mechanikai trauma, vagyis leggyakrabban a túl kemény sörtéjű fogkefével való fogmosás. Ha valakinek az ínye vékony szerkezetű, és emellett kevés csont fedi a fog gyökerének külső felszínét, már egy közepes erősségű sörtékkel rendelkező fogkefével is károsítani lehet az ínyt, amely elkezd visszahúzódni. Ezekben az esetekben a kiváltó ok megszüntetésével, vagyis puha sörtéjű fogkefére való átállással megállhat a folyamat. A szabaddá vált fognyak hidegre-melegre érzékeny lehet. Az íny magától nem tud visszanőni a fognyakra, ezért ezekben az esetekben javasoljuk a pácienseknek az ínyrecesszió sebészi helyreállítását.
Kiknél valószínűbb az íny visszahúzódása?
Legtöbbször korábban fogszabályzó kezelésen átesett pácienseknél fordul elő, akik a készülék miatt nehezebben tudták tisztítani a fogaikat, vagy épp ellenkezőleg, túl erősen mosták azokat.
Nőknél gyakrabban fordul elő, mint a férfiaknál. Valószínűleg azért, mert a hölgyek általában több ideig és erősebben mossák a fogukat. A sors fintora, hogy a tökéletes szájhigiénével rendelkező pácienseknél gyakrabban alakul ki ínyrecesszió.
Mi az ínyrecesszió veszélye?
A legtöbb páciens attól fél, hogy az ínyrecesszióval érintett fogak ki fognak esni. Ettől legtöbbször nem kell tartani, hiszen a fogakat nem az íny, hanem a körülvevő csont tartja a helyén, és ezeknél a fogaknál általában mind a szájüreg felőli oldalon, mind a fogak egymás felé néző felszínein teljesen ép a csont.
Vannak az ínyrecessziónak bizonyos előrehaladott formái, amikor az íny visszahúzódása eléri az úgynevezett mozgó ínyt. Hasonló a helyzet, amikor az ínyvisszahúzódás kialakulásában szerepet játszik az ajakfék, amely állandóan húzza az ínyszélt. Ilyenkor a folyamat sajnos nem tud megállni egy puha sörtéjű fogkefére való átállást követően. Hosszú távon a fog veszélyben van, így mindenképpen a műtéti megoldás az, amellyel orvosolni lehet a problémát.
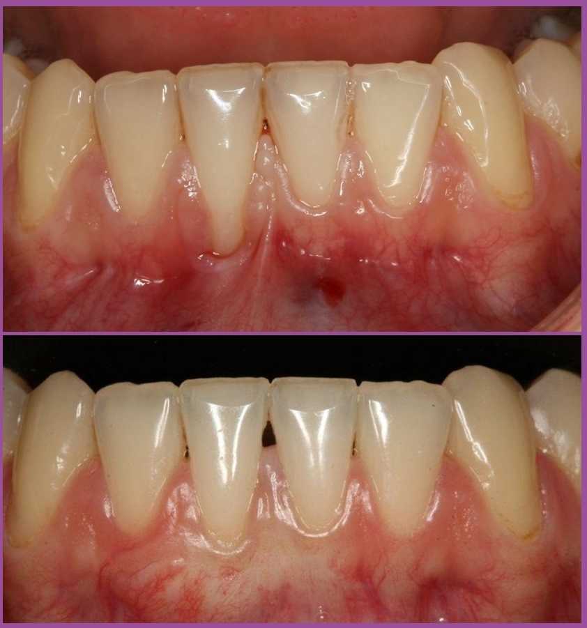
Egy lehetséges megoldás: a kötőszövet-átültetés
Amikor kialakul az ínyrecesszió, szükségessé válhat egy kötőszövet-átültetéssel járó műtét.
Csak tökéletes szájhigiénével és gyulladásmentes ínnyel rendelkező pácienseknél van lehetőség ínyrecessziót fedni. Ez logikus is: a gyulladásban levő íny esetén az átültetett kötőszövetet megfertőzik az eredeti gyulladást okozó baktériumok, és a műtét sikertelen lesz. A kötőszövet-átültetéssel járó műtétet megelőzi egy szájvizsgálat és konzultáció, valamint nem megfelelő szájhigiéné esetén egy előkészítő fázis, amely fogkő-eltávolításból és szájhigiénés tanácsadásból áll.
Maga a műtéti beavatkozás helyi érzéstelenítésben történik, és általában 1-2 órát vesz igénybe, attól függően, hogy hány fognyakat szeretnénk ínnyel fedni. A műtét után a páciens egy erre a célra kialakított, kényelmes szobában pihenheti ki a műtét fáradalmait. Természetesen kísérője is vele tarthat!
