A páciensek számára a fogpótlásokkal kapcsolatban természetesen az a legfontosabb, hogy tökéletesen illeszkedjenek, és ne okozzanak semmilyen problémát rágás vagy beszéd közben. A funkcionalitáson túl azonban a fogpótlás esztétikai kérdés is, különösen a látható fogak területén. Az egyes fogak megjelenése és összképük ugyanis meghatározza az egyik legfontosabb kommunikációs eszközünket, méghozzá a mosolyunkat. Mit értünk esztétikai fogpótlás alatt, mi a feladatuk ezeknek a fogműveknek, és mi mindenben segít az esztétikai fogászat?
Mit értünk esztétikai fogpótlás alatt?
Az esztétikai fogpótlás a fogászat azon területe, amely a fogak és az íny megjelenésének javítására koncentrál. Célja a fogak funkcionális helyreállítása mellett az esztétikus megjelenés biztosítása.
Az esztétikus fogpótlás különféle technikákat és anyagokat használ, hogy a lehető legtermészetesebb hatást érje el.
- Koronák és hidak, amelyek helyreállítják a sérült vagy hiányzó fogakat. A modern anyagok, mint például a cirkónium-dioxid, lehetővé teszik, hogy a fogkorona és a fogászati híd szinte megkülönböztethetetlen legyen a természetes fogaktól.
- Direkt héjak, amelyeknél a tömőanyag több rétegben kerül fel a fogakra, így takarva el a kisebb foghibákat, elszíneződéseket.
- Esztétikus fogtömések (kompozit tömések), amelyek helyettesítik a régi amalgám töméseket, és természetesebb megjelenést biztosítanak.
- A fogászati implantátumok tartós megoldást nyújtanak a hiányzó fogak pótlására. Az implantátumok titán műgyökerek, amelyeket az állcsontba helyezünk, majd ezekre kerülnek rá a koronák vagy a hidak.
- Inlay és onlay fogbetétek, amelyeket kiterjedt foganyagveszteség helyreállítására használunk.
Miben segítenek az esztétikus fogpótlások és az esztétikai fogászat?
Az esztétikai fogpótlások, illetve az esztétikai fogászat javítja a fogak megjelenését, funkcióját és a páciens önbizalmát.
- Az esztétikai fogpótlások egyik fő célja a fogak megjelenésének javítása. Ezek a beavatkozások segíthetnek a fogak színének, alakjának és méretének korrigálásában, így a mosoly vonzóbb lesz.
- A szép mosoly nagyban hozzájárulhat az önbizalomhoz és a társas kapcsolatok javításához, hiszen lehetővé teszi, hogy a páciensek magabiztosan beszéljenek és nevessenek anélkül, hogy szégyellnék a fogaikat.
- A hiányzó vagy sérült fogak pótlása nemcsak esztétikai, hanem funkcionális előnyökkel is jár. Az ilyen beavatkozások helyreállítják a rágóképességet, ami elengedhetetlen az egészséges emésztéshez és az általános egészséghez.
- A fogpótlások tartós anyagokból készülnek, amelyek hosszú távon is ellenállnak a kopásnak és elszíneződésnek.
- A sérült fogak helyreállítása, illetve a hiányzó fogak pótlása segít megőrizni a szájüregi egészséget. A megfelelően elhelyezett fogpótlások megakadályozzák a szomszédos fogak elmozdulását és a harapási problémákat.
- Az esztétikai fogászatban modern anyagokat és technikákat használnak, így az eredmény megkülönböztethetetlen lesz a természetes fogaktól.
A cirkon és az eMax fémmentes fogpótlás Budapest szívében
A cirkon és eMax koronák magas minőségükkel és kitűnő esztétikai tulajdonságaikkal járulnak hozzá az Ön megújult, ragyogó mosolyához. Mivel ezek a fogpótlások fémmentesek, nem allergizálnak, és tökéletesen biokompatibilisek. A cirkónium-oxid alapú koronák és inlay-ek kimagasló minőséget képviselnek. Tartósak, stabilak, nem vezetik a hőt, ahogy az a régebbi pótlások, és nem okoznak szürkés elszíneződést sem az íny mentén.
Az eMax lítium-diszilikát a legerősebb szájban alkalmazott színhiteles, stabil kerámia, amelyet napjainkban teszteltek. Mivel a készítése során nagy nyomáson préselik össze a kerámiát, mechanikailag rendkívül ellenállóvá válik, és szinte vetekszik a titánnal.
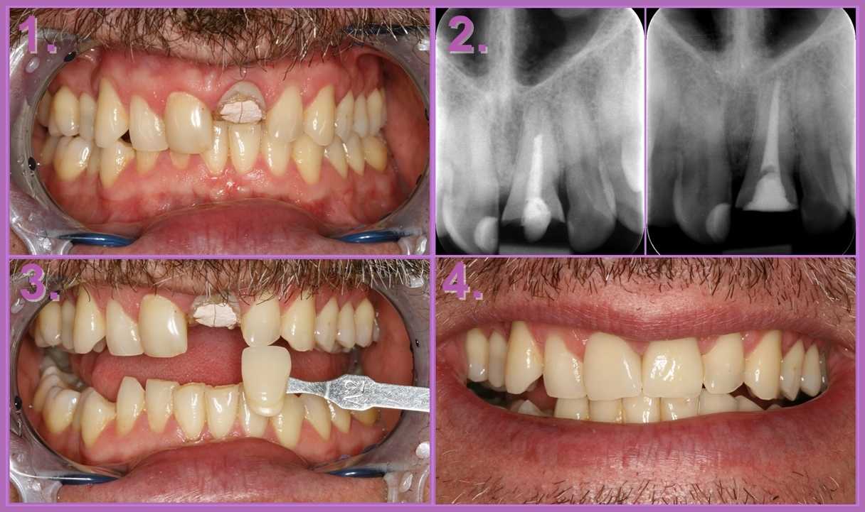
A következő esettanulmányból kiderül, milyen kiváló megoldást jelenthet egy eMax korona.
Esztétikai fogpótlást szeretne?
Keressen bennünket telefonon, vagy kérjen konzultációt bejelentkezési űrlapunkon, hogy a lehető legjobb és legprofibb kezelést nyújthassuk Önnek. Rendelőnkben az esztétikai fogászat keretében a mosolytervezéstől kezdve a fogkő-eltávolításig a legmodernebb kezelésekkel, többek között mikroszkópos gyökérkezeléssel, altatásos fogászattal, illetve esztétikai fogszabályozással várjuk pácienseinket.
Fogászatunk saját röntgen- és CT-laborral rendelkezik, így az egyszerű kisfelvételtől a panorámaröntgenen át a 3 dimenziós CT-ig minden szükséges felvételt elkészítünk a precíz diagnózishoz. Fogászati árainkról ide kattintva tájékozódhat.