A műtét után az első két hétben 2-3 naponta kell kontrollra jönni. A második hét végén lehet eltávolítani a varratokat. A teljes gyógyulási idő 6 hónap, ennyi idő kell ahhoz, hogy az átültetett íny teljesen „megérjen”, vagyis színében és textúrájában a környező ínyszövettel megegyezzen.
Miért van szükség kötőszövetre az ínyrecesszió gyógyításához?
Ahhoz, hogy a sebészi úton helyreállított íny hosszú távon stabil legyen, vagyis ne alakuljon ki újra ínyrecesszió, az eltűnt ínyszövetet pótolni kell. Vagyis nem elégséges, hogy a fog körüli ínyt „feljebb varrjuk”, mindenképpen szükséges valamilyen ínypótló anyagot használni.
Ínyrecessziónál szükségesség vált kötőszövet-átültetésnél honnan veszik a kötőszövetet?
A legjobban bevált megoldás a saját kötőszövet átültetése, amelyet vagy a korábban eltávolított bölcsességfog területéről, vagy a szájpadlásról lehet nyerni. Abban az esetben, ha a kötőszövet a bölcsességfog területéről származik, a donorterület műtét utáni fájdalma elhanyagolható, a szájpadlás esetén viszont sokszor napokig tartó fájdalom fordulhat elő.
Amennyiben a páciens semmiképpen sem szeretné, hogy saját kötőszövetet ültessünk át, lehetőség van bioanyag használatára. Ezek állati eredetű kollagénszivacsok (általában sertésirha), amelyekből eltávolítják az összes sejtes elemet, és csak a kötőszövet fehérjevázát hagyják meg.
Hasonlóan jó eredményeket lehet elérni ezekkel az anyagokkal, azonban borsos áruknak köszönhetően a műtét árát jelentősen megemelik. Hátrányuk továbbá, hogy nem állnak még rendelkezésre olyan hosszú távú műtéti eredmények, mint amikor saját kötőszövet átültetésével történik a beavatkozás.
Más módon lehet eredményesen orvosolni az ínyrecessziót?
Csak műtéti úton lehet pótolni a visszahúzódott fogínyt. A sikeresség legtöbbször a páciensen múlik. Ha tökéletes szájhigiénével rendelkezik, nem dohányzik, valamint betartja a műtét utáni teendőket, akkor a legtöbb esetben optimális eredményt lehet elérni.
Ha a visszapótolt fogínyt később nem éri trauma, vagyis nem áll vissza a páciens kemény sörtéjű fogkefére, és megfelelő technikával tisztítja a fogát, akkor akár élete végéig megmaradhat az elért eredmény. Ellenkező esetben ismét kialakulhat recesszió.
Mit lehet kezdeni a pótlások körül kialakult ínyrecesszióval?
Ínyrecesszió kialakulhat pótlások (hidak, koronák) vagy implantátumok körül is. Ezekben az esetekben sokkal kisebb a sikeresség aránya, hiszen míg a fognyakra az íny vissza tud tapadni, addig egy korona porcelánfelszínére nem.
Előfordult már, hogy egy páciens azt kérte, a 10 éve készült, alászuvasodott korona köré építsük vissza az ínyt. Ez sajnos nem lehetséges. Ilyen esetekben a korona cseréje az, ami tartós megoldást jelenthet.
Megelőzés
A fogágy megbetegedései jórészt megelőzhetők lennének. Rendszeres és helyes fogápolással, a fogak és az íny állapotára ártalmas tevékenységek (például a dohányzás) mellőzésével és a fogászati ellenőrzéseken való rendszeres megjelenéssel a problémák túlnyomó többségét elkerülheti, vagy megjelenésüket jelentősen késleltetheti.
Íme, néhány jó tanács a parodontológiai problémák megelőzésére.
Ne feledkezzen meg a fogközök megtisztításáról!
Sokan csak kiegészítő műveletként gondolnak a fogköztisztításra, amelyet elég hetente egyszer-kétszer vagy még ritkábban végezni.
Ám ennél jóval gyakrabban kell a fogselyemhez vagy fogköztisztító keféhez nyúlni!
Gyakorlatilag minden fogmosásnál ajánlott, de az esti fogápolás során mindenképpen. A fogközök a fogak felületének körülbelül 35%-át teszik ki – vagyis a fogfelszínek egyharmadát tisztítatlanul hagyja, ha nem végez fogköztisztítást!
A lepedék, ételmaradék a fogak között ugyanolyan károkat okoz, mint a fogkefével könnyen elérhető felületeken. Ha nem fordít ugyanolyan figyelmet erre a „dimenzióra” is, könnyen azon veheti észre magát, hogy fogai az egymással érintkező oldaluknál szuvasodásnak indulnak vagy fogkövesek lesznek. A fogkő pedig, nem győzzük hangsúlyozni, az ínygyulladás fő okozója.
A fogak közötti részt leggyakrabban fogselyemmel vagy fogköztisztító kefével tisztítjuk. Ha nem biztos abban, hogyan kell használni ezeket az eszközöket, érdemes felkeresnie egy dentálhigiénikust egy személyre szabott konzultáció, instruálás/motiválás erejéig.
Fogmosáskor használja a módosított Bass-technikát
Mivel a fogágygyulladás kiindulási pontja a fognyak és az íny találkozása, olyan fogmosási technikát ajánlunk Önnek, amely a leghatékonyabban tisztítja ezt a részt.
A lényeg, hogy a fogkefe sörtéi nem merőlegesek a fogakra, hanem ferdén érik a fog felületét. Nézzen meg egy szemléltető videót, így sokkal könnyebb lesz elképzelnie, mit takar ez a technika!
Ínygyulladás vagy fogágybetegség után cserélje le fogkeféjét
Mint már többször is hangsúlyoztuk, a gyulladásos folyamatokat baktériumok okozzák. Ha ínygyulladáson vagy fogágybetegségen esett át, akkor érdemes lecserélnie a fogkeféjét, amelynek sörtéin az eltelt idő során felszaporodtak a betegséget okozó baktériumok, és újra visszafertőzhetik az ínyt. (Csak zárójelben jegyezzük meg, hogy ugyanez érvényes a felső légúti megbetegedések esetén is!)
Gyakori tévhitek
A vérző ínyre a reklámokban látott speciális fogkrémek jelentik a megoldást
Az egészséges íny nem hajlamos a vérzésre. Természetesen ha erős mechanikai hatás éri, például a fogpiszkálóval beleszúr az ínyébe, vagy egy éles csontdarabra harap rá, akkor pár csepp vér teljesen normális jelenségnek mondható. Ide sorolhatjuk azt is, amikor a fogselymet vagy fogköztisztító kefét túl erősen rántja az ínyéhez. Kímélje ínyét: dolgozzon lassú, gyengéd mozdulatokkal, amikor a fogközeit tisztítja!
Ám ha ínye gyulladásban van, nem kell ahhoz erős mechanikai inger sem, hogy vérezni kezdjen. Ha minden óvatossága ellenére rendszeresen vérzik az ínye, miközben fogselymet vagy fogköztisztító kefét használ, illetve valamibe beleharap, ráadásul pirosabb, duzzadtabb vagy érzékenyebb is a szokásosnál, akkor Önnek ínygyulladása van. Ezen a fogkrémek nem segítenek, ám kétségkívül hatékony tüneti kezelést nyújtanak.
Az ínygyulladást, mint azt említettük, bizonyos baktériumok okozzák, amelyek a lepedékben, illetve a lepedékből kialakult fogkőben találhatók. A lepedéket fogkrémes fogmosással el lehet távolítani, ám a fogkövet csak a fogászati rendelőben tudják eltüntetni a fogakról. Erre egy fogkrém sem képes!
A kilazult, mozgó fog oka csak fogágybetegség lehet
Bár a laza, mozgó fog vagy fogak hátterében az esetek zömében valóban fogágybetegség áll, előfordulhatnak más okok is. Például amikor a kuszán álló fogsorban egy fogra túl nagy terhelés hárul. Ilyenkor a túlterhelés a csontszövetet ért károsodásban is megnyilvánulhat. A végleges megoldást a fog tehermentesítése jelenti, ami fogszabályozással megoldható. Így vagy úgy, ha egy vagy több foga lazán mozog, mindenképpen forduljon szakemberhez.
A mikróban pár perc alatt elpusztulnak a fogkefén található kórokozók
A legtöbb ínybetegség a helytelen fogápolási szokások következménye. Ezért kulcsfontosságú a helyes fogmosás. Azt is hangsúlyozni szoktuk, hogy a fogkefe sörtéi tele vannak kórokozókkal, amelyek között megtalálhatók az ínygyulladást okozó baktériumok is.
Ezért kell a fogkefénket 2-3 havonta újra cserélni. Néhányan úgy gondolják, a fogkefe élettartama meghosszabbítható egy kis házi sterilizálással, ami alatt a mikrózást értik.
Ám ez nagyon káros szokás! A kórokozók nem pusztulnak el egy kis mikrózástól, ám a fogkefe műanyagból, szilikonból, nylonból készült részei tönkremehetnek.
A kis sörtékben okozott kár miatt a fogmosás sokkal kevésbé lesz hatékony (ha egyáltalán), így a mikrózást érdemes teljesen elfelejteni. Ehelyett egy erre a célra szolgáló sterilizátort javaslunk használni – de legegyszerűbb negyedévente új fogkefét elővenni.
A szájvizes öblögetés felér egy fogmosással
Ez a tévhit makacsul tartja magát, pedig nem igaz!
Sokan összetévesztik a frissesség érzését az igazi tisztasággal. A szájvizek nagyon kellemes, üde leheletet adnak, és az antibakteriális fajták elpusztítják a szájban található kórokozók nagy részét – sajnos a hasznos baktériumokat is.
Ám akármilyen hevesen öblöget is a szájvízzel, a lepedék egy részét a víz nem viszi le, nem beszélve a fogak közé beragadt ételmaradékokról. A fogkefe fizikai erőkifejtését és a fogköztisztító eszközök hatékonyságát a szájvíz nem tudja pótolni! Az igazi tisztaságot csak a hagyományos eszközökkel tudja elérni.
Itt jegyezzük meg, hogy a fogmosás semmi mással nem helyettesíthető: sem egy finom alma, sem a rágógumi stb. nem alkalmas arra, hogy a fogak minden elérhető felületéről eltüntesse a lepedéket. Ezek szintén igen elterjedt vélekedések. Egyfajta átmeneti megoldásként jól jöhetnek, ha nem tudja előkapni a fogkefét-fogselymet egy munkahelyi ebéd után, ám reggel és este alkalmazza a hagyományos fogápolást.
Ha nem fáj a fogunk, akkor annak semmi baja
Nagyon veszélyes így gondolkodni, nemcsak a fogakról, hanem más szerveinkről is. Az íny esetében a gyulladásos folyamatok eleinte egyáltalán nem járnak fájdalommal. Sőt, a többi tünet is igen enyhe, szinte észrevehetetlen lehet: az íny kipirosodása, duzzadása, érzékenysége. Ezért fontos, hogy évente egyszer, sőt, ideális esetben kétszer akkor is keresse fel fogorvosát, ha nincs semmilyen panasza.
„Én rossz fogakat örököltem, ezért akárhogy igyekszem, úgyis romlani fognak”
Rossz fogakat nem lehet örökölni. Bizonyos anatómiai sajátosságokat azonban igen (ilyen például a fogaink alakja), vagy a nyál összetételét befolyásoló tényezőket. Ám a szájüreg betegségeit igen csekély kivételtől eltekintve a fogakon és ínyünkön megtelepedő kórokozók okozzák.
Persze nem véletlen, hogy sok gyereknek ugyanolyan fogászati panasza van, mint szüleiknek. Ám ez vagy az örökölt anatómiai hasonlóságokra vezethető vissza (kis állkapocs-nagy fogak, amelynek eredménye egy összetorlódott és nehezen tisztán tartható fogsor), vagy a hasonlóan helytelen vagy elégtelen fogápolási szokásokra.
Végeredményben ez jó hír: a szülők fogászati állapotától függetlenül mindenkinek lehetnek szép és egészséges fogai – ha helyesen ápolja őket.
Fogászatunkon minden együtt van a parodontológiai betegségek sikeres kezeléséhez
Parodontológus szakemberünk, Dr. Orbán Kristóf magasan képzett, tapasztalt specialista, akihez bizalommal fordulhat problémájával.
Fogászatunk felszereltsége, high-tech műtőnk és nyugat-európai színvonalú eszközparkunk biztosítja pácienseink kiváló ellátását.
Szakembergárdánk lefedi a fogászat minden szakterületét. Ez azért megnyugtató, mert a parodontológiai kezelésekhez dentálhigiénikus, szájsebész, protetikai vagy fogszabályozó fogszakorvos segítsége is szükséges lehet. Nálunk mindez egy helyen zajlik, pácienseinknek nem kell külön helyszíneket felkeresniük.
Ha szeretne egy időpontot kérni ínygyulladása vagy fogágybetegsége kezelése, itt megteheti.










